介紹
一、病原
附紅細胞體有人認為是單細胞原蟲的一種,屬寄生蟲,也有人認為是立克次氏體目,乏漿體科,屬附紅細胞體屬。目前尚未形成共識。一般以寄生宿主命名,但病原的種類與宿主之間的關係不甚清楚,有待進一步研究。其形態呈環狀、啞鈴狀、S形、卵圓形、逗點形或桿狀。大小介於0.1-2.6um之間。無細胞壁,無明顯的細胞核、細胞器,無鞭毛,屬原核生物,2800倍顯微鏡下,可見分布不均的類核糖體。外有一層胞膜,下有微管(透視鏡下)。增殖方式有二分裂法,出芽和裂殖法。一般認為增殖發生在骨髓部位,但尚存在爭議。常單獨或呈鏈狀附著於紅細胞表面,也可游離於血漿中。附紅細胞體發育過程中,形狀和大小常發生變化,可能也與動物種類、動物抵抗力等因素有關。對乾燥和化學藥品的抵抗力很低,但耐低溫,在5度時可保存15天,在冰凍凝固的血液中可存活31天,在加15%甘油的血液中於-79度條件下可保存80天,凍乾保存可活765天。一般常用消毒劑均能殺死病原,如0.5%的石碳酸於37度3個小時就可將其殺死。
二、流行病學
附紅細胞體病的出現在我國已經有20餘年的歷史。近年豬的附紅細胞體病有趨於嚴重的態勢,很多豬場因此損失慘重。附紅細胞體對宿主的選擇並不嚴格,人、牛、豬、羊等多種動物均可感染,且感染率比較高。 有人做過調查,各種階段豬的感染率達80-90%;人的感染陽性率可達 86%;而雞的陽性率更高,可達 90%。但除了豬之外的其它動物發病率不高。
豬附紅細胞體病可發生於各齡豬,但以仔豬和長勢好的架子豬死亡率較高,母豬的感染也比較嚴重。患病豬及隱性感染豬是重要的傳染源。傳播途徑目前還不十分清楚。豬通過攝食血液或帶血的物質,如舔食斷尾的傷口、互相鬥毆等可以直接傳播。間接傳播可通過活的媒介如疥蟎、虱子、吸血昆蟲(如刺蠅、蚊子、蜱等)傳播。注射針頭的傳播也是不可忽視的因素,因為在注射治療或免疫接種時,同窩的豬往往用一隻針頭注射,有可能造成附紅細胞體人為傳播。附紅細胞體可經交配傳播,也可經胎盤垂直傳播。在所有的感染途徑中,吸血昆蟲的傳播是最重要的。
附紅細胞體病是由多種因素引發的疾病,僅僅通過感染一般不會使在正常管理條件下飼養的健康豬發生急性症狀,應激是導致本病爆發的主要因素。通常情況下只發生於那些抵抗力下降的豬,分娩、過度擁擠、長途運輸、惡劣的天氣、飼養管理不良、更換圈舍或飼料及其它疾病感染時,豬群亦可能爆發此病。
一般認為附紅細胞體病多發生於溫暖的夏季,尤其是高溫高濕天氣。冬季相對較少。最早見於廣東、廣西、上海、浙江、江蘇、福建等地,後來逐漸蔓延至河南、山東、河北、甚至新疆和東北地區。
近年來,我省個別牛場開始發現此病,現摘錄報導如下,望能引起同行對該病危害性的重視。該病原各種牛均能感染,發病從6月末7月初開始,到10月下旬止。但廣東發病無明顯的季節性,四季皆可流行。
症狀
①體溫升至40-41.5 ℃,稽留熱,患牛先流清鼻涕,精神差,食慾下降,呼吸急促。
②嚴重貧血,皮膚及可視黏膜蒼白,黃疸,個別牛有血尿。
③四肢無力,步態不穩,喜臥。
④血常規:白細胞增加,嗜中性細胞增加,紅細胞數下降(1 90-600 萬個/立方毫米),血小板減少到10萬個/立方毫米,血色素平均為52%,有個別病例發現白細胞減少,原因未明。
病理變化
①皮膚蒼白,血液稀薄,凝固不良,皮下有大小不等出血點和出血斑。腹腔、胸腔積水,淋巴結腫大,切面多汁。
②肝、脾腫大1-2倍,表面有出血點,質脆,有的脾組織出現壞死灶,膽囊腫大,膽汁濃稠。
③心肌擴張,質軟,心間質水腫,心外膜、心冠脂肪出血和黃染。肺出現代償性肺氣腫。
④腎臟腫大變性,腎積水。
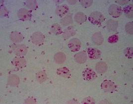
⑤胃腸黏膜局部出血,水腫。診斷本病以臨床症狀、流行特點可初診,但應與其他血原蟲相區別,確診需進行血液學檢查。方法:取靜脈鮮血一滴,加等量生理鹽水,稀釋後,高倍光學顯微鏡下觀察,如發現有圓形、橢圓形或星形綠包閃光形小體在血漿、紅細胞旁作扭轉運動,或發現紅細胞邊緣不整,並有星光閃亮,即可確診。
治療
①貝尼爾2毫克/公斤體重,深部肌注,每日一次,連用2次。
②尼可蘇100-200 克/頭,每日一次,連用3-5天。
③口服金黴素與土黴素。
④新砷礬納明劑量為60-70毫克/公斤體重,一次靜注。
⑤輔助治療,肌注補鐵劑,靜注葡萄維生素C、維生素K及輸血。
預防
①加強消毒,滅蚊、蠅、虱、蜱等吸血昆蟲,加強注射器械與用具清潔、消毒,以免相互感染。
②每年5月份,用貝尼爾預防劑量注射一次,隔10-15 天再注射一次。

