概述
腳氣腳氣是足癬的俗名。有人把“腳氣”和“腳氣病”混為一談,這是不對的。醫學上的“腳氣病”是因維生素B缺乏引起的全身性疾病,而“腳氣”則是由真菌(又稱毒菌)感染所引起的一種常見皮膚病。洗腳盆及擦腳毛巾應分別使用以免傳染他人。足癬如不及時治療,有時可蔓延至其它部位,如引起手癬和甲癬等,有時因為癢被抓破,繼發細菌感染,會引起嚴重的併發症。
中醫上稱腳氣為“腳弱”。 《備急千金要方》卷二十二《風毒腳氣方》 :“然此病發,初得先從腳起,因即脛腫,時人號為腳氣。深師云:腳弱者,即其義也”。
腳氣的概念
腳氣腳氣是足癬的俗名,也稱“香港腳”。足癬(tineamanus)為足跖部腳氣(8張)、趾間的皮膚癬菌感染,可延及到足跟及足背,但發生於足背者屬體癬。紅色毛癬菌為足癬的主要致病菌。
“腳氣”一說,古已有之,卻非今人所謂之“腳癬”。唐孫思邈著《備急千金要方》云:“此病發,初得先從腳起,因即脛腫,時人號為腳氣。”有人為此病所困,著述名為《腳氣集》。這大概是一種風濕性疾病。後來古人之“腳氣”越來越少見,但病名影響甚廣,就張冠李戴地把“腳癬”稱作腳氣了。
國學大師季羨林在《牛棚雜記》中寫到腳氣患者:“生物系有一個學生,大名叫張國祥,他到了大院以後,立即表現出鶴立雞群之勢。有幾天晚上,在晚間訓話之後,甚至在十點鐘規定的‘犯人’就寢之後,院子裡大榆樹下面,燈光依然很輝煌,這一位張老爺,坐在一把椅子上,抬起右腿,把腳放到椅子上,用手在腳指頭縫裡摳個不停。”腳氣之癢,劇於蚊叮蟲咬,半夜癢不能寐大撓特撓,亦不罕見。
腳氣乃是常見病,南方氣候濕熱本多瘴癘,腳氣亦高發,香港腳之名可謂事出有因。北方腳氣不如南方,卻也有一半民眾罹患該病。曾有調查令人咋舌:四成皮膚科大夫患有腳氣。
腳氣的危害不僅是瘙癢、脫皮、起皰、真菌傳播,還會引起手癬和灰指甲。更嚴重的是,搔抓會導致局部細菌感染,可發展成淋巴管炎、蜂窩組織炎及丹毒,可謂後患無窮。
用“野火燒不盡,春風吹又生”來形容腳氣毫不誇張,很多人“腳氣年年治,腳氣歲歲發”。腳氣是不是沒辦法根治?專家認為是“斬草不除根”造成的。
腳氣與腳氣病的區別
有的人把“腳氣”和“腳氣病”混為一談,這是不對的。醫學上的“腳氣病”是因維生素B缺乏引起,而“腳氣”則是由真菌(又稱黴菌)感染所引起的一種常見皮膚病。
腳氣與腳臭的區別
也有人把腳臭認為是腳氣,這也是不對的。在多汗條件下,腳上的細菌大量繁殖並分解角質蛋白,再加上汗液中的尿素、乳酸,產生腳臭。腳臭和腳氣,沒有必然聯繫,主要判斷依據是鏡檢有無真菌,鏡檢呈陽性者為腳氣。
中藥噴劑方法
中藥噴劑是指通過對中藥的有效成份的提取和濃縮,直接噴到腳氣患處,直達真菌感染處,快速殺死真菌。
中藥泡腳方法
