簡介
胃平滑肌瘤胃平滑肌瘤多見於50歲以下。其瘤體多單發,呈圓形或橢圓形,好發於胃竇及胃體部,患者常有上腹飽脹不適、隱痛或脹痛,當腫瘤增大供血不足而形成潰瘍時亦可出現間歇性嘔血或黑便。
由於直徑<2cm的平滑肌瘤無任何臨床症狀,其發病率實際上更高,已有報導50歲以上屍檢發現率高達50%。臨床症狀無特異診斷率為21.1%~42.9%,癌變率為2.1%,早期手術治療預後良好故值得臨床重視,爭取早期發現,達到早期診斷和治療的目的。
流行病學
胃平滑肌瘤約占胃良性腫瘤的17%~46%臨床發現率為15%多見於中年以上男女發病率之比為1.3∶1
病因
胃平滑肌瘤是起源於平滑肌組織(多源自胃壁環肌或縱肌),少數起自黏膜肌層的良性腫瘤。好發於胃底、胃體,小彎側較大彎側多見後壁較前壁為多。
發病機制
CT掃描1.大體所見 胃平滑肌瘤多源自胃壁環肌或縱肌,少數起自黏膜肌層好發於胃底胃體,小彎側較大彎側多見,後壁較前壁為多大小0.1~30cm一般直徑在3cm以下。平均直徑3~6cm。由於起始部位和發展方向不同,腫瘤可形成腔內型、腔外型、壁間型和腔內外型四種呈結節狀生長以圓形、橢圓形多見向胃腔中突出亦可位於漿膜下而向胃外突出,小者可局限於胃壁中,與周圍組織有清楚的邊界,瘤體多堅實,質堅韌,表面光滑,無被膜。較大者其中心可有出血壞死或囊性變有的同時累及黏膜與漿膜下呈“啞鈴型”隨著腫瘤的增大胃黏膜隆起腫瘤頂部黏膜有的呈“臍樣”的中央潰瘍形成,易引起出血。絕大多數為單發,約占90%,多發者占10%。約2.1%的胃平滑肌瘤可以惡變。
2.鏡下所見 鏡下見腫瘤由分化好的梭狀細胞交錯成束組成但缺乏肌纖維,只有含量不等的纖維結締組織和成纖維細胞。切面觀察見腫瘤有清楚的邊界,但無包膜其邊緣的腫瘤細胞與周圍的胃壁細胞互相混合,故導致區分良、惡性腫瘤的困難細胞大小比較一致,異型性不明顯,少見核分裂象。根據鏡下細胞學特徵和腫瘤生長方式可分為4種類型:
(1)普通的平滑肌瘤:梭狀細胞呈人字形排列,細胞核長呈雪茄形,腫瘤生長不規則缺乏正常的波浪形和成束狀,常有玻璃樣和囊性變腫瘤邊界清楚
(2)富於細胞的平滑肌瘤:細胞核互相貼緊胞漿少較少玻璃樣變有時見到其中有局灶性出血和壞死。
(3)怪異的平滑肌瘤:又稱平滑肌纖維瘤細胞呈圓形或多角形核位於中央,胞漿相對明顯瘤灶呈浸潤性生長。
(4)不典型的平滑肌瘤細胞形態不規則,可有梭狀和圓形相混,生長不規則。
臨床表現
外觀胃平滑肌瘤的臨床表現常與腫瘤的部位大小、生長方式、併發症類型等有關。出血為最常見的症狀可以引起嘔血或黑便其他症狀有上腹部疼痛飽脹不適等。體檢時可能發現上腹部腫塊,中等硬度表現光滑、活動無壓痛進展緩慢早期或無併發症者常無症狀僅在胃鏡檢查或胃部手術或屍檢時偶然發現。其主要症狀體徵歸納如下
1.消化道出血 為胃平滑肌瘤的突出臨床表現,有文獻報導其發生率達58%常呈間斷性小量出血,持續時間不等,偶有大出血導致休克者。其出血的發生與腫塊受壓或由於腫瘤供血不足中心部缺血壞死及表面潰瘍形成等有關。
2.腹痛 由於瘤體牽拉、壓迫鄰近組織或由於消化管蠕動不協調、功能紊亂等引起。常呈隱痛或脹痛部位不確切多在消化道出血前或腹部腫塊發現前出現
3.腹部包塊 腹塊的觸及與否與瘤體的大小及其生長部位生長方式有關。直徑>5cm,腔外型生長者易觸及。
4.其他症狀 位於賁門附近較大的腫瘤可發生咽下困難位於幽門者可有幽門梗阻症狀
併發症: 1.貧血 長期慢性小量出血可以造成缺鐵性貧血
2.幽門梗阻 位於賁門附近較大的腫瘤可發生咽下困難位於幽門部的巨大平滑肌瘤可以引起幽門梗阻症狀。
診斷
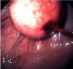
