病原
增殖方式有二分裂法,出芽和裂殖法。一般認為增殖發生在骨髓部位,但尚存在爭議。常單獨或呈鏈狀附著於紅細胞表面,也可游離於血漿中。附紅細胞體發育過程中,形狀和大小常發生變化,可能也與動物種類、動物抵抗力等因素有關。對乾燥和化學藥品的抵抗力很低,但耐低溫,在5度時可保存15天,在冰凍凝固的血液中可存活31天,在加15%甘油的血液中於-79度條件下可保存80天,凍乾保存可活765天。一般常用消毒劑均能殺死病原,如0.5%的石碳酸於37度3個小時就可將其殺死。
流行病學
附紅細胞體病的出現在我國已經有20餘年的歷史。近年豬的附紅細胞體病有趨於嚴重的態勢,很多豬場因此損失慘重。附紅細胞體對宿主的選擇並不嚴格,人、牛、豬、羊等多種動物均可感染,且感染率比較高。 有人做過調查,各種階段豬的感染率達80-90%;人的感染陽性率可達 86%;而雞的陽性率更高,可達 90%。但除了豬之外的其它動物發病率不高。
豬附紅細胞體病可發生於各齡豬,但以仔豬和長勢好的架子豬死亡率較高,母豬的感染也比較嚴重。患病豬及隱性感染豬是重要的傳染源。傳播途徑目前還不十分清楚。豬通過攝食血液或帶血的物質,如舔食斷尾的傷口、互相鬥毆等可以直接傳播。間接傳播可通過活的媒介如疥蟎、虱子、吸血昆蟲(如刺蠅、蚊子、蜱等)傳播。注射針頭的傳播也是不可忽視的因素,因為在注射治療或免疫接種時,同窩的豬往往用一隻針頭注射,有可能造成附紅細胞體人為傳播。附紅細胞體可經交配傳播,也可經胎盤垂直傳播。在所有的感染途徑中,吸血昆蟲的傳播是最重要的。
附紅細胞體病是由多種因素引發的疾病,僅僅通過感染一般不會使在正常管理條件下飼養的健康豬發生急性症狀,應激是導致本病爆發的主要因素。通常情況下只發生於那些抵抗力下降的豬,分娩、過度擁擠、長途運輸、惡劣的天氣、飼養管理不良、更換圈舍或飼料及其它疾病感染時,豬群亦可能爆發此病。
一般認為附紅細胞體病多發生於溫暖的夏季,尤其是高溫高濕天氣。冬季相對較少。最早見於廣東、廣西、上海、浙江、江蘇、福建等地,後來逐漸蔓延至河南、山東、河北、甚至新疆和東北地區。
臨床症狀
豬附紅細胞體病因畜種和個體體況的不同,臨床症狀差別很大。主要引起:仔豬體質變差,貧血,腸道及呼吸道感染增加;育肥豬日增重下降,急性溶血性貧血;母豬生產性能下降等。
哺乳仔豬:5日內發病症狀明顯,新生仔豬出現身體皮膚潮紅,精神沉鬱,哺乳減少或廢絕,急性死亡,一般7-10日齡多發,體溫升高,眼結膜皮膚蒼白或黃染,貧血症狀,四肢抽搐、發抖、腹瀉、糞便深黃色或黃色粘稠,有腥臭味,死亡率在20-90%,部分很快死亡。大部仔豬臨死前四肢抽搐或劃地,有的角弓反張。部分治癒的仔豬會變成僵豬。
育肥豬根據病程長短不同可分為三種類型:急性型病例較少見,病程1天-3天。亞急性型病豬體溫升高,達39.5度~42度。病初精神萎頓,食慾減退,顫抖轉圈或不願站立,離群臥地。出現便秘或拉稀,有時便秘和拉稀交替出現。病豬耳朵、頸下、胸前、腹下、四肢內側等部位皮膚紅紫,指壓不褪色,成為“紅皮豬”。有的病豬兩後肢發生麻痹,不能站立,臥地不起。部分病畜可見耳廓、尾、四肢末端壞死。有的病豬流涎,心悸,呼吸加快,咳嗽,眼結膜發炎,病程3天-7天,或死亡或轉為慢性經過。慢性型患豬體溫在39.5℃左右,主要表現貧血和黃疸。患豬尿呈黃色,大便乾如栗狀,表面帶有黑褐色或鮮紅色的血液。生長緩慢,出欄延遲。
母豬症狀分為急性和慢性兩種。急性感染的症狀為持續高熱(體溫可高達42度),厭食,偶有乳房和陰唇水腫,產仔後奶量少,缺乏母性。慢性感染豬呈現衰弱,黏膜蒼白及黃疸,不發情或屢配不孕,如有其它疾病或營養不良,可使症狀加重,甚至死亡。
病理變化
