病毒特徵
形態學
病毒粒子為雙聯體結構,每個粒子大小為18nm×30nm,無包膜,由兩個不完整的二十面體組成(T=1),共有22個五聚體殼粒。
理化特性
標準沉降常數S(20W)=76S,芒線條病毒和虎尾草條點花葉病毒在氯化銫中的浮力密度為1.35g/cm^3。
核酸
為單條閉環狀ssDNA分子,長2.6~2.8kb。
蛋白質
外殼蛋白由單個多肽組成,分子質量20~34kDa。
基因組
玉米線條病毒屬病毒的基因組及其產物單分體基因組,共有4個開讀框ORF,在病毒鏈及其互補鏈上各有兩個ORF,兩ORF之間由兩個非編碼區隔開,ORF C1和C2是複製相關基因的兩個外顯子(RepA和RepB)。除了玉米線條病毒以外,該屬所有病毒ORF的RepB缺少甲硫氨酸起始密碼子。玉米線條病毒及其他侵染草本植物的病毒移動蛋白基因(V2 ORF)有一個內含子,該屬所有病毒 Rep基因均含有一個內含子。基因組編碼的3個(也可能是4個)蛋白分別是外殼蛋白(V1 ORF)、移動蛋白(V2 ORF)及複製相關蛋白(Rep C1/C2 ORF)。該屬有9種病毒的基因組DNA已測序。
抗原特性
玉米線條病毒具有較強的免疫原性。一般來源於相同大陸的病毒間相互有血清學關係,而來源於不同大陸的病毒間沒有血清學關係或關係較遠。此外,感染雙子葉植物的病毒與感染單子葉植物的病毒之間無血清學關係。
細胞病理
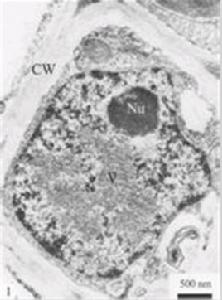
玉米線條病毒在寄主植物體內主要分布於韌皮部,但也在其他組織中觀察到,病毒在細胞核中呈結晶狀排列。虎尾草條點花葉病毒在寄主植物除表皮及木質部導管以外的各種類型細胞中均被檢測到,病毒粒子在核中形成鬆散排列的聚集體,細胞核病變明顯,偶爾發現分布在細胞質或液泡中,可能是核膜破裂後進入了細胞質。
虎尾草條點花葉病毒 | 雀裨條點花葉病毒 |
| 感染虎尾草條點花葉病毒的虎尾草韌皮部細胞,示細胞核內的大片病毒粒子。CW,細胞壁;Nu,核仁。 | a. 感染雀裨條點花葉病毒的雀裨葉片細胞,病毒粒子在細胞核內呈整齊的結晶狀排列;b. 結晶狀的病毒粒子放大圖。 |
生物學
寄主範圍
該屬病毒的自然寄主範圍窄,局限於禾本科植物,只有菸草黃矮病毒和菜豆黃矮病毒侵染雙子葉植物。在禾本科植物上一般產生葉條斑或矮縮症狀。
傳播
自然情況下通過葉蟬以持久方式傳播,機械接種不傳播,一些種用重組DNA方法由農桿菌作介質轉移傳播,如馬唐線條病毒、玉米線條病毒、虎尾草條點花葉病毒、芒線條病毒、黍線條病毒、小麥矮縮病毒及菸草黃矮病毒等。
地理分布
玉米線條病毒分布於非洲南部的撒哈拉、葉門、模里西斯及馬達加斯加,在印度及東南亞一些地區也有報導,但在美洲大陸不發生。虎尾草條點花葉病毒和菸草黃矮病毒分布於澳大利亞,芒線條病毒在日本有報導,在我國境內和越南也有發現。
分類
該屬有12個確定種和2個暫定種,模式種是玉米線條病毒。
確定種
共12種。
| 編號 | 中文名 | 學名 | 國際基因庫登錄號碼 |
| 1 | 菜豆黃矮病毒 | Bean yellow dwarf virus (BeYDV) | [Y11023] |
| 2 | 雀麥條點花葉病毒 | Bromus striate mosaic virus (BrSMV) | - |
| 3 | 虎尾草條點花葉病毒 | Chloris striate mosaic virus (CSMV) | [M20021] |
| 4 | 馬唐線條病毒 | Digitaria streak virus (DSV) | [M23022] |
| 5 | 馬唐條點線條病毒 | Digitaria striate mosaic virus (DiSMV) | - |
| 6 | 玉米線條病毒 | Maize streak virus (MSV) | [X01089,X01633, |
| AF003952,Y00514, | |||
| X71954,AF007881] | |||
| 7 | 芒線條病毒 | Miscanthus streak virus (MiSV) | [D00800,D01030] |
| 8 | 黍線條病毒 | Panicum streak virus (PanSV) | [X60168,L39638] |
| 9 | 雀裨條點花葉病毒 | Paspalum streak mosaic virus (PSMV) | - |
| 10 | 甘蔗線條病毒 | Sugarcane streak virus (SSV) | [M82918,X86705] |
| 11 | 菸草黃矮病毒 | Tobacco yellow dwarf virus (TYDV) | [M81103] |
| 12 | 小麥矮縮病毒 | Wheat dwarf virus (WDV) | [X02869,X82104] |
暫定種
共2種。
| 中文名 | 學名 |
| 珍珠粟線條病毒 | Bajra streak virus(BaSV) |
| 鷹嘴豆褪綠矮縮病毒 | Chickpea chlorotic dwarf virus (CpCDV) |

虎尾草條點花葉病毒
雀裨條點花葉病毒 