概述
蒼白球黑質紅核色素變性蒼白球黑質紅核色素變性也稱Hallervorden-Spatz病為兒童晚期和青少年期遺傳代謝性疾病。主要累及錐體外系統,也是罕見的與鐵元素代謝障礙有關神經變性病,國內已有少數屍檢的報導本病由Hallervorden和Spatz(1922)首先報導,本病為常染色體隱性遺傳由於鐵鹽沉積於雙側蒼白球黑質網狀部或甚至紅核,導致神經變性伴有神經元脫失和膠質化主要臨床表現為兒童和青少年中緩慢進展的強直、少動、肌張力障礙錐體束征痴呆及色素性視網膜炎,並可有視盤萎縮。
病因
蒼白球黑質紅核色素變性發病機制:
發病機制尚不清楚。無明確的特異性生化異常雙側基底核鐵沉積但不伴有血清鐵含量異常或鐵代謝紊亂,腦脊液、血清及身體其他組織鐵含量正常鐵蛋白轉鐵蛋白濃度正常,提示可能
蒼白球黑質紅核色素變性神經病理有特徵性改變:蒼白球、黑質(特別健康搜尋是前部分)和紅核有深棕色色素沉著;顆粒狀和不定形的鐵、鈣混合沉積物附著在小血管壁上或游離於組織中;大多數受累組織神經細胞變性並大量消失神經纖維脫髓鞘樣改變,神經突觸變性,神經膠質細胞輕度增生,腦幹神經細胞及小腦齒狀核細胞亦可累及;有時可發現黑質記憶體在神經元纖維纏結及Lewy體,另一個特點是有腫脹的軸突片斷存在,這與神經軸突營養不良的病理改變相似為此
蒼白球黑質紅核色素變性臨床表現
1.分型可分為兒童型和成人型,兒童型多見。
兒童型多於6~12歲起病。Dooling等(1974)複習了本病有屍解的病例中的臨床材料57%(24例)在10歲前發病81%(34例)在15歲之前發病,僅7%(3例)在22歲後發病,半數病例有家族史病程10年左右多數在20~30歲死於併發症。
成人型又稱為晚髮型在55歲左右發病個別在30歲後發病。常有家族史類似於帕金森病表現強直少動,靜止性震顫易跌倒發音緩慢,聲音低沉小步美多巴治療效果不明顯。少數患者怕光、吞咽不便大小便失禁智慧型減退,甚至痴呆。病程多達10餘年起病後10~20年仍能行走。
蒼白球黑質紅核色素變性3.文獻也有原發性視神經萎縮的少數病例報導部分患者可有精神症狀多數患者出現智力下降及衰退,以及共濟失調、癇性發作等。部分患者家族中可有手足徐動症震顫麻痹或肌張力障礙的病人。
併發症:可合併有原發性視神經萎縮、精神症狀、智力下降及衰退、共濟失調、癇性發作等。
診斷
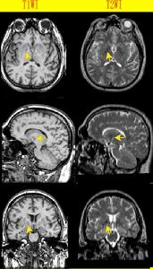
根據青少年期出現進行性錐體外系症狀肌張力障礙肌強直和雙下肢痙攣性癱等MRI檢查T2WI顯示典型“虎眼征”,可以診斷本病,陽性家族、骨髓巨噬細胞中或周圍血淋巴細胞中分辨到海藍色組織細胞或59Fe標記的鐵鹽的SPECT顯像在雙側基底核區有放射性聚積及消失緩慢,則可證實本病
鑑別診斷
須與可引起錐體外系症狀的變性病和代謝性疾病鑑別。
1.青少年型震顫麻痹(juvenileparalysisagitans)RamsayHunt(1917)報導本病特徵與成人型帕金森病相似,大多數病人散發VanBogaert曾報導家族型病例屍檢發現豆狀核萎縮和黑質蒼白球細胞缺失表現精神症狀不明顯進展緩慢,起病10~20年仍能行走,可資鑑別。
2.Chediak-Higashi病出現神經系統症狀時近一半病人表現智慧型發育障礙癇性發作小腦性共濟失調及帕金森綜合徵等,慢性多發性神經病是主要表現。
3.早髮型Huntington舞蹈病5~14歲或早至1~4歲發病有家族史近5%的Huntington舞蹈病是青少年型出現智慧型發育遲滯,言語緩慢肢體肌強直、小步態、肢體和軀幹屈曲性張力增高等,可出現舞蹈-手足徐動症偶有Babinski征。有些青少年型病人無肌強直,癇性發作成年型多見可出現行為異常違拗症和姿勢緊張,以及肌陣攣和小腦性共濟失調等最終病人言語不能張口、肢體屈曲手握拳狀和軀幹扭轉狀態等。
4.去髓鞘狀態)是Vogt提出的尚不確定的疾病,豆狀核有髓纖維和神經細胞消失表現錐體外系肌強直逐漸出現手足徐動症最終肢體無力或痙攣導致屈曲畸形,常誤診帕金森病。。
