發病原因
肺結節1.病因:尚不清楚。曾對感染因素(如細菌、病毒、支原體、真菌類等)進行觀察,未獲確切結論。對遺傳因素也進行過研究,未能證實。近年有作者以PCR技術在結節病患者中發現結核桿菌DNA陽性率達50%,因些提出結節病是分支桿菌侵入組織的結果,但許多實驗未證實此論點。現多數人認為細胞免疫功能和體液免疫功能紊亂是結節病的重要發病機制。在某種(某些)致結節病抗原的刺激下,肺泡內巨噬細胞(Am)和T4細胞被激活。被激活的Am釋放白細胞介素-1(IL-1),IL-1是一種很強的淋巴因子,能激發淋巴細胞釋放IL-2,使T4細胞成倍增加並在淋巴激活素的作用下,使B淋巴細胞活化,釋放免疫球蛋白,自身抗體的功能亢進。被激活的淋巴細胞可以釋放單核細胞趨化因子、白細胞抑制因子和巨噬細胞移行抑制因子。單核細胞趨化因子使周圍血中的單核細胞源源不斷地向肺泡間質聚集,結節病時其肺泡內濃度約為血液的25倍。在許多未知的抗原及介質的作用下,T淋巴細胞、單核細胞及巨噬細胞等浸潤在肺泡內,形成結節病早期階段---肺泡炎階段。隨著病變的發展,肺泡炎的細胞成分不斷減少,而巨噬細胞衍生的上皮樣細胞逐漸增多,在其合成和分泌的肉芽腫激發因子(granuloma-inciting factor)等的作用下,逐漸形成典型的非乾酪性結節病肉芽腫。後期,巨噬細胞釋放的纖維連結素(fibronectin,Fn)能吸引大量的成纖維細胞(Fb),並使其和細胞外基質粘附,加上巨噬細胞所分泌的成纖維細胞生長因子(growth factor of fibroblasts,GFF),促使成纖維細胞數增加;與此同時,周圍的炎症和免疫細胞進一步減少以致消失,而導致肺的廣泛纖維化。
發病機制
結節病是未知抗原與機體細胞免疫和體液免疫功能相互抗衡的結果。由於個體的差異(年齡、性別、種族、遺傳因素、激素、HLA)和抗體免疫反應的調節作用,視其產生的促進因子和拮抗因子之間的失衡狀態,而決定肉芽腫的發展和消退,表現出結節病不同的病理狀態和自然緩解的趨勢。
病理生理
肺結節結節病肉芽腫在組織切片上可見為皮樣細胞的聚集,其中有多核巨噬細胞,周圍有淋巴細胞,而無乾酪樣病變。在巨噬細胞的泡漿中可見有包涵體,如卵圓形的舒曼(Schaumann)小體,雙摺光的結晶和星狀小體(asteroid body)。肺結節病的初發病變有較廣泛的單核細胞、巨噬細胞、淋巴細胞浸潤的肺泡炎,累及肺泡壁和間質。肺泡炎和肉芽腫都可能自行消散。但在慢性階段,肉芽腫周圍的纖維母細胞膠原化和玻璃樣,成為非特異性的纖維化。肉芽腫的組織形態學表現並無特性,可見於分支桿菌和真菌感染,或為異物或外傷的組織反應,亦可見於鈹病、第三期梅毒、淋巴瘤和外源性變態反應性肺泡炎等,應行鑑別。但在多器官中見到同樣的組織病變,結合臨床資料,可診斷本病。
臨床表現
症狀和體徵視其起病的緩急和累及器官的多少而不同。胸內結節病早期常無明顯症狀和體徵。有時有咳嗽,咳少量痰液,偶見少量咯血;可有乏力、發熱、盜汗、食慾減退、體重減輕等。病變廣泛時可出現胸悶、氣急、甚至發紺。可因合併感染、肺氣腫、支氣管擴張、肺原性心臟病等加重病情。如同時結節病累及其他器官,可發生相應的症狀和體徵。如皮膚最常見者為結節性紅斑,多見於面頸部、肩部或四肢。也有凍瘡樣狼瘡(lupus pernio)、斑疹、丘疹等。有時發現皮下結節。侵犯頭皮可引起脫髮。大約有30%左右的病人可出現皮膚損害。眼部受損者約有15%的病例,可有虹膜睫狀體炎、急性色素層炎、角膜-結膜炎等。可出現眼痛、視力模糊、睫狀體充血等表現。