黃牙簡介
黃牙黃牙原因
食物日常生活飲食中,我們不可避免的食用有顏色的食物。除了豆腐,雞蛋等淺顏色的食物外,其他絕大多數的五顏六色、豐富多彩的美食,都是導致黃牙原因。牙齒表面存在多種細菌,它們在牙齒表面分泌許多黏性物質。菸草(吸菸或咀嚼菸草)、喝茶、飲咖啡、可樂、紅酒,及有顏色的食物等等的攝入,都會在我們的牙齒上留下色素。這些色素吸附在這些黏性物質上,逐步使牙齒表面變黃或變黑。日積月累,這些物質還會從牙齒表面逐漸深入牙齒內部,形成內部污漬,使牙齒內部也慢慢變色,這種牙齒被成為外源性染色牙齒。也就是說,生活中只要牙齒對顏色有“親密接觸”,都完全擁有了被染色變黃的可能!
藥物和水質
在牙齒髮育時,特別是8歲以下兒童,服用了四環素類藥物,容易引起牙齒變色為四環素牙。有些地區,特別是有些山區,由於水中含氟量高,過多地飲用氟會讓牙齒髮黃,而且不是1~2個牙齒,是滿口大黃牙,成為氟斑牙。這些染色牙齒被稱為內源性染色牙。這些“病態”牙齒,深色色素埋藏在牙齒的深層,是日常刷牙無法觸及的,只有通過特殊的美白方法才能令牙齒“脫胎換骨”。
衛生習慣
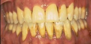
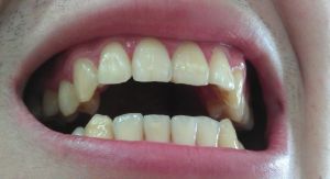
有些人不注意口腔衛生,沒有早晚正確刷牙的習慣,使牙齒表面堆積一層食物殘渣、軟垢、牙石、煙漬、茶漬等“劣跡”。這些黃牙並不是牙齒本身發黃,而是不注意口腔衛生造成的。
齡性黃牙
我們永遠無法抵抗的,就是自然的老化。隨年齡增長,我們的牙齒難抵滄桑,顏色逐漸黯淡發黃。歲月使皮膚留下皺紋,同樣也能讓牙齒不再亮白如初。
致黃食品
黃牙咖喱,咖喱的主要成分薑黃,超過了尼古丁,排行第一,對牙齒顏色影響最大。
朱古力。
碳酸飲料(帶氣的飲料,如可樂),可樂的成分是糖漿和二氧化碳氣,喝的過多,會使糖分沉著於牙表面。
服用減肥藥過量。
咖啡。
運動型飲料。
果酸飲料。
成長時期服用某種抗生。
濃茶(茶葉,茶飲料,紅茶等),茶葉中有大量多酚類氧化物,長期飲茶,會讓牙齒變黃。
食用過多食物色素。
治療方法
酸粘結法。這是變色牙的較好治療方法,先用50%磷酸塗擦黃牙表面,再用EB型複合樹脂將薄的、和牙色一樣的不透明的塑膠牙面,貼上在黃牙表面,這種方法操作簡單,一次即可完成。4.5%鹽酸脫色法。主要適用於斑釉牙。
雷射治療法。在黃牙的牙面貼上由30%過氧化氫浸潤的棉花紙,用一束圓形的紅色雷射照射在牙面上,約15~20分鐘就完成一次治療。患者毫無痛苦,一般10次為一個療程,少則1~2個療程,多則3~4個療程,牙齒就逐漸泛白,變成健康牙的色澤。
漂白法:用30%雙氧水對黃牙進行漂白,1周漂白2~3次,約3~5次可使牙齒恢復正常顏色或略白一些。此法成功率為96%。
光態固化紫外線燈照射法。用防齲塗料塗在斑釉牙面上,再用光態固化器紫外線燈照射1分鐘。
變白方法
方法一:藉助牙粉市面上有很多牙粉銷售,你可以試著買回家使用。在使用一個星期之後,會有明顯的效果。如果你本身牙的顏色就屬於偏黃的話,可能就要到各牙醫診所請求幫助。
方法二:藉助於牙結素
