模式種
麝香石竹斑駁病毒(Carnation mottle virus)病毒特性
形態學
病毒粒子為等軸對稱二十面體(T=3),直徑約32~35nm,無包膜,粒子呈圓形,表面粗糙,有180個蛋白結構亞基。理化特性
相對分子質量為8.2×10^6,標準沉降常數S(20W)=118~130S,在氯化銫中的浮力密度為1.33~1.36g/cm^3。麝香石竹斑駁病毒的等電點為pH5.2,熱鈍化點為95℃,體外存活時間達到395天,稀釋終點超過10^-6。病毒對乙醚、氯仿和非離子去垢劑不敏感,可由二價陽離子穩定。核酸
為單分子線形正義ssRNA,長3879~4450nt,核酸占病毒粒子重量的14%。兩個亞基因組RNA分別長1700nt和1450nt。蛋白質
外殼蛋白由一種主要多肽組成,分子質量約為36.4~40.6kDa。基因組
單分體基因組,含有4個ORF,RNA的3'端無Poly(A),5’端可能有一個甲基化的核苷酸帽子結構(末端被保護,只在麝香石竹斑駁病毒中證實該帽子結構的存在)。ORF 1編碼28kDa蛋白,對ORF 1琥珀終止密碼子的超讀產生86kDa的ORF 1 RT蛋白,這兩個蛋白在體內和體外翻譯中都能得到,ORF 1與ORF 1 RT編碼蛋白組成病毒的聚合酶。ORF 2編碼7kDa的胞間運動蛋白。ORF 3編碼9kDa多肽,該蛋白也能促進病毒在寄主植物中的移動。ORF 2和ORF 3在體內是由寄主細胞中合成的較大亞基因組RNA 1所表達,ORF 2的起始密碼子是一個次佳翻譯起始密碼子,而ORF 3的起始密碼子是一個最佳翻譯起始密碼子,核糖體掃描作用使ORF 3從亞基因組RNA 1得以翻譯。ORF 4編碼38kDa的外殼蛋白,在體內是由
抗原特性
病毒具有良好的免疫原性,在凝膠擴散中形成單條沉澱線。與其他等軸狀病毒無血清學關係,屬內病毒之間無血清學交叉反應。細胞病理
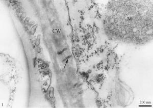
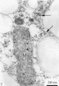
病毒存在於寄主植物的莖、葉、花和根組織中,一般在頂端分生組織中的濃度較低。在感病寄主的表皮和葉肉細胞中有大量球形病毒粒子遍布於細胞質,成簇或分散,少見有結晶狀排列,有許多病毒粒子散布在中央液泡內,在細胞核內也有少數粒子。細胞質中有膜結構增生現象,產生一些小囊泡,不形成像番茄叢矮病毒所引起的多泡體結構,也無特殊的內含體,大多數細胞器較正常。![]() | ![]() |
感染麝香石竹斑駁病毒的寄主植物葉片韌皮部細胞,示大片病毒粒子結晶體。 | 細胞質中病毒粒子排列在管狀結構外側(箭頭)。 |
![]() | ![]() |
寄主細胞的花瓣細胞,示病毒粒子處在胞間連絲中(箭頭)。 | 細胞質中散布的病毒粒子,線粒體呈膨大狀。 |
![]() | CW,細胞壁;M,線粒體;V,病毒粒子。 |
一個膨大的有色體和散布於周圍的病毒粒子(箭頭)。 |
生物學
寄主範圍
該屬多數病毒的自然寄主範圍較窄,但實驗寄主範圍較寬。麝香石竹斑駁病毒自然發生於石竹科植物,實驗寄主包括15個科30種雙子葉植物,一般為局部症狀,在實驗寄主上產生局部壞死。傳播
易通過機械接種傳播,麝香石竹斑駁病毒通過鮮切花在全世界傳播擴散,但未發現傳播介體。一些病毒可以通過種子低水平地傳播。甜瓜壞死斑病毒可由土壤中的油壺菌(Olpidium bornovanus)傳播。豇豆斑駁病毒、菜豆輕型花葉病毒、蕪菁皺縮病毒和黑綠豆斑駁病毒可由甲蟲傳播。地理分布
麝香石竹斑駁病毒廣泛分布於世界石竹花種植地區,其他許多病毒主要發生在溫帶地區,在熱帶地區還有侵染豆科植物的報導。分類
該屬有13個種和6個暫定種,代表種是麝香石竹斑駁病毒,在中國有廣泛發生,已有許多研究報導。確定種
共13個種。編號 | 中文名 | 學名 | 國家基因庫登錄號碼 |
1 | 阿赫盧姆水傳病毒 | Ahlum waterborne virus(AWBV) | - |
2 | 菜豆輕型花葉病毒 | Bean mild mosaic virus(BMMV) | - |
3 | 碎米薺褪綠斑病毒 | Cardamine chlorotic feck virus(CCFV) | [L16015] |
4 | 麝香石竹斑駁病毒 | Carnation mottle virus(CarMV) | [X02986] |
5 | 豇豆斑駁病毒 | Cowpea mottle virus(CPMoV) | [U20976,U07227] |
6 | 黃瓜土傳病毒 | Cucumber soil-borne virus(CSBV) | - |
7 | 牛膝菊花葉病毒 | Galinoga mosaic virus(GaMV) | [Y13463] |
8 | 木槿褪綠環斑病毒 | Hibiscus chlorotic ringspot virus(HCRSV) | - |
9 | 甜瓜壞死斑病毒 | Melon necrotic spot virus(MNSV) | [M29671] |
10 | 天竺葵花碎錦病毒 | Pelargonium flower break virus(PFBV) | - |
11 | 薩瓜羅仙人掌病毒 | Saguaro cactus virus(SgCV) | [U72332] |
12 | 蕪菁皺縮病毒 | Turnip crinkle virus(TCV) | [M22445] |
13 | 韋德爾水傳病毒 | Weddel waterborne virus(WWBV) | - |
暫定種
共6個種。編號 | 中文名 | 學名 |
1 | 黑綠豆斑駁病毒 | Blackgram mottle virus(BMoV) |
2 | 藍篩朴潛隱病毒 | Elderberry latent virus(ELV) |
3 | 大豆屬斑駁病毒 | Glycine mottle virus(GMoV) |
4 | 水仙死頂病毒 | Narcissus tip necrosis virus(NTNV) |
5 | 車前草病毒6號 | Plantain virus 6(PIV-6) |
6 | 灰毛豆無症病毒 | Tephrosia symptomless virus(TeSV) |





