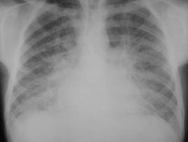
間質性肺水腫
1.肺紋理和肺門陰影邊緣模糊。
2.肺血重新分布現象,即由正常時上肺血管比下肺血管細變為上肺野血管增粗。
3.支氣管袖口征,支氣管軸位投影可見管壁環形厚度增寬,邊緣模糊,稱為袖口征。
4.間隔線陰影,其病理基礎是小葉間隔水腫。可分為KerleyA、B、C線,以B線最常見長度小於2cm,與胸膜垂直。
5.胸膜下水腫,類似胸膜增厚,不隨體位改變而變化,葉間胸膜下水腫表現為葉間裂增厚。
6.常合併心影增大,可有少量胸水。

間質性肺水腫,是肺微血管靜水壓力升高、微血管和肺泡壁通透性增加、血漿膠體滲透壓降低、肺淋巴回流障礙等原因引起的液體局限在肺泡外血管和傳導氣道周圍的疏鬆結締組織中蓄積。
1.肺紋理和肺門陰影邊緣模糊。
2.肺血重新分布現象,即由正常時上肺血管比下肺血管細變為上肺野血管增粗。
3.支氣管袖口征,支氣管軸位投影可見管壁環形厚度增寬,邊緣模糊,稱為袖口征。
4.間隔線陰影,其病理基礎是小葉間隔水腫。可分為KerleyA、B、C線,以B線最常見長度小於2cm,與胸膜垂直。
5.胸膜下水腫,類似胸膜增厚,不隨體位改變而變化,葉間胸膜下水腫表現為葉間裂增厚。
6.常合併心影增大,可有少量胸水。
過敏性急性小管間質性腎炎(allergic tubulo-interstitial nephritis),又稱藥物性急性小管間質性腎炎(drug-ind...
疾病概述 症狀體徵 疾病病因 病理生理 診斷檢查感染性急性小管間質性腎炎又稱藥物性急性小管間質性腎炎(drug-inducedacutetubulo-interstitialnephritis)或急性...
流行病學 發病機制 臨床表現 疾病診斷 鑑別診斷復張性肺水腫是因氣胸、胸腔積液、胸腔內巨大腫瘤造成病側肺萎陷,經胸腔閉式引流或腫瘤切除術,解除對肺的壓迫,使萎陷肺得以復張,患側肺或雙肺在短時間內(數分...
定義 診斷 治療 預防高壓性肺水腫是肺臟內血管與組織之間液體交換功能紊亂所致的肺含水量增加。
簡介 治療機理 診斷依據 犬、貓的肺水腫症狀 診斷間質性肺疾病(ILD)是以瀰漫性肺實質、肺泡炎症和間質纖維化為病理基本病變,以活動性呼吸困難、X線胸片瀰漫性浸潤陰影、限制性通氣障礙、彌散(DLCO)功...
間質性肺病簡介 間質性肺病發病機制 間質性肺病病狀體徵 間質性肺病病理分類《實用間質性肺疾病》是2010年人民衛生出版社出版的圖書,作者是蔡後榮。
內容簡介 圖書目錄現為急性過敏性間質性腎炎和急性腎小管壞死兩大類,重者可引起急性腎功能衰竭...藥物引起間質性腎炎的臨床表現多樣化,但無特異性;可發生於任何年齡,尿量和...,而與藥物劑量無關。 (1)發熱:急性過敏性間質性腎炎早期大多有發熱,一般...
疾病概述 症狀體徵 疾病病因 病理生理 診斷檢查60%,表現為雙肺門陰影增大、模糊,肺紋理增粗。②間質性肺水腫型:肺門影...狀陰影,病變主要是肺水腫表現。最常見為呼吸困難,多為輕中度,以能平臥為其...肺水腫表現;廣義的尿毒症肺炎是指尿毒症時呼吸系統出現的病理生理改變和...
尿毒症肺炎疾病概述 症狀體徵 疾病病因 病理生理 診斷檢查