首先泡腳是很有講究的,既然是泡腳,要體現一個泡字,泡腳盆的選擇要求:深度要夠、熱量要足、材質安全、功能全面、使用方便。中華養生協會推薦日常居家常用:磁療泡腳盆。屬醫療用品領域,國家專利品牌,解決了現有泡腳盆結構複雜、成本高、永磁體位置不當的問題。由水盆、永磁體組成,關鍵是水盆底部有兩個大小形狀與腳掌相似的凸台,每個腳形凸台中部有一圓形凸起,多粒永磁體嵌入其中,水盆深度超過160毫米。注入40-50度的熱水,以刺激腳部的反射區,促進人體血液循環,調理內分泌系統,增強人體器官機能,取得防病治病的保健效果。同時熱水刺激會使足部微循環加快,毛孔開放,在這個基礎上磁療泡腳盆的磁力線很容易穿透,作用於腳部的重要穴位和臟器投射區,調節全身的臟腑功能。
一、用醋水泡腳:(米醋或老陳醋100-150克)
1.可解決腳臭問題,用醋泡腳可以殺滅細菌,在一定程度上可以治療腳氣;
2.可以緩解疲勞;
3.可以滋潤皮膚,軟化角質,增加皮膚彈性;
4.能祛除風濕,改善畏寒怕冷的症狀;
5.治療睡眠障礙;
二、藥粉泡腳
外用,取一小包藥粉加沸水1000-1200毫升,並滴入5ml中藥油,攪拌,溶解。待溫度適中,用藥液泡洗患足15-25分鐘,每日1次。如足部特別乾裂者,可於淨腳後取適量中藥油塗抹乾裂處,按摩至吸收。
三、用鹽水泡腳:
1.能防腳氣;
2.使雙腳光滑整潔;
3.在泡的時候一邊按摩足心的湧泉穴,還可以助眠抗衰;
4.能預防感冒。
注意:有傷口的時候不能用這個配方!“不要往傷口處撒鹽”
四、用姜泡腳:
1.防治下肢靜脈曲張;
2.姜+醋一起泡可以治失眠;
3.生薑100g+陳皮20g+薄荷30g,可以暖脾胃、去濕、解困。
五、加酒:
1.能促進血液循環;
2.酒+茶葉/葛根可以除腳臭;
3.泡15分鐘後,取少許紅花油搓揉腳背腳心至發熱,可以緩解疲勞。
成分:大楓子肉9g煙膏9g花椒9g五加皮9g皂莢l條地骨皮9g龍衣1條明礬12g鮮鳳仙花9g米醋500—750g將上藥均浸入米醋內1晝夜
功用:疏通氣血,殺蟲止癢。用於鵝掌風、灰指甲。
用法:上藥與醋放在砂鍋內先浸1夜,次日煮沸待溫.用塑膠袋1隻,將藥汁傾入,患手伸入袋中,扎住,浸6~12小時或每天浸1—2小時左右,每日1—2次.連續7天。
成分:米醋1000ml,花椒250g
功用:疏通氣血,殺蟲止癢
用法:煎水趁熱浸泡患手,每日2小時,連浸7天。
成分:皂角刺30g,食醋250g
功用:止癢殺菌
用法:二味藥用水浸泡24小時後,再浸泡患手,每日1次,每次30分鐘,連用7天,或者是簡單點直接塗足.淨.膏
成分:薏米60g,甘草15g
功用:殺蟲止癢
用法:水煎濃汁,趁熱洗患處,每日數次。
成分:艾葉、側柏葉各適量
功用:止癢殺菌
用法:煎水熏洗患手,每日3次。成分:透骨草15g,花椒、白芷各10g,豆漿水500ml
功用:殺菌止癢,適用於鵝掌風手癬。
用法:混合煎熬,熏洗患處,每日2次。成分:五加皮、地骨皮各12g,蛇蛻1條,皂角3個,
功用:疏通氣血,殺蟲止癢
用法:加水2000ml,煎至1000ml,待溫度降至適宜時,燙洗患手,每次20分鐘,早晚各一次。
乾腳氣
病名。腳氣病之一,指腳氣之足膝不腫者。見《太平聖惠方》卷四十五。因素體陰虛內熱,濕熱、風毒之邪從熱化,傷及營血,筋脈失養,證見足脛無力,麻木酸痛,攣急,腳不腫而日見枯瘦,飲食減少,小便熱赤,舌紅,脈弦數等。治宜宣壅化溫,和營清熱。
類型