有部分病人有肝和(或)脾腫大,可見膽紅素輕度增高和鹼性磷酸酶升高,或有肝功能損害。縱隔及淺表淋巴結常受侵犯而腫大。如累及關節、骨骼、肌肉等,可有多發性關節炎、X線檢查可見四肢、手足的短骨多發性小囊性骨質缺損(骨囊腫)。肌肉肉芽腫可引起局部腫脹、疼痛等。約有50%的病例累及神經系統,其症狀變化多端。可有腦神經癱瘓、神經肌病、腦內占位性病變、腦膜炎等臨床表現。結節病累及心肌時,可有心律失常,甚至心力衰竭表現,約有5%的病例累及心臟。亦可出現心包積液。結節病可干擾鈣的代謝,導致血鈣、尿鈣增高,引起腎鈣鹽沉積和腎結石。累及腦垂體時可引起尿崩症,下視丘受累時可發生乳汁過多和血清乳泌素升高。對腮腺、扁桃體、喉、甲狀腺、腎上腺、胰、胃、生殖系統等受累時,可引起有關的症狀和體徵,但較少見。結節病可以累及一個臟器,也可以同時侵犯多個臟器。
診斷鑑別
1 醫技檢查
1.1 實驗室檢查
1.11 血液檢查:活動進展期可有白細胞減少、貧血、血沉增快。約有1/2左右的患者血清球蛋白部分增高,以IgG增高者多見,其次是IgG、IgM增高較少見。血漿白蛋白減少。血鈣增高,血清尿酸增加,血清鹼性磷酸酶增高。血清血管緊張素轉化酶(SACE)活性在急性期增加(正常值為17.6~34u/ml),對診斷有參考意義,血清中白介素-2-受體(IL-2R)和可溶性白介素-2-受體(sIL-2R)升高,對結節病的診斷有較為重要的意義。也可以a1-抗胰蛋白酶、溶菌酶、ß2-微球蛋白(ß2-MG)、血清腺苷脫氫酶(ADA)、纖維連結蛋白(Fn)等升高,在臨床上有一定參考意義。
1.12 結核菌素試驗:約2/3結節病人對100u結核菌素的皮膚試驗無反應或極弱反應。
1.13 結節病抗原(Kveim)試驗:以急性結節病人的淋巴結或脾組織製成1:10生理鹽水混懸液體為抗原。取混懸液0.1~0.2ml作皮內注射,10天后注射處出現紫紅色丘疹,4~6周后擴散到3~8mm,形成肉芽腫,為陽性反應。切除陽性反應的皮膚作組織診斷,陽性率為75%~85%。有2%~5%假陽性反應。因無標準抗原,故套用受限制,近年逐漸被淘汰。
1.14 活體組織檢查:取皮膚病灶、淋巴結、前斜角肌脂肪墊、肌肉等組織作病理檢查可助診斷。在不同部位摘取多處組織活檢,可提高診斷陽性率。
1.15 支氣管肺泡灌洗液檢查:結節病患者支氣管肺泡灌洗液(BALF)檢查在肺泡炎階段淋巴細胞和多核白細胞明顯升高,主要是T淋巴細胞增多,CD4+、CD4+/CD8+比值明顯增高。此外B細胞的功能亦明顯增強。BALF中IgG、IgA升高,特別是IgG1、IgG3升高更為突出。有報導若淋巴細胞在整個肺效應細胞中的百分比大於28%時,提示病變活動。
1.16 經纖維支氣管鏡肺活檢(TBLB):結節病TBLB陽性率可達63%~97%,0期陽性率很低,Ⅰ期50%以上可獲陽性,Ⅱ、Ⅲ期陽性率較高。
1.2 X線檢查:異常的胸部X線表現常是結節病的首要發現,約有90%以上患者伴有胸片的改變。目前普通X線片對結節病的分期仍未統一。1961年,Scandding將結節病分為四期(1~4期),近年又將其分為五期(0,1~4期)。而目前較為常用的仍是Siltzbach分期,國內亦採用此分類方法。
1.21 0期 肺部X線檢查陰性,肺部清晰。
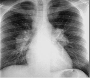
122 Ⅰ期 兩側肺門和(或)縱隔淋巴結腫大,常伴右氣管旁淋巴結腫大,約占51%。
123 Ⅱ期 肺門淋巴結腫大,伴肺浸潤。肺部病變廣泛對稱地分布於兩側,呈1~3mm的結節狀、點狀或絮狀陰影。少數病例可分布在一側肺或某些肺段。病灶可在一年逐漸吸收,或發展成肺間質纖維化,約占25%。
