病因
據統計胃類癌已由占所有胃腫瘤的0.3%增加至0.54%,占所有類癌的2~6%高胃泌素血症者診斷率增加更明顯,可能與抑酸藥物(如H2受體拮抗劑或質子泵抑制劑)的長期套用導致低胃酸、高胃泌素血症有關。同時也可能與現代診斷技術進步使該病的確診率提高有關。有資料證實,高胃泌素血症超過4個月可引起腸嗜鉻樣細胞(ECL)增生,進一步可引發胃黏膜的類癌。
類型
胃類癌分為4種類型:
Ⅰ型:伴A型慢性胃炎型為常見類型,大約占65%。腫瘤主要發生在胃底、胃體部黏膜有A型慢性萎縮性胃炎或惡性貧血伴胃竇部G細胞增生而致高胃泌素血症。病灶大多為直徑小於1.0cm的多發性息肉樣病變,腫瘤生長緩慢,很少發生淋巴或血行轉移,惡性度較低,治療後5年生存率在95%以上。
Ⅱ型:又稱散髮型,是目前臨床報導最多的類型,約占21%腫瘤發生在胃竇部小彎黏膜,很少並發慢性萎縮性胃炎和高胃泌素血症。病灶多數是直徑大於2.0cm的單發孤立結節,尿中組織胺排泄增加,內分泌症狀明顯。進展期多有轉移,其中淋巴轉移為55%~80%,血行轉移為20%~30%,惡性病較高。
Ⅲ型:為伴Ⅰ型Zollinger-Ellison綜合徵型。此型可能有染色體11q13位點丟失。多發生在胃底黏膜慢性萎縮性胃炎常較輕微,高胃泌素血症明顯其惡性度及預後介於Ⅰ、Ⅱ型之間。
Ⅳ型:為伴胃內其他罕見內分泌腫瘤型如G細胞瘤、神經內分泌癌、內外分泌混合瘤等,癌組織僅含有少量內分泌細胞者不包括在本型中。這類腫瘤惡性程度低,發展緩慢,但腫瘤組織分泌的各種激素所引發的相應症狀明顯。也可以將胃類癌分為三型把伴有Zollinger-Ellison綜合徵或多發性內分泌腺瘤Ⅰ型綜合徵的胃類癌歸為第Ⅲ型。但是無論持何種分型觀點,均認為由胃泌素血症誘發的胃類癌是一種良性行為的或低度惡性的腫瘤,常表現為多發性小腫瘤而其他類型胃類癌惡性度較高,常伴有轉移。淋巴結、肝臟和骨骼是常見的轉移部位。
臨床表現
胃類癌瘤胃類癌的臨床表現與胃癌相似一般不具有特徵性。
上腹部疼痛是最常見症狀其次為嘔血、黑便、體重減輕、貧血、噁心和嘔吐。
胃類癌的臨床表現多變,且常伴有其他消化道疾病、內分泌疾病以及自身免疫性疾病等,且可與慢性萎縮性胃炎、消化性潰瘍胃癌、甲狀腺功能減退症、糖尿病、食管癌前列腺癌、克羅恩病及腦血管動靜脈畸形等疾病並存。Gough等回顧性分析36例胃類癌的臨床症狀,其中72%有貧血(惡性貧血58%)、69%有腹痛、11%有類癌綜合徵。在伴隨疾病中慢性萎縮性胃炎占67%、甲狀腺功能低下占39%、糖尿病占19%、阿狄森病占6%甲狀旁腺功能亢進占6%。也有少數患者無任何臨床症狀,只是在手術中或內鏡檢查時意外發現。
併發症
儘管胃類癌瘤常分泌5-羥色胺(5-HT)前體5-羥色胺酸(5-HTP)、組織胺及多種肽類激素,但是由於胃組織缺乏多巴胺脫羧酶,影響5-HT等血管活性物質合成故胃類癌發生類癌綜合徵者較少。如有類癌綜合徵常為變異性,且多出現於有肝轉移的患者,表現為腹瀉面紅等症狀。
鑑別診斷
胃類癌瘤本病早期無症狀隨著病情進展,可表現與潰瘍、胃息肉和腺癌相似的症狀,如上腹痛、噁心、嘔吐、嘔血、便血等非特異性症狀對診斷無特異意義。
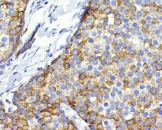
1、低分化腺癌:惡性度大的胃類癌之病理類型大多為潰瘍浸潤型,診斷易與低分化腺癌混淆,鑑別診斷需要靠病理電鏡檢查、嗜銀染色以及免疫組化染色。胃低分化腺癌,細胞呈片巢狀或不規則腺管狀和乳頭狀排列,細胞大小極不一致,有較多的核分裂相和壞死,胃類癌細胞大小基本一致,核分裂相和壞死少見低分化腺癌嗜銀染色呈陰性反應,但有文獻報導大約不到10%的胃類癌患者嗜銀染色亦呈陰性反應故對這類患者需要進一步靠免疫組化染色進行鑑別。
2、胃神經內分泌癌:鑑別需靠病理診斷胃神經內分泌癌的瘤組織易廣泛浸潤,瘤細胞多呈片巢狀排列,細胞為小梭形,胞漿少形態似燕麥樣有核分裂象和壞死。免疫組化染色可發現神經內分泌細胞達50%以上。
3、中腸的類癌:尿檢出現高濃度的5-HIAA,而屬於前腸類癌的胃類癌患者尿中5-HIAA含最較低。
檢查
胃類癌瘤實驗室檢查