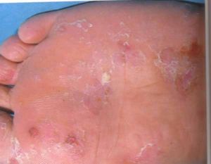
腳氣1、糜爛型:好發於第三與第四,第四與第五趾間。初起趾間潮濕,浸漬發白或起小水皰,乾涸脫屑後,剝去皮屑為濕潤、潮紅的糜爛面,有奇癢,易繼發感染。
2、水皰型:好發於足緣部。初起為壁厚飽滿的小水皰,有的可融合成大皰,皰液透明,周圍無紅暈。自覺奇癢,搔抓後常因繼發感染而引起丹毒、淋巴管炎等。
3、角化型:好發於足跟。主要表現為皮膚粗厚而乾燥,角化脫屑、搔癢,易發生皸裂。本型無水皰及化膿,病程緩慢,多年不愈。
治療措施
1、岩漿灰治療
腳氣使用方法
岩漿灰加熱敷腳部,每日1次,20-30分鐘每次,15-20日愈。2、家庭用藥
(1) 糜爛型:先用1:5000高錳酸鉀溶液或0.1%雷佛奴爾溶液浸泡或用皮康聖液護理液浸泡,然後外塗龍膽紫或腳氣粉,每日2次,待收乾後再外搽腳氣靈或癬根淨,每日2次。
(2) 水皰型:每日用熱水泡腳後外搽一些藥物,如皮康聖液濃縮液。
(3) 角化型:可外用皮康聖液濃縮液或複方苯甲酸膏或與複方水楊酸酒精交替外用,早晚各一次。最好塗藥後用塑膠薄膜包紮,使藥物浸入厚皮,便於厚皮剝脫。
(4) 近年來臨床上套用治療各型腳氣,療效顯著,每晚泡腳一次,3次奏效。具體用法可見說明。
3、中藥及偏方
(1) 枯礬、黃柏、五倍子、烏賊骨,任選一種研末備用,洗淨腳後撒於患處。適用於糜爛型。
(2) 苦參、白蘚皮、馬齒莧、車前草各30克,蒼朮、黃柏各15克,每日煎洗1-2次。對水皰型或有感染時套用有良好效果。
(3) 皂角30克,花椒15克,白鳳仙花30克,任選—種,放入半斤醋內,浸泡一天后,於每晚臨睡前泡腳20分鐘。連續治療7天,對角化型有良效。
(4)外用金苦參白花蛇爽膚洗液塗抹到腳上,一天8次,無需清潔,皮膚可自動吸收。注意事項,勿將藥水食用或者進入眼睛,同時避免兒童接觸。
4、腳氣是一種傳染性皮膚病,應避免搔抓,如不及時治療,有時可其它部位,如引起手癬和甲癬等,有時因為癢被抓破,繼發細菌感染,會引起嚴重的併發症。洗腳盆及擦腳毛巾應分別使用以免傳染他人。
5、用藥治療的同時,對病人穿的鞋襪要進行消毒處理。可用日光曝曬或開水燙洗,最好用布塊蘸10%福馬林液塞入鞋中,裝入塑膠袋封存48小時,以達滅菌目的。
6、“納米中藥滅菌療法”該療法通過先進的儀器檢測,調配合理的中成藥外用藥,可在短期迅速控制真菌的生長,再加上患者的配合,快速從根源上杜絕腳氣反覆發作。全面清除病原真菌及人體血液里游離著的病毒基因片段,修復免疫系統,促使身體自動產生強大的病原真菌免疫抗體,這種終身免疫抗體徹底地斬斷病原真菌在人體的複製,在體內建立綠色隔離屏障,並不斷進行免疫的自我修復,防止灰指甲重生。
7、腳氣最新治療技術
“NAM納米銀離銀子療法”治療腳氣,能迅速將藥物送達病灶,消除足癬致病真菌,殺滅各種皮膚癬菌提高免疫,抑制二次感染,真正實現一次治癒永不復發,“納米銀離銀子療法”突破多年來治療腳氣口服藥、外用藥無法徹底殺滅致病真菌的弱點,真正徹底殺死皮膚癬菌,讓腳氣患者一次治療再不受侵犯!
