病因
長期負重:
長期姿勢不良,負重用力,體重過重,導致膝關節軟組織損傷。體重的增加和膝骨性關節炎的發病成正比。肥胖亦病情加重的因素。肥胖者的體重下降則可以減少膝骨關節炎的發病。
慢性勞損:
經常的膝關節損傷,如骨折、軟骨、韌帶的損傷。異常狀態下的關節,如在髕骨切除術後環節處於不穩定狀態時,當關節承受肌力不平衡並加上局部壓力,就會出現軟骨的退行性變。當軟骨下骨小梁變薄、變僵硬時,其承受壓力的耐受性就減少,因此,在骨質疏鬆者出現骨性關節炎的幾率就增多。
遺傳因素:
膝關節骨性關節炎不同種族的關節受累情況是各不相同的,如髖關節、腕掌關節的骨性關節炎在白種人多見,但有色人種及國人中少見,性別亦有影響,本病在女性較多見。
臨床表現
1.發病緩慢,多見於中老年肥胖女性,往往有勞累史。
2.膝關節活動時疼痛加重,其特點是初起疼痛為陣發性,後為持續性,勞累及夜間更甚,上下樓梯疼痛明顯。
3.膝關節活動受限,甚則跛行。極少數患者可出現交鎖現象或膝關節積液。
4.關節活動時可有彈響、磨擦音,部分患者關節腫脹,日久可見關節畸形。
5.膝關節痛是本病患者就醫常見的主訴。其早期症狀為上下樓梯時的疼痛,尤其是下樓時為甚,呈單側或雙側交替出現,是出現關節腫大,多因骨性肥大 造成,也可關節腔積液。出現滑膜肥厚的很少見。嚴重者出現膝內翻畸形。
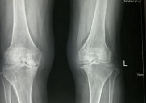
檢查
浮髕試驗、髖膝屈曲試驗、膝關節分離試驗、四肢的骨和關節平片、四肢與關節運動功能。
四肢的骨和關節平片介紹:四肢的骨和關節平片是對四肢及相關關節進行拍片,用於確認骨折後骨狀況。
膝關節分離試驗介紹:膝關節分離試驗是對內側副韌帶進行檢查,診斷是否有鬆弛或斷裂的情況出現。
診斷
1.反覆勞損或創傷史。
2.膝關節疼痛和發僵,早晨起床時較明顯,活動後減輕,活動多時又加重,休息後症狀緩解。
3.後期疼痛持續,關節活動明顯受限,股四頭肌萎縮,關節積液,甚至出現畸形和關節內游離體。
4.膝關節屈伸活動時可捫及摩擦音。
5.膝關節正、側位X照片,顯示髕骨、股骨髁、脛骨平台關節緣呈唇樣骨質增生,脛骨髁間隆突變尖,關節間隙變窄,軟骨下骨質緻密,有時可見關節內游離體。
併發症
膝關節骨性關節炎的併發症
關節腫脹,日久可見關節畸形,骨質增生
治療
一、常規療法
1.非手術治療(保守療法)包括理療、藥物、注射療法和中醫中藥治療等。2.手術治療 (1).膝關節鏡下探查並清理術 此術是用於診斷治療膝關節疾病比較安全實用的新技術,使患者痛苦小、併發症少,具有恢復快,療效顯著等特點。(2).膝關節置換 人工膝關節置換術是通過手術將病損的膝關節部分或全部由人工製造的關節部件所代替,是將已磨損破壞的關節面切除,如同裝牙套一般,植入人工關節,使其恢復正常平滑的關節面。
二,中藥外敷療法
中醫對於關節炎病理病機的認識已經有幾千年之久,治療經驗豐富,“關節炎祛風康貼”充分吸取歷代中醫大家用藥之經驗,針對關節炎外在病邪、內在體虛同時治療,以取得標本兼治之效果。腎主骨,肝主筋,關節炎發病之根源因素在於肝腎虧虛,臟腑功能失調。關節炎祛風康貼運用一系列具有補益功效、扶正固本的中藥材通過中藥歸經理論可實現調理機體陰陽平衡、調養肝腎功能等效果,補益機體正氣,改善體質,因而能夠從根本上解除病機。
三,物理療法
針灸及推拿對減輕關節炎症狀也有一定療效,可以同時使用
四,飲食療法
