疾病名稱
股骨髁部骨折股骨髁部骨折
疾病分類
骨與創傷科
症狀體徵
休克、軟組織傷、出血、骨折。
疾病概述
股骨髁骨折,可並發膕動脈、神經及其周圍軟組織的廣泛損傷。在伴有相鄰支持結構如側副韌帶、交叉韌帶損傷時,可造成膝關節不穩定,也因股四頭肌、髕上囊損傷而造成伸膝裝置粘連,損害膝關節功能。骨折可造成股骨髁與脛骨平台、髕骨與股骨關節面之間,相應關節的破壞,改變了正常膝正常的解剖軸與機械軸,破壞了膝關節正常負荷與傳導。股骨髁骨折易發生骨塊分離而不產生塌陷,易於產生“T”或“Y”型骨折。
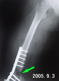
治療:無移位或輕度移位的股骨髁骨折,抽出關節內積血,加壓包紮。用牽引或石膏托固定4~6周后開始活動膝關節。隨著內固定器材不斷改進,使比較複雜的股骨髁骨折,也能得到較為可靠的內固定,因此當前在治療方面的總趨勢,傾向於手術。手術指征除與一般關節內、關節旁骨折所共有外,在此部位還有以下幾種情況。合併韌帶或半月板損傷,合併嚴重的血管神經損傷,以及骨折塊游離,血液供應不良。內固定方法如下:
(1)角鋼板 鋼板呈95°角,可保證骨折部位穩定。
(2)鋼板螺絲釘 包括專門用於股骨髁骨折的鋼板螺絲釘與人工彎曲後使其與股骨髁部相適應的普通鋼板。特點是適應性強,使用方便簡單。但在鋼板與螺絲釘的連線部位易出現鬆動,甚至斷裂,故難於保證骨折的部位的穩定,常需與石膏外固定並用。為克服這些缺點,有人已設計出新型的鋼板螺絲釘。此外還有“AO”的T型鋼板,此種鋼板遠端寬,並有多個螺孔,使螺絲釘能從前方或後方導入骨孔,固定股骨髁。
(3)螺絲釘、螺栓、加壓螺絲釘。
疾病描述
股骨髁骨折占全身骨折的0.4%,但其療效卻不滿意。股骨髁周圍有關節囊、韌帶、肌肉及肌腱附著。骨折塊受這些組織的牽拉,不易復位也不易維持復位。股骨髁骨折,可並發膕動脈、神經及其周圍軟組織的廣泛損傷。在伴有相鄰支持結構如側副韌帶、交叉韌帶損傷時,可造成膝關節不穩定,也因股四頭肌、髕上囊損傷而造成伸膝裝置粘連,損害膝關節功能。骨折可造成股骨髁與脛骨平台、髕骨與股骨關節面之間,相應關節的破壞,改變了正常膝正常的解剖軸與機械軸,破壞了膝關節正常負荷與傳導。股骨髁骨折易發生骨塊分離而不產生塌陷,易於產生“T”或“Y”型骨折。
診斷檢查
1、詢問傷情
股骨髁部骨折包括受傷原因、時間、地點、受傷時身體姿勢及何部先著地,如有創口或出血,還應詢問創口處理經過,是否用過止血帶及上止血帶時間。
2、全面體檢
注意有無休克、軟組織傷、出血、檢查創口大小、形狀、深度及污染情況。有無骨端外露,有無神經、血管、顱腦、內臟損傷及其他部位的骨折。對嚴重傷員必須快速進行。
3、X線檢查
除正、側位X線攝片外,尚應根據傷情拍攝特殊體位相,如開 口位(上頸椎損傷)、動力性側位(頸椎)、軸位(舟狀骨、跟骨等)和切線位(髕骨)等。複雜的骨盆骨折或疑有椎管內骨折者,尚應酌 情行體層片或CT檢查。
治療方案
無移位骨折可行石膏固定。單髁、雙髁骨折伴有移位者及髁間粉碎骨折多需開放復位及骨栓、螺釘或鋼板固定,附加 石膏固定4~6周 後早期 功能活動,臨床癒合後方可下地負重。
用藥安全
1、股骨髁骨折易發生骨塊分離而不產生塌陷,這是由於三角形髕骨如同楔子指向股骨髁解剖上的弱點髁間窩,易將兩髁劈開。
2、股骨幹有一向前彎的弧度,前面骨皮質堅固,後面的骨皮質又為股骨粗線所增強。因此骨折易發生在股骨髁附近,皮質骨移行成為松質骨薄弱部。