病因學
本病是由皮膚癬菌(真菌或稱黴菌)所引起的。足部多汗潮濕或鞋襪不通氣等都可誘發本病。皮膚癬菌常通過污染的澡堂、游泳池邊的地板、浴巾、公用拖鞋、洗腳盆而傳染。
預防
注意飲食和衛生避免可樂、穀類、加工食品、糖類食物。應攝取大量的生鮮蔬果、烘魚及烘雞肉(不含皮)。勿食油炸、油膩食物。
同時要注意腳部衛生,將生蒜切成小片,放入鞋內一起穿幾天,這些蒜頭將被皮膚吸收,穿棉製的吸汗襪,讓鞋子透氣,並且每日更換襪子。
愛護你的腳
腳氣會出現皮膚開裂,流膿及間歇性的灼熱感等症狀,這時不要在腳上覆蓋任何東西,並使腳部充分地休息,雖然這種發炎本身不具危險性,但若掉以輕心,則可能惡化並導致細菌感染。
浸泡鹽水溶液
以每47毫升的溫水加2茶匙鹽的比含例泡製鹽水溶液,將腳浸入此混合液中,一次浸5-10分鐘,反覆地做到情況好轉為止。鹽水溶液有助於提供一種不適合黴菌生長的環境,並減少流汗過量。
在患部塗藥
用鹽水浸過後,用買來的藥膏輕輕地塗在感染所涵蓋的部分,每天2-3次,並輕輕地將藥擦入。
注意腳趾甲
腳趾甲是黴菌喜愛的繁殖地,因此至少每2-3天清理一次腳趾甲,刮趾垢時,記得一定要用牙籤或火柴棒等木製品,勿用磨趾甲的金屬片。
正確穿鞋
鞋應透氣、吸汗、否則你就會為黴菌營造一個溫暖、潮濕的生存環境。勿連續兩天都穿同一雙鞋,每雙鞋穿過後,至少需24小時,才能徹底風乾。而且你可以經常讓鞋子曬曬太陽。如果你的腳很容易流汗,則一天應換兩次鞋。
擦乾腳趾,在腳趾間撒些粉
保持足部乾燥。洗澡後,小心地將每一個趾間擦乾,而且要確定毛巾僅用一次,並沒有其他人使用過。沐浴後,先讓足部風乾5-10分鐘,再穿上鞋襪。若要加速風乾,可撐開腳趾間,用吹風機吹乾。然後撒一些爽身粉。如果怕散得四處都是粉,可將粉先散入一個塑膠袋,再將腳伸入袋內均勻沾滿粉。
勿赤腳在公共場所
在有些公共場所例如游泳池畔、更衣室、健身房等,雖然許多人赤腳走動,但最好還是穿上拖鞋,以降低黴菌感染的機會。如果你是容易受此感染的人,那些不論到任何潮濕的場所,你都有機會感染,因此應格外提防。
要保持腳的清潔乾燥,汗腳要治療。勤換鞋襪,趾縫緊密的人可用草紙夾在中間,以吸水通氣。鞋子要通氣良好。
不要用別人的拖鞋、浴巾、擦布等,不要在澡堂、游泳池旁的污水中行走。
公用澡堂、游泳池要做到污水經常處理,用漂白粉或氯亞明消毒,要形成制度,以防相互傳染腳氣。
防鞋櫃傳染腳氣
腳氣因此,專家提醒說,腳氣患者不僅要積極用藥物治療上,平時更要注意清潔鞋襪,還要特別注意的是,鞋櫃也要經常通風、晾曬;如果鞋櫃不能移動,應定期用消毒液擦洗或是放入乾燥劑,祛除潮氣。
清潔鞋櫃的同時,別忘用乾抹布把鞋子擦拭乾淨,並在鞋內塞入一些用香料、茶葉、竹炭做成的除臭包,以消除病菌、異味。
另外,選擇鞋櫃時注意,別挑選向里斜放式的,因為這種設計很不利於清潔,而向外斜放式的鞋櫃,易拿、易清理。
鞋櫃裡存放的鞋,最好以家庭成員,分出不同的鞋區,如男用、女用、兒童用等區域,也可以按常用和不太常用來區分,以避免相互間傳染。
開水煮襪子
許多旅遊回來的朋友腳氣的發病率較高,原因主要是公共物品的交叉傳染,加上外出勞累,抵抗力下降容易誘髮腳氣的發作。外出時要攜帶專用毛巾和拖鞋,平時注意在陽光下晾曬和清潔消毒。
透氣的鞋和棉襪