1.24 Ⅲ期 僅見肺部浸潤或纖維化,而無肺門淋巴結腫大,約占15%。
1.25 以上分期的表現並不說明結節病的發展的順序規律,Ⅲ期不一定從Ⅱ期發展而來。
1.3 胸部計算機體層掃描(CT):普通X線胸片對結節病診斷的正確率僅有50%,甚至有9.6%胸片正常的人肺活檢為結節病。因此,近年來CT已廣泛套用於結節病的診斷。能較準確估計結節病的類型、肺間質病變的程度和淋巴結腫大的情況。尤其是高分瓣薄層CT,為肺間質病變的診斷更為精確,其層厚為1~2mm。
1.4 67鎵(67Ga)肺掃描檢查:肉芽腫活性巨噬細胞攝取67Ga明顯增加,肺內結節病肉芽腫性病變和肺門淋巴結可被67Ga所顯示,可協助診斷,但無特異性。
2 診斷依據
2.1 臨床診斷
2.11 X線胸片:雙側肺門及縱隔淋巴結對稱性腫大(偶見單側肺門淋巴結腫大),伴或不伴有肺區域網路狀、結節狀、片狀陰影。必要時參考胸部CT進行分期。
2.12 活體組織病理檢查:證實或符合結節病。(取材部位可為表淺腫大的淋巴結、縱隔腫大淋巴結、支氣管內膜的結節、前斜角肌脂肪墊淋巴結,肝臟穿刺或肺活檢等)。
2.13 Kveim試驗陽性。
2.14 血清血管緊張素轉換酶(SACE)活性升高(接受激素治療或無活動性的結節病患者可在正常範圍)。
2.15 STU PPD-S試驗或STU結核菌素試驗為陰性或弱陽性反應。
2.16 高血鈣、高尿鈣,血鹼性磷酸酶增高,血漿免疫球蛋白增高,支氣管肺泡灌洗液中T淋巴細胞及其亞群的檢查結果,可作為診斷結節病活動性的參考指標。有條件時可作67鎵同位素SPECT顯像或γ照像,了解病變侵犯的程度和範圍。
2.17 具有1、2或1、3條者可診斷為結節病;第4、5、6條為重要的參指標,本病應綜合診斷、動態觀察,排除結核病、淋巴系統腫瘤或其它肉芽腫性疾病。
2.2 分型
2.21 胸內結節病:0期:無異常X線所見;Ⅰ期:肺門淋巴結腫大,而肺部無異常;ⅡA期:肺部瀰漫性病變,同時有肺門淋巴結腫大;ⅡB期:肺部瀰漫性病變,不伴肺門淋巴結腫大;Ⅲ期:肺纖維化。
2.22 全身多臟器結節病:胸內及胸外均受侵犯。(肺外淋巴結腫大、眼或皮膚病變多見,神經、消化、心血管、內分泌系統有時也可受累)。
2.23 結節病活動性的判定:①活動性:病情進展,SACE活性增高,免疫球蛋白增高或血沉增快。有條件時可做支氣管肺泡灌洗,根據灌洗液中的淋巴細胞百分數和T輔助細胞/T抑制細胞的比值,或作67鎵掃描來判定活動性;②無活動性:SACE、免疫球蛋白、T4/T8客觀指標基本正常。病情處穩定狀態。
疾病治療
1 治療原則
1.1 因多數病人可自行緩解,病情穩定、無症狀的病人不需治療。凡症狀明顯的Ⅱ、Ⅲ期病人及胸外結節病如眼部結節病、神經系統有結節病侵犯、皮膚、心肌受累、血鈣、尿鈣持續增高,SACE水平明顯增高等可用激素治療。常用潑尼松每日30~60mg,一次口服(或分次服用),用4周后逐漸減量為每日15~30mg,維持量為每日5~10mg,用一年或更長。長期服用糖皮質激素應嚴密觀察激素的副作用,其次可選用氯喹、甲氨蝶呤、硫唑嘌呤等治療。
1.2 凡能引起血鈣、尿鈣增高的藥物如維生素D,列為禁忌。
疾病預後
與結節病的病情有關。急性起病者,經治療或自行緩解,預後較好;而慢性進行性,侵犯多個器官,引起功能損害,肺廣泛纖維化或急性感染等則預後較差。死亡原因常為肺原性心臟病或心肌、腦受侵犯所致。有報導平均5年隨訪中34%病例完全恢復,30%改善,20%不變,病情惡化和死亡各占8%。

