先天性肝纖維化為一種罕見的遺傳性先天性畸形,以門管區結締組織增生、小膽管增生為特徵,病程後期一般均會導致門脈高壓症,50%的患者可因消化道大出血死亡。Kerr等(1961)首次將該病命名為先天性肝臟纖維化。
發病原因
先天性肝纖維化(CHF)屬常染色體隱性遺傳性疾病,其父母任一方若為雜合子,其表型多正常,而其子女患CHF之機會均等。可一家同時有數人發病,近親結婚者的子女可增加患本病的機會。
發病機制
肝臟增大質地變硬,肝匯管區面積增寬,門靜脈分支減少、閉塞或狹窄,周圍纖維組織增生;肝內膽管擴張和增生,擴張膽管覆以正常的柱狀上皮細胞;與小兒肝硬化的組織學改變不同的是肝細胞和肝小葉結構正常,無肝細胞壞死及再生出現。
以繼發性的門脈高壓症及其併發症為主要表現,部分病人合併有Caroli病(先天性肝內膽管擴張)或多囊腎,則可同時伴有此二種疾病的臨床表現。
多數病人在5~20歲出現症狀,但小部分病人可在出生時即出現。主要表現為嘔血、便血(消化道曲張靜脈破裂出血)、腹部包塊(肝脾腫大)、肝脾區不適或脹痛、貧血(脾亢所致)、反覆發作的發熱(並發膽管感染所致)。合併Caroli病時可伴有反覆發作的上腹痛(並發肝內膽管結石)、發熱、黃疸等。合併多囊腎者可最終出現尿毒症的症狀。
智力、體格發育一般正常,多數病人常同時發現有肝脾腫大,以脾大最為常見,肝脾質地均較硬,表面光滑,並發感染時伴肝區叩痛。部分病人臍周皮下靜脈曲張(海蛇頭樣靜脈曲張),可能聞及臍旁響亮的靜脈營營聲(Kennedy征陽性),此即所謂Cruveilhier綜合徵,系門脈高壓所致。與其他疾病所致門脈高壓症不同,本病一般不出現腹水,亦無蜘蛛痣。合併多囊腎者,可同時捫及雙腎腫塊,並可有腎性高血壓。
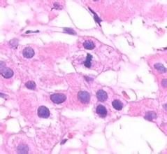
肝臟組織學特徵為診斷的重要依據,術中取切片可確診。
肝纖維化是怎么回事
肝纖維化是指肝臟內瀰漫性細胞外基質(特別是膠原)過度沉積。它不是一個獨立的疾病,而是許多慢性肝病的共同病理過程。幾乎各種慢性肝臟疾病均可引起肝纖維化,其病因大致可分為感染性(慢性乙型、丙型和丁型病毒性肝炎,血吸蟲病等),先天性代謝缺陷(肝豆狀核變性、血色病、α1-抗胰蛋白酶缺乏症等)及化學毒物性(慢性酒精性肝病、慢性藥物性肝病)及自身免疫性肝炎、原發性膽汁性肝硬化和原發性硬化性膽管炎等。在正常肝組織中,各種細胞及細胞外基質成分有精確的相對比例和特定的相對空間位置,通過細胞之間、細胞與細胞外基質之間的信號傳遞精確地調控著其結構、功能和代謝狀態,成為一個相對穩定的微生態系統。
急性肝損害所致肝臟纖維增生是機體對於肝實質損傷的一種修復反應,一旦病因去除則過多的細胞外基質被降解,肝組織內細胞與基質成分恢復正常,因而不產生肝臟纖維化。但慢性肝病所致的持續或反覆的肝實質炎症壞死可引起纖維結締組織大量增生、而其降解活性相對或絕對不足,因此大量細胞外基質沉積下來形成肝纖維化。
症狀
先天性肝纖維化根據不同的臨床表現,可以分為:門脈高壓型、膽管炎性、門脈高壓合併膽管炎型和無症狀型。先天性肝纖維化以繼發性的門脈高壓症及其併發症為主要表現,也有一部分可能合併先天性肝內膽管擴張或多囊腎。
先天性肝纖維化症狀出現較早,一般成年之前會出現症狀,一般症狀主要為嘔血、便血、肝脾區不適或脹痛、貧血、腹水、膽道感染伴發熱、黃疸、腹痛等。如果合併多囊腎的患者,可能會出現尿毒症。一般不並發肝性腦病以及肝功能衰竭。
常規檢查
