概念解釋
Filtek™Z350XT通用型納米樹脂是由二氧化鋯/二氧化矽填料及樹脂基質組成的前後牙通用型樹脂。
不同樹脂所呈現出的美觀效果不同,主要是因為樹脂裡面的填料不一樣。對於樹脂來講,主要成分是“無機填料+有機基質”。其中無機填料主要起到樹脂的美觀、強度等特性。而填料顆粒的大小和形態對樹脂的修復效果有很大的影響。市場上常見的樹脂如果按照填料的顆粒分類大體有三種:微填料、混合填料和納米填料,其中納米填料的顆粒更加細膩和緻密,因此術後修復效果最好。到現在為止,3M的納米樹脂可以做到所有的顆粒都是納米顆粒並保持球形。
表現
下面配圖中的電鏡片顯示不同填料的樹脂,最左側為納米樹脂的電鏡片:
不同樹脂臨床表現
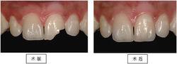
臨床上,不同樹脂在充填修復之後會有很大的差異,如下圖:
不同樹脂在充填修復之後的對比因新一代納米樹脂Filtek™ Z350XT具有牙本質色、牙體色、牙釉質色和透明色,在臨床充填修復過程中能更加逼真的恢復天然牙般的自然美學效果:
術前後對比
