概述
等軸狀粒子,介體不明,CP為20kDa。模式種
雀麥花葉病毒(Brome mosaic virus)病毒特性
形態學
病毒粒子為等軸對稱的二十面體(T=3),無包膜,三個組分的粒子大小一致,直徑27nm,用1%醋酸鈾染色有180個結構亞基,以六聚體和五聚體方式堆集,粒子有一個小的緻密中心,直徑約8nm。高度純化病毒用負染碳膜法製成二維結晶狀排列的樣品,運用X射線衍射和圖像處理可獲得更精細的結構細節。RNA 1包裹在B組分粒子中,RNA 2包裹在M組分粒子中,RNA 3和RNA 4包裹在T組分粒子中,都是侵染所必需的。![]() | ![]() |
提純的雀麥花葉病毒。 | 負染碳膜法製備結晶狀排列的豇豆褪綠斑駁病毒。 |
![]() | ![]() |
提純的豇豆褪綠斑駁病毒粒子,醋酸鈾負染色。 | 提純的蠶豆斑駁病毒。 |
理化特性
三種粒子的相對分子質量均為4.6 X 10^6,標準沉降常數基本相同,為S(20W)=85S,在氯化銫中的平均浮力密度為1.35g/cm^3,在鈣離子、鎂離子存在或鹼性pH條件下,病毒粒子可逆性膨脹和變形,病毒對鹽、表面活性劑、蛋白酶、核酸酶敏感。核酸
三分子線形正義ssRNA,雀麥花葉病毒的RNA 1長3234nt,RNA 2長2865nt,RNA 3長2117nt,RNA 4為RNA 3的亞基因組RNA,長875nt,核酸約占病毒粒子重量的22%。蛋白質
外殼蛋白由一種多肽組成,分子質量為20.3kDa。基因組
三分體基因組,病毒粒子分別包裹單拷貝的RNA1(B組分)或RNA 2
抗原特性
免疫原性相對較弱,除非用戊二醛或甲醛固定以增強免疫原性,屬內病毒之間有中等到較遠的血清學關係。雀麥花葉病毒與蠶豆斑駁病毒、豇豆褪綠斑駁病毒在血清學上無關。細胞病理
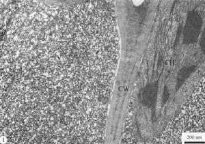
病毒粒子存在於感病組織的細胞質、液泡和細胞核中,通常大量聚集在細胞質中,有時可占據大部分空間,並呈結晶狀排列。許多細胞病理學研究是針對蠶豆斑駁病毒的,放射自顯影實驗表明病毒RNA合成發生在細胞質中,常靠近高爾基體。細胞質產生許多含細纖維物質的小泡結構,小泡結構也出現在核周腔中,細胞質內質網增生現象明顯,並產生許多無定形電子緻密的內含體,無定形體常處在小泡結構之間。在侵染早期,病毒抗原出現在細胞質與核中,並在核內保持恆定,而在細胞質中快速增長,表明病毒蛋白可能是在核內合成,然後輸送到細胞質中,並在此組裝成病毒粒子,然而生化實驗證明外殼蛋白合成是在細胞質核糖體上。雖然核的作用還不清楚,但感染早期核周腔的小泡結構可能在病毒複製中起到重要作用。雀麥花葉病毒感染菸草原生質體後6h,即有圍繞核的內質網增生,然後散布的病毒粒子出現在細胞質中,一些粒子圍繞著直徑30nm的膜管外面,呈螺旋狀排列。在燕麥和大麥葉片中,葉肉組織比其他組織受影響更嚴重,病毒粒子常出現在葉綠體內陷處,在感染後期,細胞中含有病毒結晶體,葉綠體被瓦解。![]() | ![]() |
感染雀麥花葉病毒的寄主細胞,示細胞質中積累了大量病毒粒子。 | a.感染蠶豆斑駁病毒的蠶豆葉片細胞,示細胞質中的病毒粒子、電子緻密無定型體(箭頭)和小泡結構,葉綠體片層變得疏鬆。b.細胞中央液泡內的病毒粒子聚集體。CH,葉綠體;CW,細胞壁;V,病毒粒子。 |
生物學
寄主範圍
自然界中雀麥花葉病毒引起雀麥草和其他雜草花葉症狀,可侵染禾本科50個屬的植物,在雙子葉植物中寄主範圍局限於約6個科的少數幾個屬。屬內其他病毒如蠶豆斑駁病毒和豇豆褪綠斑駁病毒的寄主範圍可擴展到豆科。傳播
自然介體不明,實驗中可由劍線蟲傳播,病毒易機械接種傳播。豇豆褪綠斑駁病毒和蠶豆斑駁病毒等可由葉甲或象甲傳播。地理分布
美國、歐洲、南非等地。分類
該屬有6個種,模式種是雀麥花葉病毒,中國尚無報導。編號 | 中文名 | 學名 | 國際基因庫登錄號碼 |
1 | 蠶豆斑駁病毒 | Broad bean mottle virus (BBMV) | [K01776~78,M64713, |
M65138,M60291] | |||
2 | 雀麥花葉病毒 | Brome mosaic virus(BMV) | [V00099,J02042~43, |
X01678,K02706~07, | |||
X02380,M25172] | |||
3 | 決明黃斑病毒 | Cassia yellow blotch virus(CYBV) | - |
4 | 豇豆褪綠斑駁病毒 | Cowpea chlorotic mottle virus(CCMV) | [M28817~18,J02052, |
M65139,K01779~80, | |||
M18658,M65155] | |||
5 | 女婁菜黃斑病毒 | Melandrium yellow fleck virus(MYFV) | - |
6 | 春美草潛隱病毒 | Spring beauty latent virus(SBLV) | - |






