百科名片
義大利美塑修復病例美塑樹脂
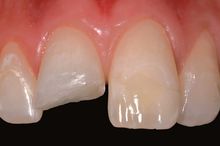
(HRi)是義大利生產的一種光固化、射線阻射性複合樹脂,用於前牙和後牙區域的直接和間接美學修復。HRi是第一種也是僅有的一種擁有與天然牙釉質相同折射率的口腔美學修復材料。
適應症
美塑樹脂(HRi)適應症範圍廣泛,主要由以下幾大方面:
一.牙形態方面:1、牙齒體積過大或過小 2、牙間隙過大 3、扭轉牙及牙列不齊等 4、虎牙齙牙等牙列異常排列
二.牙顏色方面:1、四環素牙 2、牙釉質發育不全 3、氟斑牙 4、黃牙 5、其它牙顏色不佳
三.牙體缺損:1、蛀牙 2、牙外傷導致折斷或缺損 3、瓜子牙 4、牙齒重度磨耗等問題
總之,牙體缺損及牙列不齊等問題,HRi幾乎均能製作。
特點
優點
A.微創。牙體缺損幾乎不用備牙便具有超強的粘接力。並且符合現代口腔醫學的微創理念。在做貼面及牙體缺損的過程中僅僅需要全瓷貼面備牙量的1/2即可。
B.逼真。HRi因其分層固化,所以擁有所有人類牙齒對於光線的反射及折射,做出來的修復真假難辨,肉眼幾乎無法察覺。適合前牙美學修復。
C.即刻。幾乎所有齲齒充填項目及小部分牙體缺損都可以隨治隨走。貼面及嵌體等口外製作也僅需要1--2天時間。
D.高強度。HRi的無機物填料比例達到80%,表面處理部分具有高折射率的納米氧化鋯(重量比12%),內含有高折射率的新型玻璃填料(重量比68%)。所以擁有超高強度。 HRi的維氏硬度是700MPa,鑄瓷全冠是240-550MPa。二氧化鋯全瓷冠強度是900-1100MPa。而高強度樹脂如3M納米樹脂z350XT,其強度為300MPa左右。E.適應範圍廣泛。HRi幾乎可以勝任所有的牙體缺損。因其價格昂貴,故常用於要求較高的前牙美學修復。
缺點
價格昂貴。HRi作為世界頂級口腔美學材料,因其材料成本為同等重量黃金價格的兩倍,非常昂貴,故只為全球高端美學口腔門診及人群服務。
延伸閱讀
瓦尼尼工作照提到義大利的美塑樹脂(HRi),就不能不說一位義大利大師級口腔美學大師Vanini。據說Vanini(瓦尼尼)把美塑樹脂用到了極致。據說他補牙的時候能夠利用光照過程中的樹脂材料收縮性能把牙齒的點隙窩溝淋漓盡致的表達出來,並且,仿真度做到了百分百,超過了我們大量使用的全瓷冠。並且,他能夠用樹脂做出超過全瓷貼面的微創美學效果。簡直是神奇!
在義大利的牙科界,有兩位奇人——一位是弗拉德尼,另一位就是瓦尼尼。當然,也據說這兩位牙科界的奇人老死不相往來。因為,一個是在瓷冠上做到了全世界的極致,我們只要看一看弗拉德尼的那本《口腔固定修復中的美學重建》就足以傾倒。另一個便是瓦尼尼,把樹脂修復做到了全世界的極致。義大利是盛產藝術家的搖籃,達文西、米開朗基羅的傳世之作是多么讓人神往,而Vanini絕對是牙醫界的藝術家。Vanini在義大利一個風景迷人的小鎮小鎮有一家門診,喜歡開著他那輛法拉利到處飆車,自己還組建了一支樂隊併到處表演,牙醫只是他生活的一部分,但卻享受其中。