5.Lafora體病(Lafora-boby)可出現肌強直肌震攣運動不能和震顫可有癇性發作和痴呆等。
6.Leigh病臨床少見在兒童後期或成年時逐漸出現錐體外系肌強直CT顯示殼核空洞形成。
7.本病尚需與肝豆狀核變性重金屬中毒腦炎後遺症,以及Segawa型左鏇多巴反應性肌張力障礙(齒狀核紅核蒼白球路易體萎縮等鑑別,神經系統症狀均類似Wilson病,但無肝臟受累或銅代謝障礙證據。本組疾病很多都有肌痙攣及錐體外系體徵如舞蹈-手足徐動、肌張力障礙等需綜合臨床和輔助檢查資料加以鑑別。
檢查
實驗室檢查:血液尿液及腦脊液檢查均無異常發現,尚無特異性生化實驗證實本病。
其它輔助檢查:
蒼白球黑質紅核色素變性2.MRI檢查T2WI示雙蒼白球外側低信號內側有小的高信號稱為“虎眼征”(eyeofthetiger)。
3.骨髓巨噬細胞和周圍血淋巴細胞的Giemsa-Wright染色中可找到海藍色組織細胞(seabluehistiocytes)這種細胞在340nm波長的顯微鏡下,見光中有PAS陽性的螢光物質,有診斷意義。
4.靜脈注射59Fe標記的鐵鹽(枸櫞酸亞鐵)SPECT顯像示基底基區聚集增加,比正常人消退延遲,這也有診斷參考價值。
治療
本病尚無特效療法主要是對症治療表現肌張力增高和運動遲緩的Parkinson綜合徵,用左鏇多巴(L-dopa)可暫時緩解症狀;舞蹈-手足徐動症可選用苯二氮類;抗抑鬱藥可改善患者情緒;癇性發作可用抗癲癇藥;神經營養藥療效不明顯,螯合劑對驅除基底核鐵沉積無效。
Ingold等(1987)Packer等(1990)報導進食富含維生素E的食物和試用大劑量維生素E治療,400mg/d以及單胺氧化酶-β抑制劑(L-Deprenyl5mg口服,2次/d),但效果不明顯。
對症治療還可試用茴拉西坦(三樂喜)多奈哌齊(安理申)等藥物改善智慧型。利奧來素和維庫溴銨(妙納)等可改善強直和肌張力障礙。晚期患者留置鼻飼管或胃造瘺。
預後
兒童型病程10年左右,多數在20~30歲死於併發症,成人型病程也可多達10餘年,起病後10~20年仍能行走。預防
蒼白球黑質紅核色素變性是一種神經變性疾病,有遺傳背景預防措施包括避免近親結婚,推行遺傳諮詢攜帶者基因檢測及產前診斷和選擇性人工流產等,防止患兒出生。
早期診斷早期治療、加強臨床護理對改善患者的生活質量有重要意義。
併發症
可合併有原發性視神經萎縮、精神症狀、智力下降及衰退、共濟失調、癇性發作等。
飲食
陰虛火旺之玻璃體出血者,可服用生地飲。
配方:鮮生地250克,三七粉10克。將鮮生地洗淨後搗如泥,榨取汁,加入三七粉,和勻頓服。每日1次,連服7~10天。.
輔助治療陳舊性玻璃體出血,可服用雙耳湯。
配方:黑木耳、白木耳各10克,冰糖5克。以溫水將木耳泡發並洗淨,加水及冰糖,在碗中蒸1小時。每日2次,吃木耳湯。
用於病後失明,眼目受傷,視力減退,可外用三膽汁。
配方:羊膽1個,雞膽3個,鯉魚膽2個。刺破取膽汁,調和均勻。每日點眼。
四物湯加味,此方治療玻璃體出血效果較好。
生地12克,生白勺6克,當歸9克,川芎3克,炒蒲黃9克,藕節9克,龍牙草9克、鉤藤6克,同時加用維生素C、K,乳酸鈣片、安特諾新等。
飲食要求:
1、要有足夠的維生素。維生素A是眼部必不可少的一種營養素;維生素C、維生素E能破壞自由基,提高眼部免疫機能,防止視力下降;B族維生素可促進眼內細胞的新陳代謝,對眼疾患者很有幫助。像動物肝臟、蛋類、乾豆類、肉類、蘑菇、新鮮蔬菜和水果中都含有大量的維生素,應多吃。
2、多吃些海鮮類、未精製的穀物類、魚類食物。這些食物對眼睛很有幫助,因為它們當中多含鋅、硒等礦物質,能夠緩解眼部疲勞,防止視力下降。
3、少喝含咖啡因的飲料,菸酒最好不要沾染,以免造成視力模糊,加重眼病。
4、飲食宜清淡,少食辛辣刺激性食物。
5、飲食上宜多配些能補肝益腎,補氣養血的食譜。
