簡介
牙齒不齊成因
牙齒不齊發生的過程可能由單一因素或單一機理在起作用,但也可能是多種因素或多種機理共同作用的結果,這些因素影響到頜面部的骨骼、神經、肌肉、牙齒和軟組織的生長發育,使其發生異常改變繼而形成錯牙畸形。錯頜畸形的發病因素一般為遺傳性因素和獲得性因素兩大類。遺傳因素主要為種族演化和退化,遺傳因素大約占30%。獲得性因素有以下幾方面:
(1)乳牙早失:會出現間隙不足,產生擁擠錯位。失去導萌作用,恆牙萌出時出現錯位和無法萌出。
(2)不良習慣:多數為吮指習慣、吐舌習慣、咬唇習慣、咬物習慣、伸下頜習慣、不良吞咽習慣、偏側咀嚼習慣等,可以引起各種各樣的錯頜。
(3)多生牙:多生牙能引起牙、頜系統的形態動能紊亂,中切牙間多生牙可導致中切牙間隙的形成等。
(4)先天性缺失牙:多為發育和胚胎原因,第三磨牙的缺失多為種系發生的退化現象。
(5)乳牙滯留:個別牙逾期不脫落為乳牙滯留,可導致繼替恆牙萌出被阻而呈埋伏,或錯位萌出
(6)乳尖牙磨耗不足:因為兒童吃的食物過軟,所以有的乳尖牙不如其他牙齒磨耗多,因而高出牙弓牙面,產生早接觸,造成前方或側方移動,形成反頜。
(7)另外還有許多全身因素和局部疾病因素:如傳染病、營養不良、內分泌因素、維生素缺乏、唇齶裂、下頜髁狀突良性肥大症、顏面肥大症等。
危害
牙齒不齊不僅對青少年的身心健康有著很大的負面影響作用,就連成人牙齒不齊也會影響社交等。牙齒不齊的主要影響:
1、影響口腔的健康,牙列擁擠不齊使牙齒不能自潔,菌斑結石堆積,引起齲病及牙齦牙周的炎症;同時牙齒的錯位、咬合異常也可造成牙周損害;牙列稀疏則容易發生食物嵌塞而傷害牙齦牙周的健康。
2、影響容貌外觀,各類錯頜畸形,都不同程度地影響容貌外觀,這也是很多患者要求矯治的直接原因。如開唇露齒、雙頜前突、長面或短面畸形等。
3、影響頜面發育:在兒童的生長發育過程中,許多不良習慣所致的牙頜畸形將影響牙頜面軟硬組織的正常發育。如前牙反頜,俗稱“地包天”,就是指下前牙位於上前牙唇側的畸形,會使上頜骨的發育受到限制,而下頜骨由於沒有正常協調關係的制約而過度向前發育,從而形成面中部凹陷和下頜骨過度前突畸形。因此對於影響上下頜骨發育的前牙反頜,要儘早矯治,避免頜骨畸形的進一步加重。
4、影響口腔功能:嚴重的錯頜畸形可影響口腔的正常功能,如前牙開頜(即上下前牙無法咬合)造成發音異常,後牙鎖頜影響咀嚼功能,嚴重的下頜前突造成吞咽異常,下頜嚴重後縮則影響呼吸功能。
5、影響心理健康,牙齒不齊嚴重影響孩子的成長發育及心理障礙。資料表明,在錯牙合畸形的青少年當中,發生心理障礙的比例增高。不愛說話,沒有自信。所以要糾正牙齒。
表現
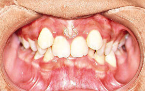
牙列擁擠
牙列擁擠,犬齒外突(虎牙)牙弓與牙齒大小無法配合,空間不夠導致牙齒重疊擁擠狀態,下頜則以第二小臼齒最晚萌發而擁向舌側。
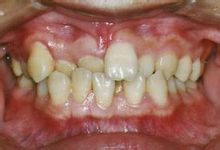
