疾病概述
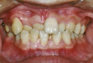
牙列不齊矯正前後對比牙齒不齊又稱錯牙合畸形,是指兒童在生長發育過程中,由先天的遺傳因素或後天的環境因素,如疾病、口腔不良習慣、替牙異常等導致的牙齒、頜骨、顱面的畸形,主要表現有:牙齒排列不齊、上下牙弓間的牙合關係異常、頜骨大小形態位置異常等。
錯頜畸形形成因素及其機理是錯綜複雜的,其發生的過程可能由單一因素或單一機理在起作用,但也可能是多種因素或多種機理共同作用的結果,這些因素影響到頜面部的骨骼、神經、肌肉、牙齒和軟組織的生長發育,使其發生異常改變繼而形成錯牙合畸形。
發病原因
牙列不齊的原因有很多,但主要包括環境因素又包括先天因素和後天因素。
先天因素:指胎兒在母親子宮內生長發育過程中受到的各種影響,可能是母親或胎兒的營養代謝失調,母親患風疹或感染病毒,母親懷孕期間受到外傷或分娩時造成的產傷。
後天因素:主要是指出生後在生長發育過程中受到的影響,主要有以下4個方面。
1、不良習慣:比如咬手指,咬上唇或咬下唇習慣,伸舌或吐舌習慣。
2、乳牙期或替牙期出現的問題:包括乳牙過早喪失,乳牙遲遲不掉,恆牙過早喪失,恆牙萌出順序紊亂等等都會造成牙齒不齊。
3、疾病:某些急性傳染病,某些慢性消耗性疾病可能影響到牙齒和頜骨的發育。內分泌功能紊亂或營養不良尤其是維生素缺乏可能會影響到牙齒和頜骨的發育。
4、功能異常:呼吸和吞咽功能異常可能會影響牙齒和頜骨的發育。
環境因素:乳恆牙的替換障礙對牙列擁擠的發生起重要的作用。乳牙早失,特別是第二乳磨牙早失,將造成牙長度的減小,恆牙萌出時因間隙不足而發生擁擠。乳牙滯留占據牙弓位置,後繼恆牙不得不錯位萌出而呈現擁擠。一些口腔不良習慣也可以造成牙列擁擠,例如長期咬下唇可造成下前牙舌傾,合併擁擠。
疾病表現
現代醫學技術發展,人們可以對不同程度的牙列不齊情況進行相應修復,它的適應症可以包括以下幾類:
1、下兜齒-反(牙合)
醫學上將“下兜齒”稱為反(牙合)。輕度的反(牙合),只有一兩個上前牙位於下前牙的裡面,稱為個別牙齒反(牙合)。較嚴重的反(牙合)由於下頜骨發育過長,或上頜骨發育不足而造成。表現為多數前牙反(牙合),下巴頦較突出,從人體側面看,臉呈現凹陷的“月牙型”。
2、暴牙--深覆蓋
這類錯(牙合)畸形表現為上前牙突出向外翹,明顯者嘴唇不能自然閉攏。嚴重的下前牙咬在上牙裡面的牙齦上,可以在此看到一排下前牙咬出的牙印。有些人上頜骨也明顯向前突出,而有些人則是下頜骨發育短小,顯得下巴頦縮在上嘴唇後方,側面看臉型象“鳥型臉”。
3、雙頜前突
這是指上下牙弓和前牙均向前突出,嚴重者上下嘴唇不能自然閉合,形成“開唇露齒”,側面觀察可見面下部明顯突出,有些人上前牙之間還會有或大或小的縫隙。微笑時常常使牙齦過多暴露,很不美觀。
4、咬合過深和咬合不上
咬合過深在醫學上稱為深覆(牙合),表現為上前牙過多蓋住下前牙,嚴重者下牙完全被上牙蓋在裡面,從前方看不到下前牙。咬合不上在醫學上稱為開(牙合),表現為當後牙咬合在一起時,前牙仍碰不上,在上下牙之間會出現一個縫隙。畸形明顯者會感到無法用前牙來咬斷食物。
5、牙列縫隙
正常牙列中牙齒一個緊挨著一個,在它們之間沒有縫隙。但有些人的牙列中卻存在縫隙。這類畸形多數是牙齒的個兒過小,而容納牙齒的牙弓過大。也有的人長期患有牙周病,在不正常咬合狀態下也會出現前牙的縫隙,而且這種縫隙會越來越大,使四個門牙散開。
6、牙列不齊--擁擠錯位