膝關節骨性關節炎飲食上一定要注意,蔬菜中藕的抗氧化能力最強,其次是姜、油菜、豇豆、芋頭、大蒜、豆角、花椰菜等;水果中抗氧化能力以山楂最高,還有番石榴、獼猴桃、桑葚、草莓、蘆柑、橙子、檸檬等,而且這些水果的抗氧化能力比上述蔬菜的還要高,所以建議骨關節炎患者在日常生活中可以較多地選擇食用。
五,根治膝關節骨性關節炎的最新方法
骨形態蛋白植入 膝關節骨性關節炎主要是因為退變、勞損、外傷、內分泌等所引起的骨刺剝脫和半月板的退變,其中骨節軟骨的剝脫是造成關節增生、功能障礙的主要原因,並且軟骨無法再生,歐美西方已開發國家認為軟骨剝脫只要超過1*1cm就必須進行關節置換才能治,但是關節置換伴有下肢血栓和肺栓塞的可能,有近5%的感染率和5-10萬元左右的高昂費用。目前國內有20%的老年人遭受此病的煎熬,由於國情和經濟差的原因只有0.1%的膝關節退變的病人可行關節置換,剩餘的病人因病致殘,只是生活質量嚴重下降。有洪強醫療集團首創的骨形態蛋白植入治療膝關節骨性關節炎,從根本上解決了軟骨不能再生的問題。約80%需要關節置換的病人,利用此種方法,可以避免手術,在關節鏡的微創介入下半小時即可治癒,是目前根治膝關節較先進的方法。輕中度膝關節病患者可以選擇保守療法來進行治療,避免置換人工關節出現的不良反應,可以選擇以太白山草藥為首的太乙山黑膏來進行局部治療,針對膝關節退行性病變、骨質增生、滑膜炎、半月板磨損、髕骨軟化等膝關節病有特殊療效,是目前根據膝關節病因研究的最具針對性的中藥。
自我預防
1、儘量避免身體肥胖,防止加重膝關節的負擔,一旦身體超重,就要積極減肥,控制體重。
2、注意走路和勞動的姿勢,不要扭著身體走路和幹活。避免長時間下蹲,因為下蹲時膝關節的負重是自身體重的3~6倍,工作時下蹲(如汽車修理工、翻砂工)最好改為低坐位(坐小板凳),長時間坐著和站著,也要經常變換姿勢,防止膝關節固定一種姿勢而用力過大。
3、走遠路時不要穿高跟鞋,要穿厚底而有彈性的軟底鞋,以減少膝關節所受的衝擊力,避免膝關節發生磨損。 4、參加體育鍛鍊時要做好準備活動,輕緩地舒展膝關節,讓膝關節充分活動開以後再參加劇烈運動。練壓腿時,不要猛然把腿抬得過高,防止過度牽拉膝關節。練太極時,下蹲的位置不要太低,也不要連續打好幾套,以防膝關節負擔過重發生損傷。
5、騎腳踏車時,要調好車座的高度,以坐在車座上兩腳蹬在腳蹬上、兩腿能伸直或稍微彎曲為宜,車座過高、過低或騎車上坡時用力蹬車,對膝關節都有不良的影
6、膝關節遇到寒冷,血管收縮,血液循環變差,往往使疼痛加重,故在天氣寒冷時應注意保暖,必要時戴上護膝,防止膝關節受涼。
7、有膝關節骨性關節炎的人,儘量少上下樓梯、少登山、少久站、少提重物,避免膝關節的負荷過大而加重病情,治療可採用中藥,如新加坡進口的馬泰舒具有較好的療效。
8、有膝骨關節病的人,既要避免膝關節過度疲勞,又要進行適當的功能鍛鍊,以增加膝關節的穩定性,防止腿部的肌肉萎縮,這不僅能緩解關節疼痛,還能防止病情進展,不要認為只有休息不活動,才能保護好患病的膝關節。據研究,有膝關節炎的人,游泳和散步是最好的運動,既不增加膝關節的負重能力,又能讓膝關節四周的肌肉和韌帶得到鍛鍊。其次,仰臥起坐、伏地挺身、橋形拱身以及仰臥床上把兩退抬起放下的反覆練習、模仿蹬腳踏車,都是病人最好的運動。
9、在飲食方面,應多吃含蛋白質、鈣質、膠原蛋白、異黃酮的食物,如牛奶、奶製品、大豆、豆製品、雞蛋、魚蝦、海帶、黑木耳、雞爪、豬蹄、羊腿、牛蹄筋等,這些既能補充蛋白質、鈣質,防止骨質疏鬆,又能生長軟骨及關節的潤滑液,還能補充雌激素,使骨骼、關節更好地進行鈣質的代謝,減輕關節炎的症狀。

