病因病理
中樞神經系統結核病有2種類型:結核性腦膜腦炎和結核球。結核菌植入蛛網膜下腔,引起增生性腦膜炎,腦脊膜變為混濁肥厚,以腦基底池和鞍上池為著。在腦表面有很多散在的白色小結節,在腦實質和腦室內有多發小乾酪樣結核灶,蛛網膜下腔有大量黃色膠樣滲出液,腦膜血管呈全動脈炎改變並可有腦梗塞。由於大量滲出物沉積,蛛網膜粒發炎,引起腦積水。結核瘤常在腦表淺部位,結核球為黃色結節狀,質地較硬,中心為乾酪樣壞死及鈣化,結核瘤周圍明顯水腫。
臨床表現
發熱、頭痛、盜汗,煩躁不安、嘔吐,晚期表現為意識喪失,可有頻繁抽搐。顱神經受損以面、視、動眼、外展等神經較易受累,頸項強直,布氏征、克氏征陽性。血管病變以及結核瘤可有局灶性中樞神經系統損害表現或肢體癱瘓,癲癇。腦脊液壓力增高,白細胞數與蛋白質均升高,腦脊液塗片、培養以及動物接種可查出結核桿菌, PCR法檢測結核桿菌 DNA陽性, PPD試驗陽性。
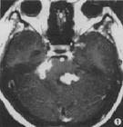
影像學表現
1.CT表現:結核性腦膜炎CT平片見蛛網膜下腔,尤以鞍上池和側裂池變形、形態模糊和密度增高,約有50%的病人見鞍區鈣化,增強掃描後顯示鞍上池和側裂池顯著強化,腦室擴大。
而結核瘤CT平掃顯示等密度、高密度或混合密度的結節,典型結核球呈環狀或蛋殼狀鈣化,同時伴有病灶周圍水腫。增強CT後見環狀或結節狀強化。典型者為環狀強化包繞中心結節鈣化或強化,稱為“靶樣征”。血行播散多髮結核結節CT平掃不能顯示,增強後CT見多個圓形結節,偶爾結節中心有低密度區。
2.MRI表現:
結核性腦膜炎好發生於腦底部,表現為腦底部的軟腦膜和蛛網膜下腔的廣泛炎症。滲出和粘連、增厚。T1加權像顯示腦基底池信號增高,T2加權像上信號更高,增強MRI後顯示蛛網膜間隙異常強化。結核性腦膜炎常引起3種併發症:結核性腦膜腦炎、腦梗塞和交通性腦積水。結核性腦膜腦炎好發於腦底、丘腦和基底節附近的腦實質,T2加權可見上述部位腦實質內有斑片狀高信號強度改變,其內可散在小點片狀的低信號影為乾酪性壞死,增強後有邊緣強化。腦梗塞好發在大腦中動脈供血區,梗塞灶較少,T2加權像上可見小片狀高信號強度影散布在基底節和題項葉腦實質內。由於腦基底池的結核炎症滲出,易波及中腦導水管引起阻塞。MRI圖像可見導水管以上腦室擴張積液。增強後導水管內可見小條狀強化病灶。
結核瘤T1加權像呈低信號,包膜為等信號。T2加權像信號不均,包膜為低或略高信號。結核瘤鈣化在T1和T2加權像均為低信號或不顯示。