因為皮革類涼鞋透氣性不好,儘管不完全密封,但皮革與皮膚接觸部位會因為出汗,潮濕而滋生真菌。而一些化纖類絲襪,因為悶氣不通風,給真菌繁衍提供良好的生活環境,而一旦真菌感染,就會在腳趾間反覆出現針頭大小的丘疹及皰疹,瘙癢劇烈,抓撓嚴重還會出現水皰,脫屑甚至糜爛。
質量好的指甲油
醫生經常接診到因為塗抹劣質指甲油,而被真菌侵入而引起甲癬的女性朋友。由於劣質指甲油會損傷甲板,如果已經被真菌感染腳氣就可能因為讓足癬真菌有機可乘,而侵犯甲板或甲下組織,會引起甲癬,也就是灰指甲。
改變不良習慣
夏天淋浴較多,許多朋友僅僅是把腳沖一衝,從來不清洗腳趾縫隙,殊不知腳趾縫隙處易出汗,是真菌生長的理想棲。
注意事項
腳氣2、不要亂用藥。腳氣用藥最關鍵的是應分類型進行連貫正規的治療。有人用膚輕鬆等皮質類固醉藥膏來治療足癬,結果越治越擴展。有人將阿司匹林片壓碎撒在糜爛的足趾問,結果形成一個潰瘍,長期疼痛不愈。有很多人在皮膚形成紅癢斑塊時外用皮炎平軟膏是一個誤區,皮炎平軟膏中有大量的激素成分,而這正好是真菌的營養劑,所以在肯定是癬的情況下搽皮炎平,只會越搽越厲害。
3、用藥要根據病變的具體情況。破潰處不能用酊劑,皮膚變厚,裂口該用軟膏。破爛出水時應該到醫院,由醫生按照具體情況進行適當的治療。
4、足癬發生繼發感染時,局部出現急性炎症。就不能按一般足癬治療,應該先處理繼發感染。如有紅腫,局部可外用硼酸水或咬喃西林液冷溫敷可消炎消腫,必要時還要全身投用抗生素,並按照醫生囑咐適當休息。
腳氣患者的禁忌
一、忌鹼性
保持足部清潔乾燥是預防腳氣發生的前提。為此,要養成常洗腳的習慣,但洗腳時要忌用鹼性肥皂等刺激性的化學用品。趾縫緊密的人可用衛生紙夾在中間,以吸水通氣,保持清潔。
二、忌辛辣
要忌食辣椒、生蔥、生蒜等容易引發出汗的食品。
三、忌共用洗涮用品
忌和患有真菌感染疾病的人頻繁接觸或共用毛巾、鞋襪及洗臉、洗腳盆等物品,以免感染足癬。
四、忌亂用土法治療
有些人往往用道聽途說的土法亂治腳氣,有時雖能起到止癢的效果,但絕對去不了根。而且有些土法由於刺激性較大,還會造成過敏反應。因此,出現腳氣症狀,應該儘早接受治療。
治腳氣誤區
誤區一:腳氣“無傷大雅”
腳氣反反覆覆,時好時壞,因此被很多人誤以為不能根治。正是一些患者認為腳氣是個小病而不加以重視,才導致腳氣終年不愈,反覆發作。專家指出,腳氣絕不是人們所想的那樣,隨便應付一下就行了,一旦惡化,也會帶來巨大的痛苦。腳氣問題不是一兩天就可以解決的,專家表示,腳氣患者的治療時間通常應該進行4周,每天堅持用抗真菌藥,目的就是殺死真菌。有的患者足部真菌停留在表面,但也有不少患者的足部真菌感染很深,對於後情況,只有堅持用藥才會殺死潛伏在皮膚深處的真菌。腳氣並非不可治,只是在治療期間需要耐心,即便是症狀消失了,患者應當繼續用藥一周加以鞏固。
誤區二:最多是腳“遭殃”
腳氣引發手蘚腳氣的問題只會停留在足部嗎?答案是否定的,它還可能引發灰指甲等其他皮膚病。這兩種病都是由真菌入侵引起,腳氣是真菌侵入腳部表層皮膚所致,灰指甲患者常常是先患有腳氣,足部真菌被帶到手部,首先侵入指甲周圍的皮膚,然後通過指甲或趾甲的生長演變,逐漸侵入指甲內,形成灰指甲,並進一步生長和繁殖,直到破壞整個指甲。灰指甲與腳氣是可以互相傳染的,既可自身傳染,也可由他人傳染,無論自己或家人有腳氣或由真菌引起的其它皮膚癬,都可能引起灰指甲,然而如果防治得當,腳氣患者是可以避免患上灰指甲的。
誤區三:腳氣是一種遺傳病