主要病理變化為貧血及黃疸。皮膚及黏膜蒼白,血液稀薄、色淡、不易凝固,全身性黃疸,皮下組織水腫,多數有胸水和腹水。心包積水,心外膜有出血點,心肌鬆弛,色熟肉樣,質地脆弱。肝臟腫大變性呈黃棕色,表面有黃色條紋狀或灰白色壞死灶。膽囊膨脹,內部充滿濃稠明膠樣膽汁。脾臟腫大變軟,呈暗黑色,有的脾臟有針頭大至米粒大灰白(黃)色壞死結節。腎臟腫大,有微細出血點或黃色斑點,有時淋巴結水腫。
可能是附紅細胞體破壞血液中的紅細胞,使紅細胞變形,表面內陷溶血,使其攜氧功能喪失而引起豬抵抗力下降,易並發感染其它疾病。也有人認為變形的紅細胞經過脾臟時溶血,也可能導致全身免疫性溶血,使血凝系統發生改變。
診斷
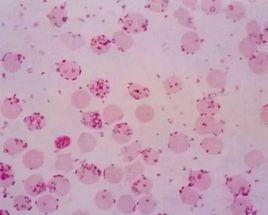
血液鏡檢
附紅細胞體感染後7天-8天,豬主要表現為高熱和溶血性貧血,這時血液內有大量附紅細胞體,血液檢查很容易發現。取高熱期的病豬血一滴塗片,生理鹽水10倍稀釋,混勻,加蓋玻片,放在400-600倍顯微鏡下觀察,發現紅細胞表面及血漿中有遊動的各種形態的蟲體,附著在紅細胞表面的蟲體大部分圍成一個圓,呈鏈狀排列。紅細胞呈星形或不規則的多邊形。
血片染色
血塗片用姬姆薩染色,放在油鏡暗視野下檢查發現多數紅細胞邊緣整齊,變形,表面及血漿中有多種形態的染成粉紅色或紫紅色的折光度強的蟲體。但要注意染料沉著而產生的假陽性。鏡檢應當與臨床症狀和病理變化相聯繫才能對該病進行正確診斷。
血清學檢查
診斷方法包括IHA試驗、補體結合試驗(CFT)或ELISA方法,但抗體的產生與病原數量的增多(而不是與感染髮生的時間)有暫時的相關性。這意味著抗體的產生呈波浪形,即使數次急性發作後,抗體滴度也只能在一定時間內維持較高水平,之後便會下降到閾值以下,這表明假陰性是常見的。血清學診斷方法只適用於群體檢查。
生物學診斷
此外,可輔以生物學診斷,PCR方法等進一步進行診斷鑑定。目前浙江大學杜愛芳教授實驗室已研發成功該病原PCR診斷試劑盒。
豬瘟鑑別診斷
(1)豬瘟流行無明顯季節性,豬瘟弱毒苗預防注射完全控制流行;
(2)豬瘟無貧血和黃疸病症;
(3)豬瘟呈現以多發性出血為特徵的敗血症變化,在皮膚、漿膜、黏膜、淋巴結、腎、膀胱、喉炎、 扁桃體、膽囊等組織器官都有出血,淋巴結周邊出血是豬瘟的特徵病變;
(4)在發生豬瘟時,約有25%-85%的病豬脾臟邊緣具有特徵性的出血梗死病灶。慢性豬瘟在迴腸末端,盲腸,特別是回盲口有許多輪層狀潰瘍(扣狀潰瘍);
鑑別診斷
(1)豬呼吸與繁殖障礙綜合症無貧血和黃疸症狀。
(2)豬呼吸與繁殖障礙綜合症呼吸困難明顯,剖檢肺部有明顯的病變。
(3)豬附紅細胞體病用四環素類抗生素治療效果好。
防治
加強飼養管理,保持豬舍、飼養用具衛生,減少不良應激等是防止本病發生的關鍵。夏秋季節要經常噴灑殺蟲藥物,防止昆蟲叮咬豬群,切斷傳染源。在實施諸如預防注射、斷尾、打耳號、閹割等飼養管理程式時,均應更換器械、嚴格消毒。購入豬只應進行血液檢查,防止引入病豬或隱性感染豬。本病流行季節給予預防用藥,可在飼料中添加土黴素或金黴素添加劑,或中藥消紅五加一800g/t或每公斤飼料添加90毫克阿散酸或45毫克洛沙砷,連續使用30天。
治療豬附紅細胞體病的藥物雖有多種 ,但真正有特效的不多,每種藥物對病程較長和症狀嚴重的豬效果都不好。由於豬附紅細胞體病常伴有其他繼發感染,因此對其治療必須附以其他對症治療才有較好的療效。下面是幾種常用的藥物:
1. 血蟲淨(或三氮眯、貝尼爾) 每公斤體重用5mg-10mg,用生理鹽水稀釋成5%溶液,分點肌肉注射,1天1次,連用3天。
2. 咪唑苯脲 每公斤體重用1mg-3mg,1天1次,連用2天-3天。
3. 四環素、土黴素(每公斤體重10mg和金黴素(每公斤體重15mg口服或肌注或靜注,連用7天-14天。
4. 新砷凡納明 按每公斤體重10mg-15mg靜脈注射,一般3天后症狀可消失。

