病因
肺鈣化灶一般是由肺部炎症引起,最常見的是原因肺結核。其次,氣管支氣管炎、肺炎、肺癌、甲狀旁腺功能亢進、鈣或磷酸鹽代謝異常、血栓以及氣管支氣管澱粉樣變、纖維化也可誘發肺鈣化灶生成。
分類
| 氣管支氣管型 | 結節型 | 瀰漫型 |
| 氣管支氣管病(骨化性氣管支氣管病) | (結核、組織胞漿菌病、球孢子蟲病、芽生菌病) | 肺炎 |
| 復發性多軟骨炎 | 玻璃樣肉芽腫 | 間質纖維化 |
| Wegener's 肉芽腫 | 軟骨瘤 | 類風濕肺 |
| 結節病 | 鈣化轉移 | 硬皮病 |
| 炎症性腸病 | 肉芽腫性疾病 | 淋巴管腫瘤 |
| 氣管支氣管炎(副球孢子菌病) | 鈣化轉移 | |
| 支氣管內膜結核 | 肺泡微結石症 |
發病機制
肺鈣化的產生,最常見的原因肺部慢性炎症,肺結核為導致炎症的首要病原。就腫瘤而言肺部較少看到鈣化部分。還有一個可能是肺栓塞所致的肺梗死,但僅有一小部分肺栓塞合併肺梗死。
正常肺組織是由氣管、支氣管肺泡、淋巴、血管等組成,呈粉紅色。若有相當數量和毒力強的結核桿菌侵入肺組織並在裡面生長繁殖,產生代謝產物,使肺組織受到破壞,出現好像變質的乳酪一樣的物質,使正常的肺組織結構、生理功能消失。醫學上稱為乾酪樣壞死。壞死物偏於酸性,不易液化吸收,能長期存在。在機體抵抗力強,或者化療後,乾酪樣病灶中的結核桿菌代謝低落,繁殖能力被削弱,病灶失水而乾燥,碳酸鈣和磷酸鈣附著形成鈣化。
其實,我們每天呼吸的空氣里都可能含有結核桿菌,因此感染結核桿菌也是很常見的。只不過大多數人在感染了結核桿菌以後,自己的身體抵抗力非常強,所以沒有得病,沒有表現出症狀,這叫做隱性感染。只有少數人感染結核桿菌後,會發展成肺結核。很多人去做透視,發現肺部有鈣化點,這就說明其感染過結核桿菌。另外,一般的肺結核病人痊癒後,肺部也會留下鈣化點,實際上,肺部鈣化點是肺結核痊癒的形式之一。
肺部其他感染性的炎症也是如此,比如我們患上肺炎的時候,經過治療,導致炎症的細菌、病毒被殺死了,但肺上也會留下鈣化點。
所以,一般來說,肺部鈣化點是良性的,只代表曾經的病變,對身體沒有什麼影響,不必太在意,更無須治療。
影像學表現
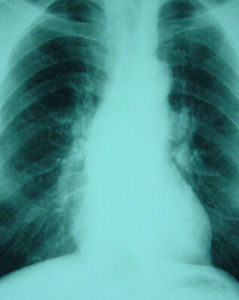
結核性鈣化X線表現(圖1):
肺鈣化灶CT表現(圖2):兩肺瀰漫性粟粒樣影
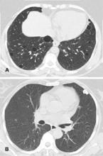
肺鈣化灶肺炎性鈣化CT表現(圖3):淋巴細胞性間質性肺炎。軸向 CT 顯示(肺窗):多發囊腫伴部分實質結節;圖 b 左肺外周可見鈣化結節;活檢證實為澱粉樣變。
圖3肺癌合併轉移鈣化灶(圖4):右側中央型肺癌並雙肺多發轉移:右肺門可見軟組織腫塊,明顯分葉,密度不均勻,其內可見點狀鈣化灶,腫塊內可見支氣管受壓變窄,雙肺大量隨機分布大小不一類圓形結節
肺鈣化灶血栓性鈣化CT表現(圖5):左肺上葉前段支氣管旁周圍見一團塊狀高密度影,境界清,呈多個結節樣,其內可見廣泛鈣化,動靜脈畸形伴血栓形成並鈣化
肺鈣化灶治療
肺鈣化灶首先需要明確病因,不同病因所致鈣化灶治療方法大相逕庭,關鍵是明確病因,對症治療。
一般情況下,肺部的鈣化斑只是人體肺細胞壞死之後產生的一些特殊的變異,人體每天都在進行新陳代謝,一些細胞壞死是正常現象,壞死之後,因為自身循環不暢,從而在肺部中沉著下來,形成鈣化斑,在胸透下顯示出很像是結石的亮點,這種斑點在胸透檢查中只有0.5cm左右。鈣化斑如同皮膚上長的痣,只是一些壞死細胞的沉著,大多數是良性的,而且病人本身大多數都沒有什麼症狀,一般情況下不用處理。
結核性鈣化灶的治療
外科治療:肺結核手術指征大體為,經規律化療9-12個月痰菌仍陽性乾酪性病灶,厚壁空洞,纖維空洞。耐多藥結核化療4個月痰菌未轉陰,或只對2-3種效果較差的藥物敏感,對其他抗結核藥物均已耐藥,有手術適應證者。一側毀損肺、支氣管結核伴肺不張或肺纖維化。
免疫治療:可以作為肺結核化學治療中一種輔助治療。常用的製劑有母牛分枝桿菌菌苗,草分枝桿菌及轉移因子、γ一干擾素、白介素-2等。治療期間的複查對判定治療效果以及是否需要調整治療方案具有很重要的意義。
對於小結節,如果無症狀且肺功能正常,建議3個月複查胸片和肺功能,無進展則不需治療。對於偶然發現、無症狀的小結節一般也無需治療,若伴有慢性支氣管炎或肺氣腫,則主要治療原發病變。CT是輔助診斷的有效手段,但不能單憑CT制定治療方案。

