發病情況
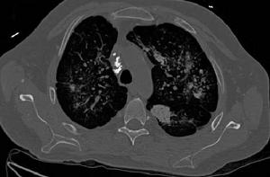
早期出現肺泡炎,肺泡內有漿液和細胞成分,肺間質內有大量單核細胞,部分淋巴細胞,漿細胞,肺泡巨噬細胞等炎性細胞浸潤,肺泡結構完整。進入晚期,慢性炎症已減輕,肺泡結構為堅實的膠原代替,肺泡壁被破壞,形成擴張的蜂窩肺。膠原、細胞外基質、成纖維細胞分布在間質中,肺泡上皮化生為鱗狀上皮。基於以上病理變化,臨床上多表現為進行性呼吸困難或伴有刺激性乾咳,胸部X線顯示兩中下肺野網狀陰影,肺功能為限制性通氣功能障礙。病情呈持續性進展,最終因呼吸衰竭而死亡。

肺纖維灶,常為肺部感染後,自然癒合後遺留的纖維化病灶。肺間質組織由膠原蛋白、彈性素及蛋白醣類構成,當纖維母細胞受到化學性或物理性傷害時,會分泌膠原蛋白進行肺間質組織的修補,進而造成肺臟纖維化;即肺臟受到傷害後,人體修復產生的結果。 常見的原因是肺結核已經痊癒或其它的損傷後修復的表現。如果纖維化範圍小,對身體基本不影響,如果範圍廣,就可能導致肺功能降低,出現缺氧和呼吸困難等。 正常肺間質由少量的間質巨噬細胞,成纖維細胞,肌成纖維細胞以及肺基質,膠原,大分子物質,非膠原蛋白等組成。當肺間質發生病變時,上述成分的數量和性質都會發生改變。表現為明顯的炎症侵犯肺泡壁和鄰近的肺泡壁腔,Ⅱ型肺泡上皮細胞替代Ⅰ型肺泡上皮細胞,肺泡間隔明顯增厚以及肺纖維化,最後肺毛細血管喪失。
早期出現肺泡炎,肺泡內有漿液和細胞成分,肺間質內有大量單核細胞,部分淋巴細胞,漿細胞,肺泡巨噬細胞等炎性細胞浸潤,肺泡結構完整。進入晚期,慢性炎症已減輕,肺泡結構為堅實的膠原代替,肺泡壁被破壞,形成擴張的蜂窩肺。膠原、細胞外基質、成纖維細胞分布在間質中,肺泡上皮化生為鱗狀上皮。基於以上病理變化,臨床上多表現為進行性呼吸困難或伴有刺激性乾咳,胸部X線顯示兩中下肺野網狀陰影,肺功能為限制性通氣功能障礙。病情呈持續性進展,最終因呼吸衰竭而死亡。
肺纖維增殖灶常見於肺部炎症,可以服用敏感菌抗生素
病症簡介 相關實例肺鈣化灶是肺實質肺細胞炎症後形成的“疤”,一般無大礙,部分患者可能和肝內膽管結石患者一樣會有肺區悶脹感覺,如確診一般不需治療,肺內有鈣化點可能是肺內膽管...
病因 分類 發病機制 影像學表現 治療肺陷落(atelectasis)系指一個或多個肺段或肺葉的容量或含氣量減少。由於肺泡內氣體吸收,肺陷落通常伴有受累區域的透光度降低,鄰近結構(支氣管、肺...
概述 疾病名稱 英文名稱 別名 分類肺良性腫瘤比較少,其種類卻很多,可起源肺和支氣管的所有各種不同類型細胞。在各種肺良性腫瘤中,以錯構瘤為最常見。絕大多數肺良性腫瘤為周圍型腫瘤,常無症狀,...
概述 發病機制 病理 症狀體徵 診斷鑑別石棉肺(asbestosis)是長期吸入石棉粉塵引起的慢性、進行性、瀰漫性、不可逆肺間質纖維化、胸膜斑形成和胸膜肥厚,嚴重損害患者的肺功能,並可使肺、胸...
簡介 症狀體徵 疾病病因 病因及發病機制 臨床表現肺不張(atelectasis)系指一個或多個肺段或肺葉的容量或含氣量減少。由於肺泡內氣體吸收肺不張通常伴有受累區域的透光度降低,鄰近結構(支氣管、肺血...
病因 臨床表現 診斷 檢查 治療肺是惡性腫瘤轉移最高發的器官,全身各組織器官的腫瘤基本都可以轉移到肺。最常見發生肺轉移的原發腫瘤部位分別是女性生殖系統、消化系統和呼吸系統。在全部惡性腫...
疾病分類 發病原因與發病機制 病理生理 臨床表現 診斷鑑別