代表種
豇豆花葉病毒(Cowpea mosaic virus)病毒特徵
形態學
病毒粒子為等軸對稱二十面體(T=1),直徑約28nm,無包膜,有60個蛋白結構亞基。病毒純化時分為三種組分,頂部組分(T)為空殼粒子,不含核酸,中部組分(M)含有RN
理化特性
三種組分的相對分子質量分別為3.80×10^6(T),5.15×10^6(M),5.87×10^6(B),標準沉降常數S(20W)=58S(T)、95S(M)、115S(B),在氯化銫中的浮力密度為1.288 g/cm^3(T)、1.395 g/cm^3(M),B組分有1.406 g/cm^3和1.447 g/cm^3兩條密度帶,兩條帶的沉降係數相同。核酸
二分子線形正義ssRNA,RNA 1長5.9~7.2kb,RNA 2長3.5~4.Skb,兩種粒子包裹的核酸分別占病毒粒子重量的25% (M)和36%(B)。蛋白質
外殼蛋白由大小兩個多肽組成,分子質量分別為37kDa和23kDa。碳水化合物
外殼蛋白可能是糖基化的。基因組
二分體基因組,RNA 1和RNA 2由不同的病毒粒子包裹,RNA 1包裹在沉降組分B的粒子中,RNA 2包裹在沉降組分M的粒子中。RNA的3'端為Poly(A),5'端為VPg結
抗原特性
病毒具有強免疫原性。所有屬內病毒在血清學上相互有關,但常常是遠緣的,紅三葉草斑駁病毒和菜豆莢斑駁病毒的外殼蛋白在胺基酸序列上與豇豆花葉病毒有50%的同源性。細胞病理
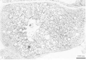
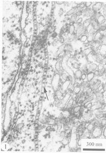
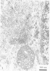
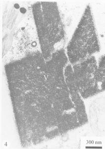
在豇豆花葉病毒侵染的寄主植物細胞內,病毒粒子分散或成群分布在細胞質中,不形成結晶體,在蠶豆雜色病毒感染的細胞記憶體在結晶狀排列的病毒粒子,而蠶豆真花葉病毒形成膜與粒子夾心狀排列。在細胞質中存在較大的囊泡狀內含體,經特殊染色後在光鏡下也可見,內含體由許多膜性小泡組成,常呈迷宮般的網狀,占據細胞質的大部分,許多小泡內含有細絲狀物質,經酶細胞化學證明是dsRNA,小泡結構可能是病毒RNA的複製場所。很多情況下內含體中還分布有小塊的電子緻密無定形物質及散布的病毒粒子,在內含體的外圍分布著線粒體、葉綠體等,但病毒粒子不與細胞器結合。還發現病毒粒子處在小管中,小管可與胞間連絲相接,細胞壁產生異常外凸,這些結構可能與病毒的胞間轉移有關。![]() | ![]() | ![]() |
感染蘿蔔花葉病毒的寄主植物葉肉細胞內膜結構增生,產生大量病理性囊泡結構。 | 感染蘿蔔花葉病毒的寄主細胞,示散布於細胞質中和排列在管狀結構內(箭頭)的病毒粒子。 | 處於胞間連絲中的蘿蔔花葉病毒粒子。 |
![]() | ![]() | CW,細胞壁;M,線粒體;N,細胞核;V,病毒粒子。 |
感染蠶豆雜色病毒的蠶豆葉片細胞,示細胞質中的病毒粒子聚集體。 | 感染菜豆粗縮花葉病毒的菜豆葉片細胞,示大片病毒粒子結晶體。 |
生物學
寄主範圍
單個病毒的寄主範圍窄,15種已知病毒中有11種僅限於少數豆科植物,花葉和斑駁是症狀特徵,通常不產生環斑。傳播
自然界惟一介體是甲蟲,尤其是金花蟲科的一些種,甲蟲保毒能力達數日至數周。有些可經種子傳播,種傳率為1%--5%,易機械摩擦接種傳毒。地理分布
奈及利亞、肯亞、蘇利南、古巴、美國等。分類
該屬有15個種,代表種是豇豆花葉病毒。中國已報導豇豆花葉病毒、蠶豆真花葉病毒、蠶豆雜色病毒、南瓜花葉病毒等。編號 | 中文名 | 學名 | 國際基因庫登錄號碼 |
1 | 安第斯馬鈴薯斑駁病毒 | Andean potato mottle virus(APMoV) | [L16239] |
2 | 菜豆莢斑駁病毒 | Bean pod mottle virus(BPMV) | [M62738] |
3 | 菜豆粗縮花葉病毒 | Bean rugose mosaic virus(BRMV) | - |
4 | 蠶豆雜色病毒 | Broad bean stain virus(BBSV) | - |
5 | 蠶豆真花葉病毒 | Broad bean true mosaic virus(BBTMV) | - |
6 | 豇豆花葉病毒 | Cowpea mosaic virus(CPMV) | [X00206,X00729] |
7 | 豇豆重型花葉病毒 | Cowpea severe mosaic virus(CPSMV) | [M83830,M83309] |
8 | 大豆屬花葉病毒 | Glycine mosaic virus(GMV) | - |
9 | 豌豆綠色斑駁病毒 | Pea green mottle virus(PGMV) | - |
10 | 豌豆輕型花葉病毒 | Pea mild mosaic virus(PMiMV) | - |
11 | 鶉豌豆花葉病毒 | Quail pea mosaic virus(QPMV) | - |
12 | 蘿蔔花葉病毒 | Radish mosaic virus(RaMV) | - |
13 | 紅三葉草斑駁病毒 | Red clover mottle virus(RCMV) | [M14193,X64886] |
14 | 南瓜花葉病毒 | Squash mosaic virus(SqMV) | [AF059532] |
15 | 塊根落葵C病毒 | Ullucus virus C(UVC) | - |