一家人都患有腳氣,那是否說明腳氣是會遺傳的呢?這種說法是未經證實的。對此,專家表示,我們必須要考慮到腳氣的傳播方式。在適宜溫度和濕度的條件下,腳氣可以通過毛巾、鞋襪的共用傳染。孩子穿了患有腳氣的父母的鞋,或者共用毛巾,是很可能患上腳氣的。雖然腳氣在家庭中有集聚現象,但目前尚沒有腳氣是遺傳病的證據。此外,公眾對腳氣的認識還存在著其他的誤區,比如將腳氣、腳臭和濕疹混為一談,認為腳氣患者唯一的治療手段就是使用外用藥,而不能內服治療等。專家提醒,最好的解決途徑還是及時就醫,對症下藥。
腳氣會引發哪些併發症
足癬如不及時治療,有時可傳染至其它部位,如引起手癬和甲癬等,有時因為癢被抓破,繼發細菌感染,會引起嚴重的併發症。
1、合併症有身體合併有身體其餘部位皮膚癬菌感染。由於長期患足癬或者因手搔抓後的自體接種,足癬患者可合併有甲癬、手癬、體股癬等。合併甲癬時,甲板渾濁,不透明,呈雲霧狀、污漬狀,表面失去光澤。
2、足癬合併細菌感染。此時局部分泌物增多,並且可出現淡黃色膿性分泌物。感染部位紅、腫、熱、痛。如果沒有及時適當抗炎治療,則可能會出現淋巴管炎、丹毒及蜂窩織炎等。
(1)急性淋巴管炎。俗稱紅線,中醫為“紅線疹”,紅是因為化膿菌從破損的皮膚侵入淋巴管而引起的急性炎症。
(2)丹毒。丹毒是一種比較嚴重的急性炎症。小腿部位的丹毒又稱為“流火”。它是由於乙型溶血性鏈球菌經損傷的皮膚侵入中型或細小淋巴管、引起的皮膚及皮下組織內的淋巴管及其周圍軟組織的急性炎症。
(3)蜂窩組織炎。中醫稱瘭疽,一般為繼發鏈球菌感染而引起。也可指由葡萄球菌、大腸桿菌等引起的疏鬆結締組織的急性瀰漫性化膿性炎症。這種病變可發生在皮膚較淺的部位,也可發生在筋膜下或肌肉間的較深部位。
3、癬菌疹。是指皮膚癬菌及其代謝產物通過血液循環在病灶外引起的全身性或局限性皮膚過敏反應。癬菌疹的發生與局部癬病炎症程度有密切關係。局部炎症越明顯,發生癬菌疹的可能性越大。
(1)汗皰疹型。發病急,在手指兩側、手掌或足跖等處發生綠豆大小的厚壁水皰,水皰內充滿漿液,可分散、或集簇。
(2)丹毒樣型。皮損為丹毒樣紅斑,一般不硬,邊緣鮮明,比較規則,不痛或稍有痛感,無淋巴管炎。一般無全身症狀。
(3)丘疹型。為突然發生的集簇性丘疹、斑丘疹或毛囊性須疹。多發生於四肢或泛發於全身。
(4)濕疹型。突然發生於四肢,尤其是下肢的大片紅斑、丘疹、小皰等多形性皮疹的濕疹樣損害,分布對稱。
4、引發濕疹,手足皸裂和疼痛:真菌破壞了皮膚最外的緻密保護層,使皮膚很容易受到外界的刺激,加上真菌本身的代謝物的作用,很容易引發濕疹,出現水皰,脫皮等現象,特別是傳到手部的時候,因手經常受到化學品的刺激,很不容易治癒,給工作和生活帶來許多的不便。而在冬春季,還會因此發生手足皸裂,輕者有明顯不適感,重者行走時可有明顯疼痛。
5、引起腳臭等:腳臭發生的原因主要與局部多汗和細菌真菌感染有關;腳氣許多人足部多汗,當穿不透氣的鞋時,汗水把局部皮膚的最外層角質層泡軟,寄生在局部的細菌和真菌能分解皮膚代謝物,產生難聞的惡臭,分解汗液中的尿素產生刺鼻的氨,加上汗液中含有的乳酸等本身有類似於優酪乳的味道,幾種味道混合在一起就成了難聞的臭味,特別是當腳在鞋子內捂了很長時間後,腳臭的味道更重。
