基本內容
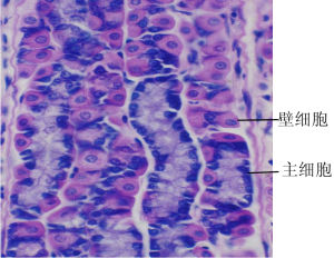
分布於胃底腺的分支管狀腺或單管腺,腺腔狹小,腺體可分為進步、體部、底部、,頸部與胃小凹相連,體部較長,底部稍膨大並延伸至黏膜肌層
圖由壁細胞(泌酸細胞),主細胞(胃酶細胞),頸粘液細胞,內分泌細胞和未分化細胞組成。
壁細胞:分泌和合成鹽酸(使胃蛋白酶原轉化為胃蛋白酶),內因子(促進骨髓紅細胞生成)
主細胞:分泌胃蛋白酶原,在幼畜還分泌凝乳酶
未分化細胞:分化增殖為其他細胞
胃底腺功能:分泌胃蛋白酶

胃底腺,分泌胃蛋白酶,原由壁細胞,主細胞(胃酶細胞),頸粘液細胞,內分泌細胞和未分化細胞組成。
分布於胃底腺的分支管狀腺或單管腺,腺腔狹小,腺體可分為進步、體部、底部、,頸部與胃小凹相連,體部較長,底部稍膨大並延伸至黏膜肌層
圖由壁細胞(泌酸細胞),主細胞(胃酶細胞),頸粘液細胞,內分泌細胞和未分化細胞組成。
壁細胞:分泌和合成鹽酸(使胃蛋白酶原轉化為胃蛋白酶),內因子(促進骨髓紅細胞生成)
主細胞:分泌胃蛋白酶原,在幼畜還分泌凝乳酶
未分化細胞:分化增殖為其他細胞
胃底腺功能:分泌胃蛋白酶
胃是消化管的擴大部分,位於膈下,上接食道,下通小腸。人體胃的容積為1000~3000毫升。胃的上口為賁門,下口為幽門。胃分上、中、下三部,即上脘、中脘、...
外形 形態結構 功能 胃液分泌的調節 生理功能胃類癌瘤(英文名:carcinoid of stomach )是起源於胃黏膜嗜鉻細胞(APUD細胞)的惡性腫瘤,屬於神經內分泌腫瘤,胃類癌與其他胃惡性腫...
病因 類型 臨床表現 併發症 鑑別診斷胃是食道的擴大部分,位於膈下,上接食道,下通小腸。本詞條主要介紹人體的胃。通過蠕動攪磨食物,使食物與胃液充分混合。動物的胃,一般俗稱“肚子”,如:豬肚子、牛肚子。
漢字解釋 漢字演變 基本簡介 胃的形態結構 注意事項胃息肉是指胃黏膜表面長出的突起狀乳頭狀組織,較小時常無明顯症狀,一般都是在胃腸鋇餐造影、胃鏡檢查或其他原因手術時偶然發現。“息肉”這一名稱通常只表示肉眼...
疾病概述 臨床表現 疾病類型 發病機制 疾病檢查胃食管反流(infantile gastroesophageal reflux,IGER)是指胃及(或)十二指腸內容反流入食管。GER在小兒十分常見,絕...
症狀體徵 疾病病因 病理生理 診斷檢查 併發症狀胃腺瘤是指發生於胃黏膜上皮細胞,大都由增生的胃粘液腺所組成的良性腫瘤。胃腺瘤可發生於任何年齡,多見於40歲以上男性,在萎縮性胃炎、胃酸缺乏及惡性貧血患者...
內鏡診治臨床分析 組織形態分類 內鏡下肉眼形態分類 內鏡下判斷標準 處理原則與治療經驗腺樣體亦稱咽扁桃體,位於鼻咽頂後壁中線處,為咽淋巴環內環的組成部分。
內容 A.病因 B.症狀 C.診斷胃良性腫瘤約占胃腫瘤的3%。根據其來源分為兩類,一類源於胃壁黏膜上皮組織的腺瘤或息肉樣腺瘤。另一類源於胃壁間葉組織的平滑肌瘤、纖維瘤、神經纖維瘤、脂肪瘤...
概述 病因 臨床表現 症狀 檢查