主要表現為牙齒排列不齊,里出外進。其原因是牙弓中可以容納牙齒排列的“地方”不夠,有些牙齒只好擠在一起了。程度較輕的表現為個別牙齒扭轉或歪斜,較重者在一塊狹小的區域內兩個或幾個牙齒相互重疊遮擋,最嚴重的是有的牙齒完全被擠出牙弓以外而脫離了群體。
需要提醒的是,治療牙列不齊要去正規醫院,做正規治療,雖然貴點,但是效果好,能有保障。另外,在做牙齒矯正的時候,如果涉及要把牙齒磨小一點,再做矯正,須謹慎考慮,因為牙齒外面有一層保護膜,磨小牙齒的同時,會把保護膜磨掉,這樣容易得齲齒。
疾病危害
1、影響患者口腔功能的正常發揮
牙齒擁擠引起牙弓咬合面積減小,降低了牙齒的咀嚼效率,嚴重的還會導致消化不良及腸胃疾病;一些嚴重的錯合,可影響正常的發音及語言表達;嚴重的下前牙前突,會造成患者吞咽功能異常;嚴重的上前牙前突、上下前牙前突,會使雙唇不能自由閉合,導致不良的張口呼吸。
2、影響牙周組織健康及口腔衛生
牙列不齊(特別是牙齒擁擠)會使口腔菌斑易於附著,牙刷也難以接觸,因此牙齦、牙槽骨易發生炎症,導致牙齦腫脹、出血、口腔異味等症狀;久而久之還會累及牙槽骨,出現牙齒鬆動。
3、影響顏面部生長發育及美觀
牙齒在整個顏面部生長發育中,起著極為重要的作用。通俗地講,正常發育排列的牙齒,對頜面部高度、深度及寬度的正常生長,有著類似於“支架”的作用。
4、影響心理健康
由於牙列不齊造成的顏面部形象損害,對青少年患者的心理也會產生嚴重影響。
診斷鑑別
檢查診斷牙列擁擠分為單純擁擠和複雜擁擠。單純擁擠表現為牙齒因間隙不足而排列錯亂,並因此影響到牙弓形態與咬合關係;單純擁擠可視為牙性錯合,一般不伴頜骨及牙弓間關係不調,也少有口頜系統功能異常,磨牙關係中性,面形基本正常。複雜擁擠時,除牙量不調造成的擁擠之外,還存在頜骨、牙弓間關係不調,並影響到患者的面形,有時還伴有口頜系統功能異常;複雜擁擠時擁擠本身只是一個症狀,並不是錯合的主要方面。
疾病鑑別
錯合畸形(malocclusion),是指兒童在生長發育過程中,由先天的遺傳因素或後天的環境因素,如疾病、口腔不良習慣、替牙異常等導致的牙齒、頜骨、顱面的畸形,主要表現有:牙齒排列不齊、上下牙弓間的牙合關係異常、頜骨大小形態位置異常等。
疾病治療
1、後牙反牙合的治療
(-)病因治療
早期治療乳牙齲,可防止乳牙早失和偏側咀嚼,破除口呼吸和齶裂的治療,以減少後牙反合的發生。
(二)矯治器治療
間隙保持器2.雙側合墊矯治器用於雙側後牙反合,在基托中央,齶中縫區安置分裂簧或成品的擴弓螺鏇簧。
3.固定矯治器擴大雙側牙弓矯治雙側後牙反合。在帶環的舌側焊“W”弓或是四角繞簧式弓。
4.頜間互動牽引用於個別後牙反合或上後牙舌向位,下後牙傾向位,在上頜帶環的舌側和下頷帶環的頰側焊牽引鉤,進行橡皮圈互動牽引。
(三)其他
合墊式矯治器在反合解除時,同時需要選磨合墊。在矯治過程中,可配合牙尖的選磨,以利建合。在反合矯治後,可配合嚼肌和顳肌的訓練。
2、深覆牙合的治療
分三型矯治
(-)Ⅰ型深覆合的矯治即前牙牙槽骨或頜骨高度正常,而後牙牙槽骨或頜骨高度不足的治療。矯治為升高后牙高度,採用上頜活動矯治器,附有平面導板或平面導板加合墊。合墊從最後一個牙開始逐個磨去,直至該牙建合,待後牙增高后,再進行前牙舌向錯位和後牙遠中合的矯治。如患者年齡大,生長發育已停止,則應在矯正前牙位置後,用修複方法加高后牙以恢復頜間高度,其高度必須在姿勢位的頜間間隙之內。
(二)Ⅱ型深覆合的矯治