血常規可正常,但有脾亢者則外周全血細胞減少,各項肝功能指標一般正常,但少數人可有AKP及(或)γ-GT輕度升高。合併多囊腎者,後期可出現血肌酐及尿素氮升高。
食管吞鋇及胃鏡早期可無異常發現,病情進展後一般均可見食管胃底靜脈曲張。B超及CT可見肝脾腫大、門靜脈擴張、脾靜脈擴張、胃冠狀靜脈擴張及門脈高壓。合併多囊腎者,可發現雙腎多發性囊性病變。肝臟穿刺活檢一般可發現典型的先天性肝纖維化病變。但少數情況下,若穿刺部位恰好為正常的門管區時,則可誤診為正常肝組織。
先天性肝纖維化可以通過肝組織病理活檢診斷,病理特點為:1、肝組織內呈現寬大緻密且炎症不明顯的膠原纖維間隔,或纖維束瀰漫穿插於固有的肝小葉內;2、肝細胞板排列大致正常,一般無肝細胞結節性再生,不形成典型的假小葉結構;3、肝內膽管擴張和增生,擴大的膽管上皮覆以正常的柱狀上皮細胞,可伴有肝內膽管發育畸形或海綿狀擴張。
確診檢查
影像學檢查:B超、CT及核磁共振成像等影像學檢查可以發現肝纖維化的某些徵象,如肝臟輪廓、大小、及肝實質信號強弱的改變;肝臟血管內徑及血流方向、速度的改變;脾臟大小的改變等。但是,這些影像學檢查不能對纖維化做出確診,更難於準確判斷肝纖維化的嚴重程度,故只能作為一種輔助診斷。
血清指標:是目前套用最為廣泛的肝纖維化診斷方法,包括血清Ⅲ型前膠原氨基端前肽(P-Ⅲ-P)、Ⅲ型前膠原(PC-Ⅲ)、Ⅳ型膠原、透明質酸(HA)、層連蛋白 (1N)等。血清化驗的優點是取材方便、容易複查;定期檢查可以根據其變化總趨勢來了解肝纖維化的發展情況,也可大致了解抗纖維化治療的臨床效果。但血清檢查不如肝穿刺檢查來得直接,對於某一病人來說,往往很難根據一次化驗指標高低來確定肝纖維化的程度。
病理學診斷:肝組織病理學活檢是診斷肝纖維化的最可靠方法。通過肝穿刺活檢,不僅可以明確是否存在肝纖維化,還可以判斷肝纖維化的程度。這對指導臨床治療和估計預後很有幫助。目前在臨床上,肝穿刺的設備和技術已很完善,病人的痛苦也很小,在有經驗的肝病專科醫生手中發生嚴重併發症者極少 。
診斷方法
1、影像學診斷:對纖維化的特異性識別是影像學研究的一個重要問題,但X線和B超不能對纖維化作出確診和鑑別診斷。近年來,有人試圖利用磁共振成像法來協助診斷纖維化病變。
2、病理學診斷:到目前為止,肝纖維化診斷最可靠的辦法仍然是肝組織活檢。但肝組織活檢本身也存在許多問題,如肝臟病變的不均勻性而導致的取樣誤差,以及由於存在一定的損傷性,患者難以接受,很難反覆取材等,故而不能動態地觀察肝纖維化及纖維化形成的情況。另外,目前還沒有可靠的辦法確定肝組織膠原的含量,僅根據肝內纖維增生的情況進行大概的估計,因此有一定的局限性。
3、血清學診斷:血清學診斷是研究最廣泛的肝纖維化診斷方法。由於該法取材方便,價格低廉,因而較為實用。其中最重要的為與膠原有關的指標,特別是Ⅲ型前膠原氨基端前肽(PⅢ P),是至今臨床運用最廣泛的一個指標,另外,Ⅲ型前膠原(PCⅢ)、IV型膠原及其片段,板層素(LN),纖維連線素(FN)等,報導亦較多,對肝纖維化的診斷價值較大。
治療
1、大多數無伴發病的CHF只需處理其併發症,如消化道出血,出血不多者可給予止血劑、輸血、三腔二囊管壓迫止血,給食管胃底曲張靜脈注射硬化劑或圈套結紮等。出血兇猛、量大者,經上述處理無效時,可予急症門奇斷流(如賁門周圍血管離斷術),反覆發作上消化道出血,威脅患者生存,或套用上述方法無效時,可考慮行門體分流術。
