分類
胃腸道神經內分泌癌包括類癌和小細胞神經內分泌癌兩種。
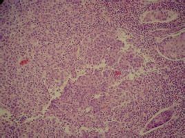
鏡下特徵
常表現為黏膜下的 腫瘤, 表面黏膜隆起或有潰瘍形成, 切面呈灰黃色, 無包膜。瘤細胞由較一致的小到中等大小的癌細胞所組成, 胞漿界限不清, 核圓而規則, 排列成片、索、簇、腺樣或菊形團樣。分化差者, 癌細胞較小, 胞漿少, 核常帶稜角, 深染, 有分裂像。電鏡下可見直徑為200~300nm 的神經內分泌顆粒。
診斷
內鏡及 病理學檢查、24 h 尿 5-HIAA (5-羥色胺的代謝產物)有助於診斷;測定 免疫組織化學檢測有特殊的診斷價值, 一般可用顯示神經內分泌的標記NSE、CHG2A、突觸泡蛋白(Sy) 等來識別。
鑑別診斷
胃腸道神經內分泌癌應與低分化腺癌鑑別, 免疫組織化學NSE、CHG2A 均陽性, 可以肯定為神經內分泌腫瘤。CEA 陰性,Gas 陰性,可分別除外低分化腺癌和胃泌素瘤。結合大體、組織形態及其臨床高度惡性的生物學行為, 可以診斷胃神經內分泌癌。
治療
胃腸道神經內分泌癌的治療以手術為主。手術的範圍取決於原發腫瘤的大小、部位、浸潤程度、淋巴結受累及是否肝轉移。術中要仔細探查是否多發灶或並存其他腫瘤。根據 胃腸道神經內分泌癌 的生物學特性文獻的觀點,一般認為: 手術治療的原則為:腫瘤直徑小於2 cm ,未浸及肌層,無淋巴結轉移的胃、闌尾、直腸類癌可做局部切除;對小腸、結腸類癌或腫瘤大於2 cm ,浸潤肌層,有淋巴結轉移的類癌均需做根治性手術;對轉移性類癌,如全身情況允許,可行姑息性原發灶和轉移灶的切除。
在上述原則的基礎上,對胃腸道類癌採用不同的手術方法。對多灶和混合性類癌及小細胞神經內分泌癌的切除範圍應適當擴大,手術方法同消化道腺癌。
預後
胃腸道類癌一般較腺癌的預後為好,直徑小於2 cm 者與良性腫瘤的預後相似,直徑大於2 cm 或有淋巴結轉移者,預後較差;多灶或混合性類癌及小細胞神經內分泌癌的預後更差。應重視本病的術後隨訪,在隨訪中針對惡性程度較高的病例應定期複查肝臟B 超、CT 等,以及動態檢測生物胺和多肽在尿中代謝產物的濃度(52HIAA 等) ,並選擇性的輔以化療、生物治療及其它綜合治療措施,以提高生存率。

