概述
白血病是造血組織的一種惡性疾病。多數病人早期常有咽部病變,表現為扁桃體和咽峽部潰瘍壞死,稱之為白血病性咽峽炎。由於白細胞異常增殖,可產生大量異常的白血病細胞,廣泛地浸潤到體內各組織和器官而產生不同的臨床表現。
病因
由於白細胞異常增殖,可產生大量異常的白血病細胞,廣泛地浸潤到體內各組織和器官,而產生不同的臨床表現
臨床表現
急性白血病初起時常有不規則的發熱,繼而出現高熱寒戰全身情況急轉直下,很快出現中毒症狀及循環衰竭,如體質極差可不發熱僅有低熱。
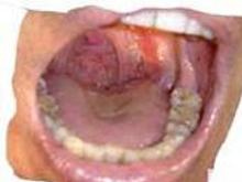
咽部黏膜水腫蒼白咽壁扁桃體及軟齶,有瘀血點或瘀斑繼發感染侵及黏膜黏膜下層及深達肌層出現壞死及潰瘍上面復蓋灰白色假膜嚴重者組織壞死處,呈棕褐色並有出血傾向扁桃體及舌根部淋巴組織無炎症性腫大,在急性白血病早期,常有全身各部位無痛性淋巴結腫大咽部潰爛,可引起劇烈疼痛吞咽困難口臭及有時發生張口受限等症狀。
診斷
起病急驟有白血病症狀體徵及病史咽部典型的組織壞死性表現,以及備註檢查見白細胞劇增有原始細胞和幼稚細胞這些變化在骨髓象中更為明顯。
檢查化驗
白血病性咽峽炎起病急驟,有白血病症狀、體徵及病史。咽部典型的組織壞死性表現以及備註檢查見白細胞劇增,有原始細胞和幼稚細胞,這些變化在骨髓象中更為明顯。咽部惡性肉芽腫通常發病緩慢,早期全身情況好,咽部潰爛,但疼痛不明顯,壞死部位多在中線位,可資鑑別。
鑑別診斷
本病需與下列疾病相鑑別:
1.咽部惡性肉芽腫通常發病緩慢,早期全身情況好,咽部潰爛,但疼痛不明顯,壞死部位多在中線位可資鑑別;
2.再生障礙性貧血;
3.骨髓增生異常綜合徵;
4.惡性組織細胞病;
5.特發性血小板減少性紫癜需要鑑別。
預防保健
在中國白血病的自然發病率約為4/10萬,每年新增約4萬名白血病患者,其中40%是兒童,並以2-7歲兒童居多。面對如此多的兒童白血病,家長們最關心的莫過於如何預防。對此,從事血液病研究的專家有以下幾點建議:
1.注意氣候的影響特別是秋冬季節氣溫變化劇烈應及時,增添衣被防病毒侵襲機體而誘發本病。
2.避免接觸某些毒物含苯染髮劑及其它含苯製劑某些藥物要慎用,如保泰松氯黴素氯隆苯妥英鈉優散痛卡巴肺等。
3.在白血病治療期間應保持情緒穩定樂觀向上,使機體處於良好狀態所謂:“—氣存內邪不可乾精神內專病安從來”。
總之,白血病並非單一因素所致,是多種因素共同作用於機體產生的結果。如果家長們注意了以上方面,是一定可以減少白血病發生的。如果孩子患上了白血病,不要驚慌失措,隨著醫學的迅速發展,白血病也不再是不治之症,白血扶正散可以有效的幫助孩子脫離白血病的魔爪,為孩子的健康成長保駕護航!
治療用藥
【治療措施】
以全身性治療為主給予支持療法增強身體抵抗力,套用抗生素控制感染局部。可用漱口藥液保持口腔咽部清潔以及對症處理。
【常規用藥】
清喉咽合劑
注射用鹽酸阿糖胞苷
氨基蝶呤片
替尼泊甙