2、單純脾切除術曾被用於CHF表現為脾亢的患者,但因不能有效防止上消化道出血,且影響將來可能要進行的門體分流術的操作,故已不用。
3、CHF伴發無症狀的靜止型Caroli病時,一般不主張行膽道探查術,因可導致膽道感染。伴發非靜止型Caroli病者,其處理參見膽道疾病有關內容。
4、伴發終末期先天性腎臟病的患者,考慮行腎移植術。
怎樣預防B肝小三陽肝纖維化
B肝小三陽是可能發展為肝纖維化的,近些年發現多年小三陽癌變率上升,有一些小三陽攜帶者,其中有90%的小三陽攜帶者,做肝活檢,都可以檢測出肝細胞輕微炎症,但是由於肝臟的代償能力很強,所以一些人做肝功檢查時,結果會顯正常,而這些炎症會經過長時期的日積月累,就容易發生肝纖維化。那么怎樣預防B肝小三陽肝纖維化,如果在小三陽肝纖維化時能得到及時有效的治療,通常肝病是可以逆轉的,不然發展為肝硬化或肝癌,病情逆轉就很困難。其實B肝病情要早發現早治療,在肝炎時期,如果得到正規的治療,通常肝病病情都可以得到控制,這樣就可以防止肝纖維化的發生 。
預後
本病為遺傳性疾病,現無根治方法。對已出現肝脾腫大、反覆嘔血、便血等門靜脈高壓症狀的病兒應及時行分流術或脾切除、食管賁門胃底斷流術,手術成功則預後良好。近來肝移植也被用於治療此病。如果病兒合併肝內膽汁淤積、膽管炎及敗血症,或合併腎盂腎炎、腎性高血壓、腎功能衰竭等腎臟病變將影響預後。
肝纖維化與肝硬化的區別
肝纖維化的診斷:噁心、食少、乏力等症狀和肝功能異常史,或兼有蜘蛛病、肝掌征,或面色灰暗、舌有瘀斑或斑點。B超檢查肝回聲粗強,門靜脈內徑增寬,脾臟腫大,重者有肝回聲不均勻,肝表面不光滑。
肝硬化的診斷:可伴有腹脹不適、噁心、上腹隱痛、輕微腹瀉等。有的患者可出現嘔吐、口乾、口苦、噁心、厭油、暖氣等非特異性消化道症狀,上述症狀時輕時重。[2]
1、肝纖維化是病情學上的概念,而肝硬化則是一種慢性疾病的臨床名稱,有明確的診斷指標。
2、肝纖維化是由肝臟內瀰漫性細胞外基質過度沉積而引起的;而肝硬化則是過度纖維化使肝臟萎縮變硬而引起的。
3、肝纖維化是向肝硬化過度的階段,病情較輕,可逆轉。
4、肝纖維化目前還沒有被認為是一種獨立的疾病;而肝硬化則是一種常見的慢性肝病,可以作為一種獨立的疾病存在。
肝纖維化的危害
肝纖維化是肝臟組織結締組織異常增生,導致肝內瀰漫性細胞外基質過度沉澱的病理過程,肝臟發生結節,最主要的是肝細胞的壞死造成的嚴重肝臟損傷,肝纖維化是導致肝硬化最直接的兇手,如果患者不治療或者錯誤治療,就會導致肝臟進一步損傷,嚴重者可形成肝硬化。
肝硬化是在肝纖維化的基礎上發展而來的,但肝纖維化在肝硬化之前的危害也不容忽視,那肝纖維化的危害有哪些呢?肝纖維化就是肝臟上面的疤痕,由於疤痕的存在會使多種生命機能受到損傷,肝臟的組織結構失去正常形態,肝細胞萎縮、間質纖維化,是各種病因引起慢性肝損傷後的瘢痕修復反應。
肝纖維化對肝臟的影響還有以下幾個方面:
第一,由於肝纖維化的存在,使得正常肝細胞之間的血液微循環通道因纖維組織成分的沉積而造成循環障礙,影響肝細胞的血液供應,使因炎症受損的肝細胞不易修復甚至加重損傷,直至功能正常的肝細胞愈來愈少,最後導致肝功能衰竭,嚴重者會導致死亡。
第二,因為肝組織結構的破壞,使肝內血管受壓扭曲、閉鎖或動脈與靜脈之間出現“短路”吻合,造成門靜脈系統血管阻力增大,形成門靜脈高壓,導致脾腫大、腹水生成和胃底食管靜脈曲張,對上消化道會有一定的影響,病情嚴重還會出現上消化道出血,上消化道大出血是致命的併發症。

