病因
下丘腦病理圖發病機制:
肥胖性生殖無能綜合徵的性功能低下屬於下丘腦源性的因為多種原因
肥胖性生殖無能綜合徵CT圖使下丘腦黃體生成素釋放激素(LHRH)分泌障礙,導致黃體生成素(LH)及卵泡刺激素(FSH)分泌減少,而繼發性腺功能低下,動物實驗證實,累及正中隆起時促性腺激素釋放激素(GnRH)分泌低下,性功能不全可使生殖器萎縮。至於發生肥胖的原因則不是由於缺乏某種垂體激素而是由於下丘腦的損害動物實驗證明:損壞下丘腦的腹內側核及正中隆起,病人的飽感喪失而多食、肥胖。累及腹內側核時,胰島素分泌亢進,致使食慾亢進多食而肥胖。
肥胖性生殖無能綜合徵有時可伴有骨骼生長障礙,與下丘腦生長激素釋放因子及(或)垂體生長激素分泌不足有關。
臨床表現
肥胖性生殖無能綜合徵1.肥胖 病人身軀呈不均勻性肥胖,以頸部、軀幹及肢體的近端部最為顯著。特別是乳房區骨盆周圍及恥骨聯合區。由於脂肪的異常分布,骨盆顯得寬大,四肢相對細小。男孩常有乳房發育,故男性患者呈女性體型。
2.形體特點 病人的鼻、嘴及手往往較小,手指、足趾纖細,指(趾)甲小可有不同程度的膝外翻,肌肉張力減退,因而關節過度伸直。皮膚多蒼白、柔軟、乾燥。在年齡較大後,皮膚可呈細的皺紋,在腹部兩側及髖部周圍往往有白色萎縮性條紋身高的生長可為正常延遲或反而較正常生長迅速。成骨作用延遲,骨骺不融合,故當生長激素分泌正常時,身材可高於正常。
3.性發育不全 到發育期男性的陰莖、陰囊及睪丸仍不發育有時睪丸下降。男孩呈小睪丸、小陰莖或隱睪,第二性徵缺如由於生殖器陷在恥骨區的脂肪內故更加顯得細小。在發育期前甚難斷定是否有性發育不全,因為正常男孩在發育期前生殖器也未發育,不過有時發現生殖器的發育特別遲緩。女孩在發育前,未發現性發育不全,到發育期才發現無月經來潮,陰道及子宮皆不發育。無論男孩和女孩,陰毛及腋毛都不生長。男孩面部無鬍鬚生長,音調不改變如在成年發病,則陰毛腋毛脫落男性患者性功能減退,女性患者閉經。
4.原發疾病表現 如原發疾病為腫瘤,則可由於視交叉受壓迫而引起兩顳側偏盲。可有頭痛到晚期出現顱內壓增高的表現,眼底可發生變化,X線檢查可顯示蝶鞍損壞或擴大。
5.伴下丘腦綜合徵表現 由於下丘腦的損害,可伴有尿崩症,體溫不穩定及嗜睡,智力大多正常亦可智力減退。
併發症
肥胖部分性垂體性尿崩症可給予氫氯噻嗪(雙氫克尿塞)25~50mg,口服,3次/d。同時忌飲咖啡等。氯貝丁酯(安妥明)0.25~0.5g,口服,3次/d卡馬西平0.1g,口服,3次/d可有白細胞降低、肝損傷嗜睡、眩暈、皮疹等不良反應完全性垂體性尿崩症應補充抗利尿激素,常用有油劑鞣酸加壓素(長效尿崩停)(5U/ml),從0.1ml開始,深部肌注一般用0.3~0.5ml,以維持5天左右為宜不良反應有頭痛、血壓升高、腹痛等。粉劑鞣酸加壓素(50U/ml)5~10U,鼻吸,每4~6小時1次,可引起慢性鼻炎而影響療效1-半胱氨酸-8-右鏇精氨酸加壓素增加抗利尿活性,減少不良反應從0.1mg/d開始,根據尿量逐漸增加劑量,調整至尿量在2000ml/d左右的劑量為維持量一般為0.1~0.2mg,口服,2~3次/d,或4mg/ml,肌注,2~3次/d,警惕過量引起水中毒,如面色蒼白、腹痛、血壓升高。因腫瘤引起者,宜手術或放射治療。腎性尿崩症也可試用氫氯噻嗪,劑量同前。
診斷
肥胖生殖無能綜合徵的診斷往往濫用於肥胖而性發育較遲緩、體態似女性的男孩,實際這些兒童中的大多數都發育完全(青春期延遲)。
1.一般有不勻稱的肥胖,性功能減退。
2.血尿液中促性腺激素減少或消失。
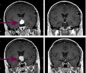
3.頭部X線攝像及CT、MRI可顯示腫瘤。有顱內疾患的表現者,才符合肥胖性生殖無能綜合徵的診斷標準。
鑑別診斷:
需與本綜合徵鑑別的疾病有數種性腺病變所致的原發性性腺功能減退症伴肥胖。主要鑑別是血、尿中促性腺激素高於正常,本綜合徵血、尿促性腺激素甚低。與垂體單一性促性腺激素分泌不足(又稱選擇性垂體性性幼稚)所致的性功能幼稚症相鑑別,單純性促性性腺激素缺乏時LHRH興奮試驗無反應。
檢查
GnRH(10肽)刺激試驗:
1.原理 促性腺激素釋放激素(GnRH)刺激垂體釋放LH和FSHLH反應較FSH快而明顯。
2.方法
(1)單次靜脈注射法:不需空腹,1次靜脈注射人工合成的GnRH 100μg,注射前和注射後15、30、60120min分別取血測定LH和FSH。
(2)240min連續靜脈點滴法:將240μg人工合成的GnRH溶於480ml生理鹽水中,以1μg/min速度連續點滴4h,點滴前和點滴後15、30、60、90120、150、180、240min分別取血測定LH和FSH。
正常反應是LH增加基礎值的2~9倍,淨增加5.3~22U/L;FSH增加基礎值的1.5~5倍,淨增加4.4~10U/L。`13天刺激後性激素升高3倍以上青春期延緩者刺激後性激素上升到正常水平,反應比HH好
其它輔助檢查:
頭部X線攝像,CT、MRI的檢查,可顯示腫瘤。
治療
肥胖1.病源為下丘腦或垂體腫瘤、視神經腫瘤 根據其性質以及是否引起壓迫症狀考慮放射或外科手術治療。
2.內分泌紊亂方面的治療 性腺功能減退可用LHRH、HCG或性激素替代治療:
(1)雄激素替代治療:每天口服甲睪酮製劑30mg或肌注丙酮睪酮25mg,每周3次。還可以選用肌注長效睪酮製劑,如庚酸睪酮,第1年,50mg/次,1~2次肌注第2年100mg第3年200mg。雄性激素可使喉音變低沉,陰毛生長,外生殖器發育。女性病人可採用雌激素替代治療。
(2)促性腺激素治療:HCG 1000~1500U,每周3次肌注。最恰當的方法是套用人工合成的GnRH 10肽脈衝型自動輸注泵間歇輸注治療,12.5mg/次,間歇90min自動輸注1次。
(3)甲狀腺功能低下時以甲狀腺激素製劑替代治療。
(4)肥胖可用飲食控制及套用西布曲明。
預後:
腫瘤、炎症、血管損傷先天缺陷及外傷等原因累及腹內側核時,食慾亢進、肥胖。累及正中隆起部時,GRH分泌低下,性機能不全,甚至成人生殖器還可萎縮。