墨魚骨亮白牙結素,內含墨魚骨田七莖葉百草香炫白粒子(HCS)等成分,現在成為一種不傷害牙釉質,真正健康方便的牙齒美白方式。
牙齒美白新概念潔齒之靈墨魚骨,其內含潔淨成份,除污垢,深層滲透牙釉層,深度亮白牙齒,同時防止牙漬再生,令牙齒持久亮白
牙齒美白新體驗特別添加HCS亮白因子和晶炫摩擦粒子可以有效去除煙茶漬、黑黃漬,帶來更徹底的牙齒美白效果,讓牙齒綻放光感亮白。
方法二:用檸檬汁潔白牙齒
每晚在刷牙後,用紗布沾些檸檬汁,摩擦牙齒,牙齒就會變得潔白光亮。檸檬的洗淨力強,又有潔白作用,且含有維他命C,能強固齒根。
方法三:超音波洗牙
超音波洗牙主要是針對清除牙齒結石部分,牙結石容易造成牙菌斑的堆積,造成牙齦炎、牙周病。在治療的同時,齒頸部、鄰接面的結石去除掉了,牙齒也會有美白的表現。厚層的染色,借著超音波洗牙,也可以去除大部分。但是在牙齒有凹洞,有溝槽,或是鄰接面的地方,染色是不易清除的。
方法四:活性牙齒漂白
借著個人牙齒漂白牙托,放入10%的碳酸鹽過氧化氫,將它牢牢地套在牙齒上,隨著藥物作用時間的增長,牙齒的顏色會漸漸地變淡、變白。這種方法操作簡單,消費者可以自己在家做,可以自行決定要漂白牙齒的顆數、要漂白的次數和每次漂白的時間。但是,它的療程較長,約2周的時間,才能達到一般患者想要的美白效果。另外,藥物本身對牙齒,對軟組織多少都有傷害,最好還是在牙醫指導下做。
方法五:雷射牙齒美白
利用較高濃度的漂白劑(H2O2),並通過特殊物質強化過氧化氫的漂白作用,將齒內有機色素漂白至親水性無色素結構,達到安全美白的療效。一次療程3小時,可以在短時間內達到美白牙齒的效果。雖然使用過氧化氫藥物可美白牙齒,但多多少少對牙齒本身和牙齒周圍的軟組織有傷害。美白後牙齒和軟組織的不適大約過一周就可恢復正常。
日常養護
養成喝茶的好習慣
喝茶是我們中華民族的傳統,茶是一種非常健康和有品位的飲料,可以這么講。同時,對於牙齒的美白和口腔的清香都是非常有幫助的。首先,茶葉里含有豐富的人體需要的微量元素以及具有殺菌的作用,對於防止蛀牙等都非常有效。紅茶、綠茶都有各自的絕妙之處。
多喝水,飯後漱口
日常多喝水,另外,建議用餐後,利用水漱口來清理口腔牙齒里存留的食物殘渣,因為我們做到餐餐刷牙還是不太可能,也沒這個必要,通過漱口來清理食物殘渣,防止細菌滋生,潔白牙齒和身體健康是非常重要的。
多吃美白牙齒的食物
通過食物來美白,其實我們生活中很多食物都是非常好的,對於牙齒的美白。如芹菜,芹菜含有豐富的纖維,可以通過很好的咀嚼來分泌更多唾液,同時,纖維的
咀嚼更好的清理牙齒;其次,如含維生素C豐富的橙子、香蕉等,可以很好的補充牙齒需要的維生素,使得牙齒更加堅固。當然,還有很多的食物,自己憑藉自己的
喜歡去選擇和合理的食物調養。
影響表現
黃牙外源性色素牙因為一路齒就會暴露黃牙,會對一個人在外在形象造成不好的影響。至於連鎖反應,影響很多。
黃牙會影響心理健康
如果對牙齒不滿意,進而形成長久的內在的性格,孤僻,而且個別患者可能通過對社會消極反應,或通過損害自己的自尊心來安慰自己。
黃牙會影響口腔健康
黑牙會影響我們的口腔健康,而且長此以往還可能引發各類口腔疾病。
遺傳性黃牙
遺傳性黃牙應當及早診治遺傳性黃牙,以防對後代造成不利的影響。