6、為某些內臟疾病患者落井下石:有些老年人患糖尿病,如果患有腳氣,則腳氣病加重,很容易在腳氣打開方便之門的幫助下繼發局部的細菌感染,引發丹毒和血管炎甚至是上行感染等嚴重後果。有些體質較差或比較衰竭的病人如果腳氣是由念珠菌感染所引起,則有可能引起念珠菌的鵝口瘡或肺炎或血液播散性感染。病人會出現高熱,咳嗽等症狀;少數人會成為致死的主要原因。
濕腳氣
濕腳氣為腳氣病之一。見《太平聖惠方》卷四十五。指腳膝浮腫之腳氣病。水濕之邪感受於下,經絡不得宣通而致病。證見足脛腫、麻木而重,腿膝軟弱,小便不利,脈濡緩,苔白膩;或有在脛前生臁瘡者。治宜宣壅逐濕為大法,用雞鳴散加減,或選用除濕湯、檳榔散、加味二妙丸加減。濕熱偏勝者,證見口渴溺赤,脈濡數、苔黃膩,治以宣通清利化濕法,用防己飲加減。
足癬,中醫又稱濕腳氣、腳氣瘡,俗稱爛腳丫。濕腳氣是臨床中比較常見而又難治的病症。中醫認為,引起濕腳氣的原因有久居濕地,或水濕浸淫,或夙體有濕,郁而化熱,濕熱走注於下;或過食辛辣生熱,熱蘊而生濕,濕熱膠結而下注;或寒濕浸淫,或淤血血阻脈等。南京春夏之交氣候悶熱、潮濕,故此病發病率較高。
中醫理論認為,濕腳氣雖為皮膚病,但與人體五臟六腑、經絡及各器官有著密切聯繫,所以內治方法亦不容忽視。在採用外治方法的同時,可配合中藥湯劑治療。濕腳氣當以清熱利濕、溫陽散寒、解毒殺蟲、止癢止痛為治則。常見有三證:濕熱腳氣、寒濕腳氣、淤血寒毒。辨證分治:1.濕熱腳氣證:主要症狀表現有腳趾間或足底部潮濕糜爛,瘙癢,或浸淫流黃水,或紅腫潰爛蛻皮,甚至腳趾腫脹,舌紅,苔黃,脈沉或無變化。其治當清熱燥濕,溫化止癢。可選用苦參礬石湯,既可內服又可外洗。2.寒濕腳氣證:主要症狀表現有腳趾間或足底部潮濕糜爛,瘙癢,或浸淫黃水,或麻木冷痛,或潰爛蛻皮,手足不溫,甚至腳趾腫脹,舌淡,苔白,脈沉。病變證機是寒濕浸淫,肆虐肌膚營衛,導致肌膚既不得氣血所榮又被寒濕所肆虐,以此而變生為寒濕腳氣病理病證。其治當散寒除濕,溫化止癢。可選用雞鳴散,本方既可內服又可外用。3.淤血寒毒證:主要症狀表現有腳趾間或足底部潮濕糜爛,瘙癢,疼痛,或浸淫流膿血水,腳趾顏色暗紫,或癢痛,或潰爛蛻皮,甚至腳趾腫脹,舌質暗,苔薄,脈沉。病變證機是淤血內阻,淤血與寒毒相結而浸淫肆虐,以此而變生為淤血寒毒病理病證。其治當活血化瘀,散寒解毒。可選用桂苓烏頭湯,本方既可內服又可外用。
內服方劑也可選龍膽肝湯合萆薢滲濕湯加減處方,可選用中成藥如:MR3老中醫龍膽瀉肝丸、雙黃連口服液等。外用方劑可選用:足癬粉、六一散加明礬粉、二礬湯、皮膚外洗二方或蘇蒲洗方、藿黃浸劑、鵝掌風浸泡方、苦礬洗滌劑、清濕殺蟲方等,也可選用各種癬藥水外搽,如寶島癬水、複方土槿皮酊、普癬水等。
治療腳氣三大注意點
注意一:規範用藥,用足療程很多腳氣的反覆發作與患者不堅持用藥有很大關係。這些患者往往一看到腳氣的症狀緩解了,就不再用藥,等到腳氣再次發作的時候,再用。這種見好就收的做法使得腳氣很難得到治癒,長期的腳氣將可能導致灰指甲甚至是丹毒等其他疾病。專家建議:“腳氣真菌寄生在皮膚角質層中生長繁殖,需長期用藥才能殺死它。皮膚的代謝周期為28天左右,用藥時間一定要堅持四周以上,如果“見好就收”,真菌將很難被徹底殺死。”有些藥物抗真菌持續時間短,需要一天多次用藥,然而,這對於朝九晚五的上班族等部分人群來說就有些困難了。忘記塗藥或工作時間出於隱私考慮等因素都會成為一天多次用藥的“絆腳石”,影響治療效果。因此,在選擇抗真菌藥物的同時,最好選擇一天一次的藥物治療,不僅可以避免一天多次用藥的繁瑣,而且有助於患者堅持用藥。