胃類癌瘤患者的血清癌胚抗原(CEA)罕有升高,因此,一個CEA正常的胃癌患者應考慮到類癌的可能。65%的患者血清胃泌素值升高,在血清胃泌素值正常的患者中,約66%的腫瘤>2.0cm,提示這種類癌的惡性度大。尿檢中可發現大量的5-HTP,同時也可查到少量的5-羥吲哚乙酸(5-HIAA),即尿中5-HTP與5-HIAA比率增加,此為胃類癌的特徵性尿檢表現。
其它輔助檢查
1、X線檢查:X線檢查對黏膜下類癌的診斷價值較小,對息肉狀類癌的檢出有效對於2cm以上的息肉狀類癌,胃腸鋇餐可見圓形或卵圓形充盈缺損,有時在陰影中央有凹陷當發現環堤狀充盈缺損,其邊緣整齊銳利,周邊分界清楚如刀切樣,中央部龕影相對比較規則,應考慮為類癌的可能。Balthazar等將其X線表現歸納為孤立壁內性充盈缺損型、多發性胃息肉型、大潰瘍型和息肉樣腔內腫瘤型4型。
2、胃鏡檢查:Nakamura對8例胃類癌胃鏡直觀所見的特點做如下描述:呈息肉狀改變,多見於胃底、胃體,突起多數無蒂、個別有蒂,單發者多呈灰白色至粉紅色,外表為正常黏膜覆蓋。光滑圓形黏膜下腫塊伴有不規則的凹陷性紅斑或潰瘍是胃類癌的特徵性表現,於此處取活檢陽性率高。胃惡性類癌的胃鏡下表現很難與胃癌相鑑別。胃鏡結合活檢是診斷類癌的最佳工具,對常規活檢不能確診的病人,可採用內鏡下黏膜切除活檢。Giovannini報導,超聲內鏡可在術前提供黏膜下類癌的位置和向周圍浸潤情況。
3、核素掃描:核素掃描用於臨床類癌的定位診斷,可檢出B超和CT不能顯示的微小病灶,其陽性率達80%~90%。放射標記的生長抑素類似物有助於確定腫瘤的位置和侵犯深度。
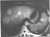
4、其他檢查:B超、CT、磁共振成像檢查對肝臟原發或轉移性癌診斷有指導意義。CT很少能夠發現原發胃類癌,僅有助於判斷是否有淋巴結和肝臟轉移。B超引導下肝穿刺或腹腔腫塊穿刺活檢,可幫助明確診斷而腔內B超或超聲內鏡檢查可同時對腫瘤大小、組織侵犯深度淋巴結有無轉移作出診斷。
治療
胃類癌瘤胃類癌屬交界性腫瘤的範疇,治療原則應同胃癌,一經確診應早期手術治療。術式選擇應根據組織分化程度、單發或多發腫瘤大小、浸潤範圍、生物學行為而定。常用的方法有:
1、內鏡下電灼切除術
Ⅰ型胃類癌生物學行為多屬良性,很少進展,甚至可以自行消失因此,對伴有慢性萎縮性胃炎的多中心微小(僅幾毫米)類癌,反覆胃鏡檢查即可。直徑1.0~1.5cm的Ⅰ型胃類癌可在內鏡下行電灼切除術。直徑1~2cm者屬低度惡性,如果組織學檢查無胃壁深層浸潤亦可行電灼切除術。內鏡下電切術對其他型單發胃類癌應限於1cm以下,不管是否合併MEN-Ⅰ或ZES強調術後定期內鏡監測隨診,以防復發。
2、胃竇切除術
高胃泌素血症可引起ECL細胞增生和類癌形成胃竇切除術可使升高的胃泌素降至正常,降低腫瘤進展的危險性。Hirschowitz報導了3例惡性貧血、高胃泌素血症和多中心胃類癌的病人,胃竇切除術後血清漿胃泌素水平均降至正常。術後胃鏡加活檢隨訪12~18個月均見微類癌灶,21~30個月活檢發現類癌和ECL細胞增生完全消失。儘管血漿胃泌素水平降至正常胃底多發類癌在術後23個月仍可進一步發展。因而,胃竇切除術適用於早期病變,較大的原發病變伴有結節增生者應行全胃或胃次全切除術術後定期胃鏡隨訪。
3、胃類癌局部切除術
此術式適用於病變直徑小於2cm尚未侵及漿膜,無淋巴結轉移者,可距腫瘤邊緣2~3cm行局部切除術
4、姑息性胃切除
胃惡性類癌發生肝多發轉移時,仍可切除原發病灶。
5、胃癌根治術及全胃切除術適用於腫瘤直徑>2cm,漿膜受侵或區域淋巴結轉移的低分化或未分化者,或病變呈瀰漫性多發性。胃泌素瘤合併致命性潰瘍,探查未發現原發病灶者,也可行全胃切除術。
預防
胃類癌瘤一般生長緩慢,患者確診後生存時間較長胃類癌總的5年生存率約52%患者的預後取決於病變的組織學特徵病理學類型,是否有遠處轉移,外科手術切除的範圍,臨床症狀的輕重及患者的一般情況。有轉移、非典型性組織學表現、侵及漿膜和腫瘤大於2cm均是預後不良的指標。病變局限者5年存活率可達90%左右,局部轉移者5年存活率約23%,有遠處轉移、腫瘤大有類癌綜合徵者預後不良多在兩年內死亡。種族性別和年齡對生存率影響不明顯。
