分類
胸廓成形術是一種永久性的、不可復原的萎陷治療方法。手術通過切除部分肋骨,使胸廓下陷,達到治療疾病的目的。根據治療疾病的不同,該手術又以是否保留或切除壁層胸膜纖維層,分為胸膜外胸廓成形術(Extrapleural thoracoplasty)和胸膜內胸廓成形術(Transpleural thoracoplasty)。手術適應證
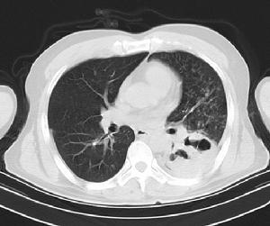
1.不適合肺切除的重症肺結核合併大咯血者(如慢性纖維空洞型肺結核、結核性毀損肺等)可行胸膜外胸廓成形術(圖1)。
肺結核合併大咯血來勢兇猛,文獻報告,在因肺結核而直接死亡的患者中,咯血居死亡原因第2位。對於危及生命大咯血的定義,至今尚無統一意見,一般認為:一次咯血量200ml,或24小時內咯血量在600ml以上者均屬於大咯血。
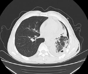
結核性毀損肺是一側肺內結核病變廣泛、單發或多髮結核空洞、大量纖維乾酪病灶、同時合併支氣管擴張和支氣管狹窄、混合感染及排菌、肺萎陷、肺纖維化、肺組織破壞嚴重、胸膜增厚、不可逆性病理改變、肺功能喪失的嚴重肺結核併發症(圖2)。

2.廣泛肺纖維化,胸膜增厚和縱膈移位,而肺結核病灶未愈,仍有症狀和痰菌陽性者可行胸膜外胸廓成形術。
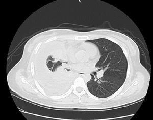
3.慢性膿胸或結核性膿胸伴有肺內活動性結核和支氣管胸膜瘺者可行胸膜內胸廓成形術(圖3)。

禁忌證
1.厚壁空洞,張力性空洞。後第四肋以下的空洞,尤其是下葉背段空洞及肺門空洞。2.伴有支氣管內膜結核者。
3.年齡在18歲以下或年齡較大者。青少年因正在發育期間,手術後將導致脊柱嚴重畸形,年老者伴有肺氣腫者,呼吸功能儲備差,手術後易發生呼吸功能不全。
胸膜外胸廓成形術
胸膜外胸廓成形術(Extrapleural thoracoplasty)一般分兩期完成,第一期切除第1~4肋,第二期切除第5~8肋。在肺及胸膜纖維化顯著的慢性病灶,估計手術後胸壁反常呼吸不重,病人一般體質較好者,也可一期完成全部手術。分期手術的間隔時間為2~3周。1.1術前準備:
1.術前X線胸平片、CT掃描、以了解空洞或病變位置,決定切除肋骨的根數,包括空洞下緣以下的兩根肋骨。
2.常規作肝、腎、心、肺功能檢查,補充營養、糾正貧血。
1.2 麻醉:靜脈複合麻醉,氣管內插管。
1.3 手術大體步驟
1.3.1 I期手術(圖4,5)
① 體位、切口:取側臥位,病灶在上,該側上肢屈曲貼放胸前。健側腋下放一小軟枕,以減輕體重對肩和上肢的壓迫,也使術側肋間隙變寬.做後外側切口,切口上端需平肩胛岡平面,以利充分顯露和切除第一肋骨。
② 切除肋骨:先切除第4肋骨,繼續向上切除第3、2、1肋。第一肋位置較高,肋骨短小,呈水平位。保留第一胸椎橫突,保護臂叢神經。需注意保護各肋間血管、神經,勿使胸膜破裂。
③ 剝離肺尖:第一肋骨切除完畢後,即進行肺尖剝離。如此,可獲得較好的萎陷。
④ 縫合:嚴密止血,一般不放引流,有胸膜破裂時,應放閉式引流。傷口用足夠敷料加壓包紮,以減輕術後反常呼吸運動。
1.3.2 II期手術(圖6,7)
術前必須攝胸部平片檢查,以了解肺部病變情況。若出現空洞增大,則可能並有支氣管內膜結核,屬張力性空洞,應終止手術。出現病灶播散及惡化現象者,應延期手術。上次手術切口未愈並有感染者,須炎症消退,並套用有效抗生素,再考慮手術。
從原切口進路,切除第5、6、7、8肋骨後端,同時切除相對應的胸椎橫突,保留前端肋軟骨,並將保留的肋骨自上而下呈梯形遞增,但最下一肋的前端應在腋中線。如只需切除至第六肋骨,為避免術後肩胛骨下角陷入第七肋骨,並與第七肋骨相摩擦,增加疼痛或影響上肢功能,需加作第七肋骨後段切除或者肩胛骨下角部分切除。
胸膜內胸廓成形術
胸膜內胸廓成形術(Transpleural thoracoplasty)過去採用薛德(Schede)手術,即將膿腔頂部的肋骨、骨膜、肋間組織和胸膜纖維板一併切除,但該手術損傷大,可造成胸壁長時間軟化。目前採用改良手術,只切除肋骨和壁層胸膜上的纖維板,保留肋骨骨膜和肋間組織。手術後2~3個月,新生肋骨形成,保持了胸廓的穩定,又可明顯減少手術後胸、腹壁皮膚麻木不適感覺。此即梯形手術。2.1術前準備