牙列過大
齒間縫隙牙弓與牙齒大小無法配合,當牙齒太小牙弓太大時,就會造成牙齒排列稀、有縫隙。
齙牙
齙牙可分為牙性與骨骼性齙牙,大部分皆能以傳統矯正治療,嚴重之齙牙患者則要配合口腔外科手術才能達到理想之外觀與咬合功能。
開咬
開咬上頜前牙與下頜前牙應該能合上,垂直復蓋正常為2mm,若上下前牙無法咬上時為開咬,會導致上下門牙無法切咬食物,說話漏風噴口水,嘴巴無法閉緊。
牙齒反合
反合又稱反對咬合,即下頜前牙咬到上頜前牙的外面,俗稱地包天,除美觀問題外,會造成咀嚼、發音等功能障礙。若屬骨性頜骨不正常導致的反合,常需合併正頜手術來治療。
治療
治療牙齒不齊的方法有鑲烤瓷牙、拔牙正畸、戴矯治器等。烤瓷牙適合不能做其他方法矯治的牙齒,修復的效果不錯。拔牙正畸是對牙齒出現畸形,並且生長擁擠的牙齒進行矯治的方法。戴矯治器是常見的一種柔和的矯治方法,雖然矯治的時間久,但效果好。
1 後牙反牙合的治療
(-)病因治療早期治療乳牙齲,可防止乳牙早失和偏側咀嚼,破除口呼吸和齶裂的治療,以減少後牙反合的發生。
(二)矯治器治療
1.單側合墊矯治器 用於一側後牙反合。在正常指的一側後牙上做合墊,在反合側的後牙齶側安放雙曲舌簧。也可用於個別後牙反合治療,置舌簧於反合牙。
2.雙側合墊矯治器 用於雙側後牙反合,在基托中央,齶中縫區安置分裂簧或成品的擴弓螺鏇簧。
3.固定矯治器 擴大雙側牙弓矯治雙側後牙反合。在帶環的舌側焊“W”弓或是四角繞簧式弓。
4.頜間互動牽引 用於個別後牙反合或上後牙舌向位,下後牙傾向位,在上頜帶環的舌側和下頷帶環的頰側焊牽引鉤,進行橡皮圈互動牽引。
(三)其他
合墊式矯治器在反合解除時,同時需要選磨合墊。在矯治過程中,可配合牙尖的選磨,以利建合。在反合矯治後,可配合嚼肌和顳肌的訓練。
2 深復牙合的治療
分三型矯治
(-)Ⅰ型深複合的矯治 即前牙牙槽骨或頜骨高度正常,而後牙牙槽骨或頜骨高度不足的治療。矯治為升高后牙高度,採用上頜活動矯治器,附有平面導板或平面導板加合墊。合墊從最後一個牙開始逐個磨去,直至該牙建合,待後牙增高后,再進行前牙舌向錯位和後牙遠中合的矯治。如患者年齡大,生長發育已停止,則應在矯正前牙位置後,用修複方法加高后牙以恢復頜間高度,其高度必須在姿勢位的頜間間隙之內。
二)Ⅱ型深複合的矯治
即前牙牙槽骨或頜骨高度過大,而後牙牙槽骨高度正常的治療。
1.活動矯治器治療,可在唇弓上焊爪簧壓低上前牙和用平面導板壓低下前牙。
2.固定矯治器治療,用方絲弓,細絲弓矯治器,打開前牙咬合。
(三)Ⅲ型深複合的矯治即前牙牙槽骨或頜骨的高度過大,而後牙牙槽骨或頜骨的高度不足的治療。方法基本上和Ⅱ型矯治類似。
3 雙頜前突的治療方法
1.輕度或中度雙頜前突或雙牙弓前突者,可拔除,內收上下前牙,同時矯治深復牙合。
2.嚴重上下頜前突者,需做外科正畸手術。
3.雙頜前突伴口呼吸習慣者,應及早治療,以制止口呼吸。
4.需手術治療者,可於術前術後按醫囑行,常規抗感染用藥。
牙齒矯正誤區
