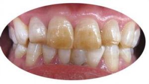
形成
色素牙是因飲食、煙茶咖啡等附著於牙齒表面,黃或黑色,有的也是由於小時候吃過多的四環素藥物之類造成四環素牙齒,牙齒呈灰、黃或棕色。還有一種是牙齒髮育鈣化期中飲用了氟含量過高的水所致。依受影響的程度不同,可呈白堊色,黃褐色或暗棕色。
原因
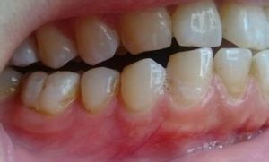
色素牙1、牙髓壞死引起的牙變色如牙齒受外傷引起牙髓出血、壞死、牙齒就會變為暗紅色、褐色或青灰色。
2、斑釉牙俗稱黃斑牙,在5歲以前飲每1升水中含氟量超過1/100萬以上的水,就會使牙釉質的結構發生鈣化不良及變色。輕的斑釉牙,牙釉質表面有白堊色或黃棕色斑
塊;嚴重的牙表面粗糙,凹凸不平呈黃褐色,甚至黑色,牙齒鬆脆易損,治療較複雜。輕的斑釉牙醫生用稀鹽酸塗擦黃斑區脫色,可使黃斑變淺,但塗藥時要注意保護牙齦,防止腐蝕灼傷。較重的斑釉牙可用“塑膠牙貼面”或“光固化複合樹脂”恢復牙的外形與美觀。
3、藥物引起牙齒變色,母親妊娠末期或5歲以內的小兒,服用較多的四環素、土黴素類抗生素與鈣結合形成黃色或灰白色的四環素、土毒素類抗生素與鈣結合形成黃色或灰白色的四環素鈣複合物,經過牙髓沉積在牙釉質和牙本質的結構中,使萌出後的牙變黃、暗灰或黑褐色。預防措施是儘量少服用四環素類藥物,目前小兒四環素藥物已列入淘汰藥。
危害
1、色素牙的危害之影響外在形象。外因性色素牙患者一笑就會露出一口外因性色素牙,這會對一個人在外在形象造成極大的影響。
2、色素牙的危害之影響心理健康。正如我們希望得到周圍的人喜歡、尊重和有修養一樣,注視一個人的身體外觀是人普遍的特性。如果對牙齒不滿意,個別患者可能通過對社會消極反應,或通過損害自己的自尊心來安慰自己。
治療方法
雷射美白
它主要是將漂白劑塗於色素牙表面後,再給以雷射照耀,從而漂白牙齒的一種方法。由於牙齒雷射美白技術推出的較短,只能觀測到短期效果較理想,而長期效果還需要檢驗。冷光美白
冷光牙齒美白技術是將波長介於480-520nanometer之間的高強度藍光,經由光纖傳導,通過兩片30多層鍍膜的特殊光學鏡片,再經過特殊光學處理,隔除一切有害的紫外線和紅外線,將過氧化氫和直徑為20納米的二氧化矽等為主體的美白劑,快速產生氧化還原作用。透過牙小管,去除牙齒表面及深層附著的色素,從而達到美白的效果。皓齒美白技術
皓齒美白通過氧化劑過氧化氫中的小分子,穿過牙釉質和牙本質滲透到牙齒的所有部分,在釉小柱間移動,分解清除牙變色的色素分子。以上治療方法主要是針對中輕度色素牙,對於重度色素牙可以通過美容冠修復來治療。烤瓷牙修復技術
烤瓷牙適用於個別牙不整齊,牙縫過寬、斷牙、缺牙、四環素牙、牙釉質發育不全、畸形牙等的修復美容。烤瓷牙美觀逼真、顏色可調製成真牙顏色一樣,永久不變色,全瓷牙顏色更理想,折光性都跟真牙一致。美容冠修復技術
美容冠技術是永久性牙齒美容修複方法。比烤瓷牙更加的牢固可靠,並且也能夠對牙齒起到美白的作用,是比較受歡迎的一項新技術。治療注意事項
1、矯治初期,應吃軟的食物,適應後再吃正常食物。
2、用美容冠矯治完色素牙後,美容冠受到超過它的承受範圍的壓力會繃瓷,所以不要咬太硬的食物,比如核桃一類的東西。
3、用美容冠修復外因性色素牙前期與原先牙齒相比,上下牙咬合關係可能會有變化,要緩慢進食,以免咬傷舌黏膜。
4、美容冠與原基牙的接合處容易聚積菌斑,形成牙石,應注意保持口腔清潔,養成餐後刷牙的習慣,牙縫間可以使用牙線清潔,可定期到醫院檢查、潔牙。
5、剛用美容冠矯治完外因性色素牙時應避免吃過熱或過冷的食物,以免引起疼痛,大約兩周以後可正常進食。
6、外因性色素牙剛被矯治,初戴美容冠時會有輕度不適感,求美者應耐心練習使用。

