簡介
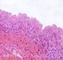
移行上皮細胞移行上皮細胞(transitionalepithelium):塗片中表層細胞體積大,呈扁圓形或多邊形,胞膜光滑,可見雙核或多核,大小相當於鱗狀上皮表層細胞,又稱傘細胞或蓋細胞。胞核圓形或卵圓形,染色質呈細顆粒狀,分布均勻,核仁不明顯,底層細胞為圓形或多邊形,核居中位,染色質較緻密,中層細胞介於前者之間,鏟圓形或倒梨形,也可呈多邊形,梭梭形。由於尿液滲透壓的變化,尿液中脫落的移行上皮細胞常有不同程度的變性。正常時少見,有多種形態,如呈尾狀稱尾狀上皮,含有一個圓形或橢圓的核,胞質多而核小,在腎盂、輸尿管或膀胱頸部炎症時可成片脫落,但其形態隨脫落部位而稍有區別。正常人尿中可有少量脫落的上皮細胞。尿液中上皮細胞明顯增多,提示該細胞脫落部位有病變。移行上皮細胞來自於腎盂、輸尿管、膀胱和尿道近膀胱段等處的移行上皮細胞脫落。1、表層移行上皮細胞:膀胱炎時可成片脫落。中層移行上皮細胞(腎盂上皮細胞):這種細胞多來自於輸尿管及膀胱頸部。

