概述
多數病毒的自然寄主窄,但有較寬的實驗寄主範圍。大多數寄主局部感染,形成壞死症狀。模式種
番茄叢矮病毒(Tomato bushy stunt virus)病毒特性
形態學
病毒粒子為等軸對稱二十面體(T=3),直徑32~35nm,無包膜,粒子
理化特性
相對分子質量為8.9×10^6,標準沉降常數S(20W)=132~140S,在氯化銫中的浮力密度為1.34~1.36g/cm^3,病毒的等電點為pH4.1,熱鈍化點在80~90℃,在體外可存活130~150天,稀釋終點超過10^-6,對乙醚、氯仿和非離子去垢劑不敏感,可由二價陽離子穩定。核酸
為單分子線形正義ssRNA,長約4.7kb,核酸占病毒粒子重量的17%。有些病毒還含有缺損干擾RNA或衛星RNA,偶爾也有亞基因組RNA包裹在粒子中。在感病植物體記憶體在三個病毒特異性dsRNA,最大的一個與基因組RNA相對應,另外兩個分別與2200nt的亞基因組RNA 1和900nt的亞基因組RNA 2相對應。蛋白質
外殼蛋白由一種主要多肽組成,分子質量41kDa。基因組
單分體基因組,RNA的3'端無Poly(A)和tRNA樣結構,5'端可能
抗原特性
病毒具有良好的免疫原性,在凝膠擴散中形成單條沉澱線。屬內病毒之間有由近到很遠的血清學關係。細胞病理
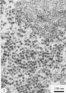
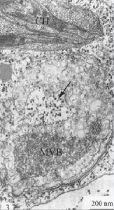
受番茄叢矮病毒侵染的寄主植物薄壁組織和輸導組織中都存在病毒。感病組織的細胞質中分布著大量病毒粒子,常積累在靠近液泡膜處,形成膜包裹的泡狀體進入液泡,然後散布在液泡中,有時在液泡中呈結晶狀排列,有時也在細胞核、葉綠體、線粒體中看到病毒粒子,引起這些細胞器的病變。該屬病毒引起最顯著的細胞病變特徵是在細胞質內產生多泡體結構,多泡體由線粒體和微體變化而成,這些細胞器先是產生周邊小泡,小泡內含有細的纖維狀物質,然後進一步囊泡化,多泡體的體積可大到占據細胞質的大部分,有時在葉綠體中也看到周邊小泡,多泡體可能是病毒RNA複製的場所。![]() | ![]() | ![]() |
感染菊芋斑駁皺縮病毒的寄主植物細胞,示大片病毒粒子伸入中央液泡內。 | 感染番茄叢矮病毒的寄主植物細胞,示細胞質中的病毒結晶體。 | 番茄叢矮病毒粒子積累在細胞核中。 |
![]() | ![]() | ![]() |
感染番茄叢矮病毒的千日紅葉肉細胞,示細胞質中的葉綠體囊泡化,過氧化物酶體和線粒體變化形成多泡體結構。 | 由過氧化物酶體發展成的多泡體,周圍散布著番茄叢矮病毒粒子。 | 感染建蘭環斑病毒寄主細胞中的多泡體和病毒粒子(箭頭)。CH,葉綠體;Nn,核仁;MVB,多泡體;V,病毒粒子。 |
生物學
寄主範圍
多數病毒的自然寄主窄,但有較寬的實驗寄主範圍。番茄叢矮病毒在自然條件下限於侵染少數幾種雙子葉植物,在實驗室可侵染20多個科120多種植物。大多數寄主局部感染,形成壞死症狀。傳播
病毒易通過機械接種傳播,許多病毒可以直接通過土壤傳毒,可能存在土壤真菌介體,黃瓜壞死病毒通過油壺菌(Olpidium bornovanus) 的遊動孢子傳播。一些病毒可以很低水平地種傳。地理分布
番茄叢矮病毒分布於歐洲、北美洲、南美洲等地,其他病毒存在於初報寄主植物生長的地區。分類
該屬有13個種,代表種是番茄叢矮病毒,中國已有研究報導。編號 | 中文名 | 學名 | 國際基因庫登錄號碼 |
1 | 菊芋斑駁皺縮病毒 | Artichoke mottled crinkle virus(AMCV) | [X62493] |
2 | 義大利麝香石竹環斑病毒 | Carnation Italian ringspot virus(CIRV) | [X85215] |
3 | 黃瓜壞死病毒 | Cucumber necrosis virus(CuNV) | [M25270] |
4 | 建蘭環斑病毒 | Cymbidium ringspot virus(CymRSV) | [X15511] |
5 | 茄斑駁皺縮病毒 | Eggplant mottled crinkle virus(EMCV) | - |
6 | 阿爾及利亞葡萄潛隱病毒 | Grapevine Algerian latent virus(GALV) | - |
7 | 拉托河病毒 | Lato river virus(LRV) | - |
8 | 摩洛哥辣椒病毒 | Moroccan pepper virus(MPV) | - |
9 | 內卡河病毒 | Neckar river virus(NRV) | - |
10 | 天竺葵曲葉病毒 | Pelargonium leaf curl virus (PLCV) | - |
11 | 碧冬茄星狀花葉病毒 | Petunia asteroid mosaic virus(PetAMV) | - |
12 | 錫特卡河水傳病毒 | Sitke waterborne virus(SWBV) | - |
13 | 番茄叢矮病毒 | Tomato bushy stunt virus(TBSV) | [M21958,U80935] |