對於胃平滑肌瘤的診斷除臨床上出現上消化道出血、腹痛腹部包塊者應疑及該病外,主要依靠X線及胃鏡檢查。X線檢查可見孤立的圓形或橢圓形的充盈缺損腫瘤周圍黏膜正常。充盈缺損區有龕影提示平滑肌瘤有潰瘍腫瘤向胃外突出時可見胃壁畸形,或呈外在壓跡樣缺損胃鏡檢查可見半球形或球形隆起黏膜緊張光滑色澤正常頂部可有缺血壞死性潰瘍術前確診較困難常需要才能證實。
鑑別診斷:
主要應與胃平滑肌肉瘤胃息肉胃消化性潰瘍等鑑別。應根據腫瘤大小、生長特點、潰瘍形態、有無轉移和浸潤生長、囊性變的有無、術後是否復發及病理檢查綜合分析,尤以病理檢查為重要。一般認為發病年齡>50歲病灶多發,瘤體直徑>5cm,生長較快,呈結節狀有囊性變和大而不規則的潰瘍者支持平滑肌肉瘤應及時行病理檢查以明確。
檢查
B超檢查實驗室檢查
:1.血常規檢查 可有紅細胞和血紅蛋白減少,提示貧血存在
2. 糞便潛血實驗 消化道常呈間斷性小量出血表現為糞便潛血實驗陽性或黑便。
3.組織病理學檢查 腫瘤邊界清楚,無包膜;鏡下示分化好的梭狀細胞交錯成束有含量不等的纖維結締組織和成纖維細胞。
其它輔助檢查:
1.X線檢查 上消化道鋇餐典型徵象為突入胃腔內之腫物,胃內圓形或橢圓形充盈缺損外形整齊邊緣清楚,周圍黏膜和胃壁正常,無蠕動功能障礙腫瘤並發潰瘍者,於腫瘤形成的充盈缺損區,常可見一深在龕影周圍光滑,無黏膜聚集現象與一般消化性潰瘍不同漿膜下腫瘤或腫瘤向胃外突出時由於腫瘤的牽拉和壓迫可使胃壁產生畸形或呈外在壓跡樣缺損之表現但對腔外腫瘤及早期腫瘤較難發現有時易將胃平滑肌瘤合併潰瘍誤診為消化性潰瘍。
2.腹部B超檢查 採用飲水法超聲檢查可清晰顯示腫瘤的部位大小、生長方式及其內部回聲結構,對診斷胃平滑肌瘤有一定價值,缺點是難以確定其性質和組織來源若能結合胃鏡活檢檢查,則可大大提高診斷率聲像顯示平滑肌瘤邊緣光滑內呈均勻性低回聲。
3.超聲胃鏡 目前被認為是提高早期診斷率的最有價值的手段文獻報導其符合率達63%能同時顯示胃腔內外瘤體全貌不僅可發現早期病變還可了解腫瘤的大小和深度,但由於價格昂貴,國內尚未普及。
4.CT檢查 影像特點為:上腹部實性腫塊與一側胃壁關係密切,有時能清楚地顯示胃壁向胃腔內突出或向胃外突出腫塊多小於5cm,呈圓形或類圓形,表面光滑。腫塊密度多均勻偶可見鈣化增強掃描可見動脈期病灶多呈低強化改變延遲掃描多呈均勻中等強化偶可見中心部壞死不強化的低密度灶。
5.胃鏡檢查 普通內鏡可以直觀腔內型腫瘤的形態大小及生長特點,亦可直接行組織活檢以取得病理學證據,甚至可經胃鏡行胃平滑肌瘤摘除術但對於沒有侵犯黏膜的腫瘤及腔外型腫瘤則意義不大可見半球形或球形隆起,表面黏膜 緊張光滑,色澤與周圍黏膜相同,頂部有時可出現缺血壞死性潰瘍術前確診較困難,常需要組織學檢查才能證實。
治療
由於胃平滑肌瘤與平滑肌肉瘤鑑別較為困難,而平滑肌瘤又可以發生惡性變,所以應以外科手術治療為宜。一般選擇局部廣泛切除術,切緣應距腫瘤邊緣至少2~3cm以上疑有惡變者應作胃大部切除術或全胃切除。
對單發的、有蒂的瘤體直徑小於2cm者可經內鏡電切除;對多發的、無蒂的直徑大於2cm或有出血、梗阻等症狀或內鏡活檢、細胞學檢查疑有惡變者,應予以腹腔鏡下或剖腹手術切除。
手術方式可視病變的具體情況而定,對直徑小於5cm的胃體、胃竇及胃底平滑肌瘤,若腫瘤界限清楚,瘤體無壞死瘤體部位胃黏膜無潰瘍,腹腔又無轉移灶,可行腫瘤局部切除,切緣距腫瘤1cm位於幽門或賁門部位的平滑肌瘤,當腫瘤直徑小於3cm時可行保守的局部切除或連同部分胃壁作楔行切除。
若對於體積較大的平滑肌瘤(直徑≥5cm),必須按惡性腫瘤處理,除非能最後病檢等方法能肯定它的真正性質或幽門賁門部位的腫瘤直徑大於3cm則行遠端或近端胃大部切除手術切緣距腫瘤2~3cm。
預後
臨床症狀無特異,診斷率為21.1%~42.9%,癌變率為2.1%早期手術治療預後良好故值得臨床重視,爭取早期發現達到早期診斷和治療的目的。

