概述
麝香石竹環斑病毒屬為番茄叢矮病毒科下的一個屬。其基因組為二分體基因組,RNA1長約3.9kb,RNA2長約1.5kb。在自然條件下只侵染幾種石竹科植物。廣泛分布於溫帶石竹花種植地區。
放大的紅三葉草壞死花葉病毒粒子模式種
麝香石竹環斑病毒(Carnationringspotvirus)病毒特性
形態學病毒粒子為提純的紅三葉草壞死花葉病毒
等軸對稱二十面體(T=3),直徑32~35nm,無包膜,表面粗糙,有180個蛋白結構亞基。
提純的紅三葉草壞死花葉病毒理化特性
相對分子質量為8.6×10^6,標準沉降常數S(20W)=126~135S,在氯化銫中的浮力密度為1.363~1.366g/cm^3。病毒對乙醚、氯仿和非離子去垢劑不敏感,在體外可穩定10周,熱鈍化點在80~90℃,病毒在pH6或更低時穩定,鹼性條件(pH7~8)導致病毒粒體膨脹,病毒可由二價陽離子穩定。核酸
為二分子線形正義ssRNA,RNA1長3840~3940nt,RNA2長1403~1449nt,核酸占病毒粒子重量的20%。在感病植物體內可以分離到三個病毒特異性dsRNA,分別與基因組RNA1,RNA2相對應,中等大小的dsRNA與1500nt的亞基因組RNA相對應。蛋白質
外殼蛋白由一種多肽組成,分子質量為37~38kDa。基因組
二分體基因組,兩條基因組RNA片段分別包裹在不同的粒子中,沒有證據表明亞基因組RNA也被包裹在病毒粒子中。RNA的3‘端無Poly(A)或tRNA樣結構,5‘端有一個序列為m7G5'pp
麝香石竹環斑病毒的基因組及其產物抗原特性
病毒具有中等到強的免疫原性,在凝膠擴散中形成單條沉澱線。屬內病毒之間有較弱的血清學交叉反應。細胞病理
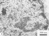
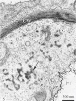
在寄主植物的莖、葉、花和根中都存在病毒,在頂端分生組織中也有。病毒粒子主要分布在感病組織的細胞質和液泡中,分散或呈聚集狀態,一般不形成結晶狀排列,偶爾細胞核內也存在少數病毒粒子,在一些病變細胞的細胞質中還產生電子緻密的無定型物質和小囊泡結構,這些囊泡內含有纖細的絲狀物質。在豇豆寄主老的感病細胞中觀察到大片病毒結晶體,在美國石竹葉肉細胞核中還產生異常的管狀物和結晶狀結構。
麝香石竹環斑病毒感染麝香石竹環斑病毒的寄主植物細胞,示細胞核中的病毒粒子。由麝香石竹環斑病毒粒子組成的結晶體。
感染麝香石竹環斑病毒的克利夫蘭菸葉片細胞,示分散的病毒粒子、小泡結構和單子緻密的無定型體。
生物學
寄主範圍麝香石竹環斑病毒在自然條件下只侵染幾種石竹科植物,實驗中可侵染25個科133種雙子葉植物,引起葉片斑駁、環斑、矮化和畸形,有時葉尖壞死。該屬其他幾種病毒寄主範圍中等,但局限於雙子葉植物。
傳播
病毒易通過機械接種傳播,無種傳報導,不能由昆蟲、線蟲以及土壤真菌傳播,但可以通過未加生物介體的土壤傳播。
麝香石竹環斑病毒地理分布
廣泛分布於溫帶石竹花種植地區,假龍舌蘭壞死線條病毒發生於熱帶地區。分類
該屬有3個種和1個暫定種,代表種是麝香石竹環斑病毒,中國已有研究報導。確定種
共3個種。中文名學名國際基因庫登錄號碼
麝香石竹環斑病毒麝香石竹環斑病毒Carnationringspotvirus(CRSV)[M88589,L18870]
紅三葉草壞死花葉病毒Redclovernecroticmosaicvirus(RCNMV)[J04357,X08021]
草木樨壞死花葉病毒Sweetclovernecroticmosaicvirus(SCNMV)[L07884,S46027~28]
暫定種
共1個種。[1]中文名學名假龍舌蘭壞死線條病毒Furcraeanecroticstreakvirus(FNSV)
