疾病概述
FNHFNH(Focal Nodular Hyperplasia)即肝臟局灶性結節增生,是一種肝臟良性占位性病變,較少見,多好發於年輕女性,但與口服避孕藥無關。FNH是僅次于海綿狀肝血管瘤的第二位肝臟良性腫瘤,表現為肝臟內界限分明的結節,一般小於5cm。在結節切面中有特徵性的中央性星型瘢痕,自纖維化軸心區向周圍呈纖維索狀,形如舵輪。中央瘢痕含有增生的膽小管和肝動脈,但無門靜脈。本病多發於40~50歲,90%為女性患者。該病發病機理不太明確,曾認為與口服避孕藥有關,但發現不少病例無服藥史,而認為可能與錯構過程、局灶性損傷、血管功能不全有關。也有認為由於動脈對局部肝實質灌注過多,從而導致繼發性肝細胞增生。大多數病人無明顯自覺症狀,常在影像檢查或其他疾病剖腹手術時無意被發現。
病理生理
目前認為,FNH是肝細胞對先天性血管發育異常的一種增生性反應,由正常肝細胞異常排列形成,內可有小膽管,但不與大膽管相通,有庫普弗細胞(Kupffer)細胞,但常沒有功能。其最大的病理特點是以星狀纖維瘢痕組織為核心向周圍呈輻射狀分布的纖維組織分隔, 星狀瘢痕組織內通常包含1條或數條動脈。與肝腺瘤相比,FNH的病灶通常較小,約84%直徑小於5cm,較少出現壞死、出血。FNH病變中央的“星形”瘢痕並非真性瘢痕,而是血管與膽管的聚積,有30%的FNH不出現中心瘢痕。
FNH(典型FNH的組織學特徵:切除的大體標本顯示黃色結節,大小不一(直的黑色箭頭),周圍多發性分隔(空心短箭頭)和中央瘢痕(梅花標記)。中央瘢痕含大的血管(彎曲的黑箭頭)。正常肝組織(白箭頭)位於FNH周圍。注意病灶表面無纖維包囊。)
FNH(非典型FNH的大體和組織學特徵:切除標本的大體組織學切面顯示為非典型FNH(梅花標記),病灶既無明顯的分隔,也沒有中央瘢痕。正常肝組織圍繞FNH,無纖維包裹。)
鑑別診斷
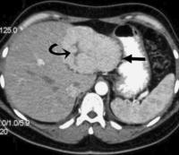
FNHFNH運用螺鏇CT常可正確診斷。之前有必要先了解一下FNH的血供。
(FNH的血供:FNH病灶的示意圖 (左)顯示含結締組織、較大的厚壁動脈及多發的毛細血管的分隔,以及導管增生及炎細胞浸潤。富含毛細血管的網路,可以為肝細胞和肝竇提供動脈血,提示多數FNH影像學檢查時的高度富血供性質。肝竇匯流入靜脈。FNH的畸形的動脈起自肝動脈,其靜脈回流至肝靜脈,注意FNH不含有門脈)
平掃FNH表現為等密度或略低密度,中心瘢痕結構呈更低密度,邊界不清或欠清。平掃表現只能發現病
灶,等密度病灶可能遺漏,更無法定性。由於隨著螺鏇CT 的套用, 可動態觀察病灶在各期掃描的強化特徵,
這使實現FNH 的術前正確診斷成為可能。(1)動脈期掃描:FNH 因富含血管,動脈期均有明顯強化且除中心
瘢痕外強化均勻一致。(2)門脈期掃描:大多數病灶為稍高密度或等密度,伴有中心瘢痕者,瘢痕未見強化;
(3)延遲期掃描:門脈期和延遲期表現為稍高密度或等密度反映了FNH的富血供的特點,為與其他肝內占位性
病變的鑑別診斷提供了幫助。 瘢痕延遲強化是FNH的特徵性CT表現。
鑑別診斷:
需與其鑑別的腫瘤包括肝細胞肝癌(HCC)、血管瘤及少見的肝纖維板層樣肝癌(FLHCC)、肝腺瘤等。與HCC 鑑別要點: (1) HCC 主要由肝動脈供血, 早期強化, 但其強化特徵為“早進早出”, 門脈期和延遲期掃描大多數病灶為低密度,界限一般清楚;FNH為除中心瘢痕外均勻顯著強化,界限往往不清或欠清,門脈期和延遲期掃描病灶為稍高密度或等密度。(2) 較大的HCC病灶強化往往不均勻, 因為其中心往往發生壞死, 而FNH 病灶除中心瘢痕外, 病灶的強化均勻一致, 且瘢痕的有無和病灶的大小無關。 (3) HCC 動脈期掃描有時可見到供血動脈, 較細小, 但顯示幾率低且多位於周邊。 (4) 中心顯示瘢痕以及瘢痕的延遲強化高度提示FNH 的診斷,(5)包膜的出現則高度提示HCC 的診斷;與血管瘤鑑別要點[3]:典型的血管瘤增強特點為早期從周邊開始呈結節狀或環形強化, 逐漸向中心擴展, 延遲期等密度或高密度充填。而FNH 的強化方式為中心向四周彌散且均勻一致, 兩者不難鑑別。但也有少數不典型的血管瘤, 在動脈期掃描中明顯強化呈高密度, 而門脈期和延遲期掃描中為等密度, 這和FNH 難以鑑別。MRI 的檢查有利於兩者的鑑別;肝腺瘤為肝內少見的良性腫瘤,女性多見,與口服避孕藥有關,其具有出血和惡性變的傾向, 主張手術治療。腺瘤常可顯示包膜,血供豐富, 在螺鏇CT 多期掃描中的CT表現和FNH 相似,兩者的鑑別有時比較困難。99m Tc 膠體硫核素掃描, 如病灶內有濃聚, 可提示FNH的診斷;另外FNH 還需與較少見的肝纖維板層樣肝癌(FLHCC) 鑑別。FLHCC 也可無肝硬化,並可見病灶中央低密度瘢痕區,但部分FLHCC 病灶平掃可見鈣化, 增強後無明顯特徵, 與FNH 強化特徵不同。
鑑別要點
主要是跟肝細胞癌(HCC)的鑑別,對下一步治療方案有決定性的意義。除了影像學檢查(CT,MRI、造影彩超)以外,病史,B肝三系,HBV-DNA,腫瘤標記物(AFP),穿刺活檢都是重要的診斷手段,其中活檢病理是金標準。
惡變治療
目前FNH尚無發生惡變的報導。鑒於纖維板層型肝細胞癌有時會呈現類FNH樣瘢痕,因此,對疑有FNH癌變的病例應首先排除纖維板層型HCC和高分化HCC的可能性。對大於5cm,進行性增大的FNH,建議手術治療,方式為規則肝葉或肝段切除,標本送病理。
