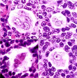
簡介
細胞體積大,胞漿豐富,染色淡或清亮透明,核大呈分葉狀,常有多個小核仁。
用福馬林固定的組織,細胞漿收縮與周圍的細胞之間形成透明的空隙,形似細胞位於陷窩內,故得名陷窩細胞。

用福馬林固定的組織,細胞漿收縮與周圍的細胞之間形成透明的空隙,形似細胞位於陷窩內,故得名陷窩細胞,常見於結節硬化型霍奇金淋巴瘤。
簡介
細胞體積大,胞漿豐富,染色淡或清亮透明,核大呈分葉狀,常有多個小核仁。
用福馬林固定的組織,細胞漿收縮與周圍的細胞之間形成透明的空隙,形似細胞位於陷窩內,故得名陷窩細胞。
軟骨陷窩,(Cartilage capsule),是軟骨細胞所在的腔隙。
英文 定義 本質詞目:豪息潑氏陷窩 英文:Howship's 釋文:在骨組織周邊的陷窩,在其中常常見有硬骨細胞。
瀰漫型大B細胞淋巴瘤:由Kiel分類的中心母細胞性(無核裂細胞性),B免疫母細胞性和間變性大B細胞淋巴瘤組成。
B細胞淋巴瘤是B細胞發生的實體腫瘤。包括霍奇金淋巴瘤和非霍奇金淋巴瘤。其分型眾多,經典霍奇金淋巴瘤和結節性淋巴細胞為主型霍奇金淋巴瘤,現在被認為是起源於...
疾病分類 疾病預後 B細胞淋巴瘤各論滋養細胞是指具有滋養功能的細胞,來自胚胎外的滋養層。滋養層細胞生長迅速,在胚囊表面形成許多毛狀突起,稱“絨毛”(villi)。 絨毛滋養層主要是細胞滋養...
簡介 類型 發病機制 妊娠滋養細胞疾病睪丸支持細胞又稱Sertoli細胞,是一種細胞,呈不規則的高錐體形,細胞基部附著在基膜上,頂部伸至曲精小管腔面。
研究歷程 細胞特點 細胞作用軟骨細胞,外文名chondrocyte,是軟骨細胞因在軟骨組織中的存在部位不同,其形態亦異。
細胞特點 主要功能細胞要對力的作用做出回響,必須表達特異的力學感測器(mechano-biosensor),感受力學信號並將它轉換成生物化學信號。研究細胞力學信號的感受和...
1.細胞骨架 2.黏附受體 3. 離子通道 4.細胞腔面膜蛋白 5.原始纖毛