概述
史密斯骨折(Smith, fracture) 又稱:屈曲型橈骨遠端骨折。 其好發年齡較Colles骨折年輕,多見於男性。 1847年Smith R.W.詳細描述了橈骨遠端骨折,其遠折端向掌側移位合併下尺橈關節脫位的病例,此後即稱此類骨折為Smith骨折。因其畸形與Colles骨折相反,亦稱為反克雷骨折。這是一種少見的創傷,占各種骨折的0.11%。
創傷機制
多為跌倒,腕關節掌屈,手背著地,腕關節急驟掌屈的傳導應力所造成;也可見於交通事故,如騎摩托時腕在掌屈位的突然撞車。
創傷病理
骨折局部形成血腫,骨折線可處於關節外亦可波及關節面。關節外骨折,折塊較大,向掌側移位並向背側成角,背側骨膜連續性中斷,掌側骨質可以有粉碎而骨膜連續性常保持。關節內骨折折塊較小,呈三角形,連同腕骨向掌側及近側移位。移位明顯的骨折,常合併三角纖維軟骨盤、下尺橈關節的損傷,或有時出現尺骨莖突骨折。
臨床表現
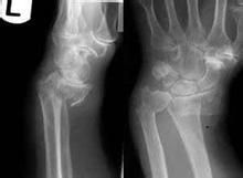
傷後腕部疼痛並迅速腫脹,出現與Colles骨折相反的畸形。腕關節主被動活動均因疼痛而受限,該部位有明顯壓痛及異常活動,尺橈骨莖突關係異常。 腕關節正側位X片光可以明確顯現骨折特點,可藉以診斷和分型。
治療
內固定

