流行病學
肝纖維板層癌FLC是肝細胞肝癌(HCC)的一種特殊組織學亞型。HCC在歐美地區雖較少見,但FLC在HCC中之比例卻很高Wood報導的62例HCC中有15例(24.19%)為FLC;Farhi等報導35歲以下無肝硬變的HCC患者中FLC占43%然而在HCC多發的東南亞及非洲南部地區卻極少見迄今全世界報導的FLC至少有200例但屬亞洲及南部非洲的病例尚不足10例,僅見日本韓國分別報導2例和1例中國報導3例。
病因
肝纖維板層癌FLC的病因尚不清楚其發生率存在著兩半球間的差異,提示可能有種族或環境因素的作用。FLC不存在B型肝炎病毒感染及肝硬變背景主要發生在35歲以下的年輕人,男女之比為1∶1.07大致相近可見年齡性別分布與良性腫瘤相似。有學者認為FLC由局灶性結節性增生轉變而來;另有學者則認為FLC來源於上皮細胞的增殖,繼之纖維生長導致纖維板層形成及細胞癌變。
發病機制
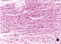
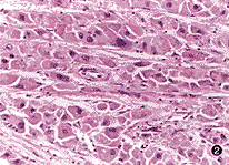
FLC多發生於無硬變的肝臟,腫瘤大多位於左肝葉,常為單個,瘤界清晰,邊緣呈扇形質地硬,剖面見纖維間隔橫貫瘤體;鏡下可見瘤細胞呈巢團狀,部分呈相互吻合的瘤細胞索,周圍有緻密的纖維組織呈板層樣包繞,瘤細胞較大,呈立方或多角形,胞漿豐富,呈強嗜酸性,核仁明顯,瘤組織內血竇豐富(圖1)。
臨床表現
FLC常發生於5~35歲的兒童和青少年,偶見於中老年人但筆者報導3例FLC病人中僅1例在35歲以下,平均年齡45.6歲男女發生率大致相同腹部不適、腹痛、腹脹、乏力、厭食、體重減輕是常見主訴三分之二的患者可觸及腹塊黃疸較少見上述症狀和體徵在診斷前平均11個月即已出現,比一般肝細胞癌早2.8個月。
併發症: 病人可出現乏力食欲不振、消瘦等。
診斷
年青患者,特別是女性病人出現上述症狀和體徵應針對性地做一些相關的檢查,組織學檢查可明確診斷
1.臨床表現
2.實驗室及其他輔助檢查
鑑別診斷
FLC應與普通型的肝細胞肝癌(表1)肝局灶性結節性增生、肝腺瘤及轉移性肝癌相鑑別。
肝臟局灶性結節性增生診斷較困難但影像學檢查可幫助與FLC鑑別。局灶性結節性增生的超聲CT均可發現肝占位,但核素顯像提示攝取過度或正常攝取,而FLC則為放射性缺損。肝腺瘤主要見於有口服避孕藥史的育齡婦女99mTc-PMT延遲顯像提示肝腺瘤呈強陽性病理檢查可作出明確診斷。但FLC的鑑別診斷有時較困難。尚須藉助電鏡和組織化學染色來進一步明確診斷。繼發性肝癌有原發癌病史或證據.超聲圖像上主要表現為多個類圓形病灶腫塊較小時低回聲多見,腫塊大時則多為高回聲。CT圖像上表現為多個類圓形或不規則的低密度病灶。
檢查
實驗室檢查
1.肝功能檢查如ALTAKP及血清膽紅素可有輕度到中度升高;少數FLC患者(10%)血清AFP升高,約14%的患者HBsAg陽性。
2.一些腫瘤標誌物常有助於診斷如血清不飽和維生素B12結合力維生素B12濃度及血漿神經緊張素(neurotensin)CEA等常升高。由於FLC缺乏臨床特徵且須鑑別的肝臟腫瘤甚多。
3.FLC的病理診斷有:
(1)H-E染色可見瘤細胞漿內有豐富的強嗜酸性顆粒。
(2)膠原纖維和纖維母細胞平行排行呈板層狀包繞巢狀索狀或片狀分布的瘤細胞群。
其它輔助檢查
1.平片可見腫瘤內有鈣化灶。
2.超聲檢查可顯示腫瘤內有均質和纖維化的特點均質的強回聲團塊和由鈣化導致的強回聲後方影是其典型特徵。
3.CT增強掃描顯示纖維層癌密度顯著增強。
4.血管造影檢查顯示為多血管團,著色顯著在毛細血管期常可見間隔。
5.核素顯像示放射性缺損。
治療
FLC患者因腫瘤多位於左肝且瘤界清患者年輕、無肝硬變史首選治療可行半肝切除術如腫瘤巨大超過半肝,亦可行肝臟左或右葉切除術FLC切除後5年生存率可達63%。對姑息性切除者可輔以放療或化療;對肝腫瘤無法切除而尚無肝外轉移者。可採取先行肝動脈結紮、插管化療,待腫瘤縮小後再行切除的“二步”方案;亦可行肝移植術。而FLC是肝移植治療原發性肝癌中唯一效果較好者;亦可經導管肝動脈栓塞術以縮小腫瘤和緩解症狀由於FLC患者腫瘤切除後復發較晚且生長緩慢.對復發腫瘤可再次手術切除復發灶或肝外轉移灶。因FLC細胞可分泌維生素B12結合蛋白及神經緊張素故此兩項指標可用於術後監測腫瘤的消長。
預後
一般臨床期的肝細胞肝癌的中位生存期6個月,而FLC即可達32~68個月.總5年生存率為36%.遠較肝細胞肝癌預後佳.其主要原因是FLC腫瘤生長緩慢惡性程度低及手術切除率高即使腫瘤無法切除且有遠處轉移。患者的生存時間亦較長平均為24個月。

