臨床表現
皮損表現為丘疹或結節,直徑小於1cm,主要分布於頭頸部,有時分布於軀幹上部,常為膚色,有時為淡黃色。多發性皮脂腺腫瘤,可能是Muir-Torre綜合徵的一個體徵,其他體徵還包括多發性角化棘皮瘤和內臟癌,特別是結腸癌。
檢查
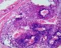
皮損組織病理顯示腫瘤局限,與表皮相連,腫瘤由基底樣皮脂腺生髮層細胞與成熟的皮脂腺細胞組成,成熟的皮脂腺細胞占優勢。多層基底樣皮脂腺生髮層細胞位於腫瘤小葉的外周,皮脂腺細胞位於中央。
治療
本病是皮膚良性腫瘤,不需治療。如果治療可採取手術切除。對於皮脂腺腺瘤的患者建議進行結腸癌的篩查。