即前牙牙槽骨或頜骨高度過大,而牙牙槽骨高度正常的治療。
1.活動矯治器治療,可在唇弓上焊爪簧壓低上前牙和用平面導板壓低下前牙。
2.固定矯治器治療,用方絲弓,治器,打開前
(三)Ⅲ型深覆合的矯治
即前牙牙槽骨或頜骨的高度過大,而後牙牙槽骨或頜骨的高度不足的治療。方法基本上和Ⅱ型矯治類似。
3、雙頜前突的治療方法
(一)輕度或中度雙頜前突或雙牙弓前突者,可拔除4444,內收上下前牙,同時矯治深覆牙合。
(二)嚴重上下頜前突者,需做外科正畸手術。
(三)雙頜前突伴口呼吸習慣者,應及早治療,以制止口呼吸。
(四)需手術治療者,可於術前術後按醫囑行,常規抗感染用藥。
疾病預防
要想臉形正常,牙齒又齊,需要從孩子小時候開始就注意糾正其不良口腔習慣,另外,還可以7至9歲期間就帶小孩到醫院進行檢查,如果發覺骨骼或牙齒有反常的苗頭即作預防性的治療。預防性治療主要包括對“地包天”、上齶前突、下齶後縮等錯頜畸形的前期預防和改正,通常在10到10歲半的“混合牙列期”進行,對11歲剛換完牙齒但骨骼發育還有潛力的兒童也可以進行矯治。在這段時間進行矯正還可以改善臉形缺陷,從而為整齊的牙齒、端正的面貌打下基礎,以取得良好的矯正效果。如果錯過了這段時間,就要進行一般的常規正畸治療了。另外,以上所提到的年齡是一般情況下的矯牙年齡,而個人的具體情況是不一樣的,所以正畸醫生通常會根據患者的骨齡和牙齡來制定相應的矯正方案。
併發症
急、慢性牙齦、牙周炎症;心理疾患。常見的牙列不齊的情況
牙列擁擠牙列擁擠,犬齒外突(虎牙)牙弓與牙齒大小無法配合,空間不夠導致牙齒重疊擁擠狀態,下頜則以第二小臼齒最晚萌發而擁向舌側。
牙列過大
齒間縫隙牙弓與牙齒大小無法配合,當牙齒太小牙弓太大時,就會造成牙齒排列稀、有縫隙。
齙牙齙牙可分為牙性與骨骼性齙牙,大部分皆能以傳統矯正治療,嚴重之齙牙患者則要配合口腔外科手術才能達到理想之外觀與咬合功能。
開咬
開咬上頜前牙與下頜前牙應該能合上,垂直覆蓋正常為2mm,若上下前牙無法咬上時為開咬,會導致上下門牙無法切咬食物,說話漏風噴口水,嘴巴無法閉緊。
牙齒反合反合又稱反對咬合,即下頜前牙咬到上頜前牙的外面,俗稱地包天,除美觀問題外,會造成咀嚼、發音等功能障礙。若屬骨性頜骨不正常導致的反合,常需合併正頜手術來治療。
牙齒傾斜
牙齒傾斜牙齒長期缺損導致相鄰牙齒傾斜或對方咬牙增長,造成假牙製作困難,此時就需要用矯正方式將傾斜牙齒扶正,使牙根有很好的平行度以利假牙重建。
顏面頜骨發育異常
顏面頜骨異常頜骨發育不對會造成顏面歪斜,需要合併牙列矯正與正頜手術,將頜骨關係調到正常位置後,才能將牙齒排列在正確的頜骨上,恢復美觀與功能。
牙列不齊常見治療方法
1、普通牙齒矯正:普通矯正就是我們通常見到的“鐵齒鋼牙”矯治方法了,用粘結劑將矯正裝置粘固於牙齒上,患者不能自行摘戴,只能由正畸醫師裝拆、調整加力。需要每個月複診一次,醫生逐漸加力使牙齒移動,達到設計的理想狀態,矯正工作基本結束。拆除矯治器以後還要戴一段時間保持器,以鞏固正畸成果,防止復發。
2、隱形矯正:天使無托槽隱形矯正技術,採用高分子材料所製成的透明矯正器,一改傳統矯正過程中的鋼絲鐵牙的局面,在無鋼絲,無托槽的狀態下完成矯正,不影響美觀,可自行摘帶。在不知不覺中恢復正常頜面形態。
3、美容冠技術矯正:美容冠牙齒美容技術是在傳統烤瓷牙的基礎上強調牙齒的美容效果,對錯位牙、畸形牙的臨床冠部分施以專業手段,最後用美容冠加以修復。具有美牙不拔牙,無痛苦,時間短等特點。