誤區一:牙齒不齊矯治會造成牙齒鬆動
牙齒矯治是通過輕力誘導牙齒移動,是一種緩慢的生物性改建過程,被移動的牙齒一側牙槽骨吸收,另一側牙槽骨新生重建,最終使矯治後的牙齒重新定位長穩。使牙齒治常生長發育,發揮治常的口腔咀嚼功能,使食物得到充分的咀嚼,利於食物的消化、吸收。牙齒排列整齊,易保持口腔清潔,減少口腔的創傷,保證牙周組織健康發育。牙齒矯治療程因牙列不齊的嚴重程度不同和患者的配合情況而有差異,一般為1.5——2.5年。患者戴上矯治裝置後最初口腔內會有輕度不適和個別牙齒的輕微酸脹,經過一周上述症狀會逐步消失,並很快適應。在整個矯治過程中,牙齒會有輕度的鬆動,這是暫時現象,也是治常現象,一旦矯治結束經過固定階段,牙齒就不再鬆動。另外,矯治過程中需要患者的密切配合,遵循醫囑、準時複診,避免進食過硬的食物以免損壞矯治器,保持口腔清潔,這樣才能在最短的時間內達到最佳的矯治效果。
誤區二:對牙列不齊進行矯治主要為了容貌美觀
從生理角度講,牙列不齊會影響口腔的清潔,因而好發齲齒、牙齦炎及牙周炎等口腔疾患。國內外的研究揭示,口腔疾病的致病菌與心內膜炎、細菌感染、腎炎、關節炎及胃炎相關;牙齦炎孕婦的早產比例較一般孕婦高。牙齒是傳達腦刺激的內臟器官,牙齒脫落不僅影響消化吸收,由於對腦部的刺激明顯減少,進而影響腦細胞活力,導致記憶力減退,使老年痴呆症發病率升高。從心理角度看,牙列不齊嚴重影響容貌美觀,直接影響患者的心理健康。因此,牙列不齊矯治不僅是為了容貌美觀。
誤區三:牙列不齊矯治的時間只能在11—13歲之間
臨床上選擇牙列不齊矯治的最佳時機是以乳牙替換結束,恆牙萌出初期為標誌,一般是在11——13歲之間為最佳矯治時機。因為此時口腔內恆牙大多已萌出,牙弓發育已基本完成,因此牙列不齊的發展也已基本定型;同時,這個年齡階段孩子頜面部發育仍處於生長發育的快速期,而牙齒矯治尚需要利用頜面部的生長發育潛力,從而使牙齒移動及牙槽骨改建的效率達到最佳水平;還有,此時孩子心理發育日趨成熟,並開始注重自己的面部美觀,在一定程度上尚具備主動要求進行牙齒矯治的動機。不過有些牙列不齊矯治應在牙齒替換階段,恆牙列未形成之前進行矯治,以免影響面型的發育,如口腔不良習慣所造成的牙列不齊、前牙反□、嚴重的上頜前突以及牙弓內的多生牙等。方絲弓矯治技術作為臨床學院派的主導體系,為牙列不齊矯治的綜合治療提供了保證,可以滿足各年齡層次牙列不齊患者的矯治需求。
預防
關於牙列不齊預防,牙列不齊矯正專家表示,家長還應該注意矯正孩子如下的不良習慣:
一、孩子是否有不良的吮指、舔舌、咬唇習慣。對於這些習慣家長應耐心指導他們加以糾正。
二、孩子在替牙過程中,是否有恆牙錯位萌出的跡象,或是否有恆牙遲萌等現象。比較保險的做法是在替牙過程中帶孩子去口腔科做常規檢查,醫生會根據情況提出建議的。
三、注意孩子的食物構成。應儘量多地給孩子吃些富有纖維素的食品,使咀嚼功能充分發揮並刺激頜骨發育。當然有了牙列不齊也應及早診治,時間拖得越長,治療難度和治療費用就越高