注意二:滅真菌是治療核心癢是腳氣發病時的一個常見現象,這也導致很多腳氣患者在選藥時以止癢效果為主。殊不知,很多止癢型的腳氣用藥,都是單純激素類藥物。激素類藥物雖能解除過敏性瘙癢,但所含激素卻會成為真菌的“營養劑”,使真菌肆意繁殖。因此單純激素類藥物不僅治標不治本,而且會導致腳氣真菌的繁殖和感染,從而越治越壞。專家建議,腳氣患者選擇藥品的時候切忌單純選擇激素類藥品。由於腳氣是由真菌引起的,因此在選擇治療腳氣藥物時,一定要選擇殺真菌藥物治療,殺真菌才是治療腳氣的核心。目前上市的殺真菌藥物中,應儘量選擇殺菌效果強、作用時間持久的殺真菌藥物。
注意三:預防從改變習慣開始
腳氣很“煩人”,防治腳氣需要養成良好的個人習慣。據了解,接觸真菌並不表示就會染病。自皮膚接觸到入侵,真菌在皮膚上會停留長達12個小時,而在這段時期內,只需要用肥皂將皮膚清洗乾淨就可以預防真菌入侵了。預防腳氣應保持足部清潔乾淨,尤其是夏天,腳部易出汗,應及時清洗並且儘量保持乾燥;鞋襪要勤洗勤換,平時最好穿吸汗的棉襪。另外,剪指甲時不能剪得太深,不要穿過緊的鞋,特別是女性穿的高跟鞋,最易擠壓指甲,引發腳氣、甲溝炎等。家庭成員中,若有人患有腳氣,應避免共用衛生用具。隨著市場上美甲行業、足療行業的興起,腳氣傳播的機率也相應提高了,相關行業需要加強衛生條例的規範,從業人員需要提高職業素質,保持個人衛生,不要讓腳氣成為一種“時尚病”。
腳氣患者日常生活中的注意點
【1】要注意清潔,保持皮膚乾燥,保持腳部清潔,每天清洗數次,勤換襪子。
【2】洗腳盆及擦腳毛巾應分別使用以免傳染他人。
【3】平時不宜穿運動鞋、旅遊鞋等不透氣的鞋子,以免造成腳汗過多,腳臭加劇。趾縫緊密的人可用草紙夾在中間或選擇分趾襪,以吸水通氣。
【4】積極消除誘發因素,如腳汗。
【5】勿吃容易引發出汗的食品,如辣椒、生蔥、生蒜等。
【6】情緒宜恬靜,激昂容易誘發多汗,加重腳氣。
【7】腳氣是一種傳染性皮膚病,應避免搔抓,防止自身傳染及激發感染。
【8】用藥治療的同時,對病人穿的鞋襪要進行消毒處理。可用日光曝曬或開水燙洗,最好用布塊蘸10%福馬林液塞入鞋中,裝入塑膠袋封存48小時,以達滅菌目的。鞋櫃也要經常通風、晾曬;如果鞋櫃不能移動,應定期用消毒液擦洗或是放入乾燥劑,祛除潮氣。
腳氣發病原因
致病菌多系毛癬菌屬與表皮癬菌種,主要菌種有紅色毛癬菌、石膏樣毛癬菌、絮狀表皮癬菌、玫瑰色毛癬菌。紅色毛癬菌因其抵抗力強,不易控制,已成為我國當前足癬的主要致病菌。
腳氣是侵犯表皮、毛髮和趾甲的淺部黴菌病,是一種傳染性的皮膚病。絕大部分患者是先患腳氣再感染到手部和其它部位,腳氣患病率高的的原因主要有下列幾點:
一、足跖部皮膚沒有皮脂腺,缺乏能抑制黴菌的脂肪酸。
二、足跖部皮膚汗腺較豐富,出汗較多,造成有利於黴菌生長的潮濕環境。
三、足跖部皮膚角質層較厚,角質層中的角質蛋白為黴菌生長的營養物。
此外,由於穿著鞋襪,局部環境悶熱,腳汗難於透發而潮濕,從而更有利於黴菌的生長繁殖。
治療小偏方
1、韭菜洗腳除臭
韭菜2、食醋洗腳除臭
每晚洗腳時,取家中食用的陳醋2湯勺,倒入腳盆與洗腳熱水稀釋,然後雙腳搓洗15分鐘,一周即可見效。
3、食鹽洗襪除臭
腳臭一方面來源於腳汗,同時襪子吸收腳汗後也易發臭。因此,洗襪子時可以在襪水中放半勺食鹽(具體時襪子的多少而定)和襪子一起浸泡15分鐘左右,然後用洗衣液洗淨即可。