1. 確定胸腔及肺部病變部位,除拍攝胸部平片外,根據需要應作CT掃描,支氣管碘油造影或支氣管鏡檢查。
2. 行心、肺和肝、腎功能檢查。
3. 結核性膿胸,術前抗結核治療2~4周,手術前1周除繼續抗結核治療外,加用青黴素或其他廣譜抗生素,以控制一般細菌感染。
4. 並有支氣管胸膜瘺或當感染加重時,待感染症狀控制後才可進行手術。膿腔分泌物應作細菌培養和藥物敏感試驗。
5. 貧血及血漿蛋白低的患者,應給予高蛋白,高熱量食物,必要時,進行輸血或者輸白蛋白。並鼓勵病人多活動,以增強心肺功能。
2.2麻醉 靜脈複合麻醉,氣管內插管。
2.3手術大體步驟
2.3.1 體位、切口 取側臥位,病側在上。作後外側切口。
2.3.2 切處肋骨 先切除第5、6肋骨,切開肋床進入膿腔。仔細探查膿腔大小及範圍,決定需要切除的肋骨數目。後自下而上分別切除第4、3、2肋骨。入第一肋已超出膿腔頂的範圍,就不必切除,否則應一併切除,以免形成支架,影響下陷。術中如病情穩定,可向下按需要順序切除第7~10肋骨,反之,則應及時終止手術,改為分期。切除的肋骨上、下、左、右應超過膿腔,特別是後緣應切除部分脊柱橫突,使椎旁無間隙存在,保證壓陷的胸壁肌肉組織與膿腔內壁密切相貼,徹底消滅死腔。左側全側胸廓成形術時,前部肋骨儘可能多予保留,以保護心臟,避免受壓過度影響心臟功能。
2.3.3 梯形手術 沿肋間逐個平行切開胸膜及增厚的纖維層,刮除髒層胸膜上的纖維素、膿塊和乾酪物。如有支氣管胸膜瘺,可利用肋間肌束於胸骨端切斷,將斷端縫合填塞瘺口,以促進瘺口癒合。膿腔較大者,可游離附近胸壁肌瓣,填塞膿腔空隙。最後於膿腔底部安置引流。疏鬆縫合切口,加壓包紮胸部。手術一般均能一次完成,如患者情況差或者全膿胸,可分兩期完成,間隙為2~4周。
術後處理
1. 套用廣譜抗生素或根據術前培養和藥敏試驗選用有效抗生素治療2~3周,以控制感染。結核性膿胸需要抗結核藥物治療3個月以上。
2. 術側胸部用敷料包紮1個月以上。
3. 更換輔料一般在手術後第4或者第5天進行。以後2~3天更換一次,依引流分泌物的多少,逐漸拔出並剪斷引流管,完全拔管應在手術後兩周左右進行。
4. 注意病人全身狀況,改善營養,提高免疫力,適當予患者輸血支持。
結核病的流行趨勢及預防
據世界衛生組織報告,目前全球已有20億人感染結核菌,現有活動性肺結核患者約2000萬,每年新發病800~1000萬,每年約有300萬死於結核病。我國結核病疫情現狀:高患病率、高耐藥率、高死亡率、高感染率、低遞降率、農村疫情高於城市、青壯年結核病患病和死亡率比例高、HIV/AIDS的出現加重了結核病控制的難度。
結核病主要通過飛沫傳播,當今結核病控制的三大策略:病例發現、化學治療和卡介苗接種。
世界衛生組織建議的全球結核病控制策略—DOTS策略(Directly Observed Treatment Short-course),在世界各地已被證明有效。DOTS策略主要內容包括五個方面:
1.政府對國家控制結核病規劃的政治承諾。
2.通過痰塗片發現傳染性肺結核示發現患者的主要手段。
3.在直接觀察督導下,給予患者免費、標準短程化療方案。
4.定期不間斷的供應抗結核藥物是保證DOTS順利進行的重要措施。
5.建立和維持一個結核病控制規劃的監測系統。
總結
萎陷療法最早介入肺結核的外科治療領域,其方法是通過切除肋骨或在胸膜外填入異物使病變的肺組織萎陷,而促使肺內的病變吸收和纖維化,萎陷療法曾經一度廣泛套用於肺結核的外科治療中,並且起到相當重要的作用,但是,萎陷療法的併發症太多,手術後管理困難,大部分手術方式均被放棄,只有通過切除肋骨方式使胸廓成形術的萎陷療法一直在肺結核外科治療中延續使用,在特殊情況下,胸廓成形手術至今仍有一定的套用。在對肺結核患者進行嚴格督導及全程管理化療的前提下,需要外科手術治療的肺結核患者已經明顯減少,外科手術對肺結核的治療作用及地位也顯著下降,可是,在對肺結核患者預防治療工作中存在很多問題,大量患者還不能保證及時發現、合理化療和嚴格管理,或者因為各種原因延誤診斷及治療,喪失了初治的機會,使初治可以痊癒的患者轉入復治和難治甚至更為嚴重的肺結核,成為嚴重的結核病傳染源,以至於產生更多的原發耐藥患者。針對這些情況,還仍然需要外科治療的參與。肺結核外科仍然是解決這部分肺結核患者複製失敗、各種嚴重併發症、特殊類型結核病的行之有效的手段,同時在減少和消滅結核病傳染源、減少結核病發病率中起到相當重要的作用。
