牙出血概述
牙出血就是
牙齦出血的簡稱。
牙齦出血
是口腔科常見的症狀之一。一般情況下,牙齦出血常見於
牙周炎的早期——
牙齦炎。當
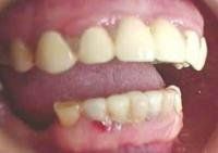
口腔當中的牙菌斑在牙體表面形成後,如不及時清除,可逐漸硬化,形成
牙石。牙石多位於牙體與
牙齦的結合部位,這種較硬的牙石對於牙齦產生持續的刺激作用,當正常的牙齦受到
炎症的刺激,牙齦的毛細血管增多,變得充血,牙齦顏色變暗,一但受到刺激,牙齦就容易出血。這就是牙齦出血的原因。由於牙齦炎是牙周炎的早期,所以,定期的潔治(
洗牙)以去處牙體上的牙石,緩解牙齦的炎症,可以使牙齦炎得以康復。
牙周炎時,不僅牙齦出血,而且牙齒開始出現鬆動,僅僅定期的潔治(洗牙)已經不能使病變恢復,只有採取刮治和其它牙周治療或牙周手術治療,才能緩解病症。
牙齦出血不僅僅出現於口腔科的疾病,全身性疾病也是不可忽視的引起牙齦出血的主要原因之一,如壞血病、白血病、血友病、
血小板減少性紫癜、再生障礙性盆血等,
糖尿病、甲狀腺功能障礙、
肝硬化、脾機能亢進、腎炎後期等,也可發生牙齦出血。近年來,
牙周病與糖尿病的關係也越來越被醫學界所認識。
治療方法
補充營養
出血的原因很多,因此必須找出病因,才能進行有效地防治。如果是缺乏維生素C,除了在
醫生的指導下服用維生素C片劑,飲食上也要多注意補充富含維生素C的食物,多吃水果蔬菜。如果是牙周炎,要在醫生指導下服用消炎藥,並遵醫囑複診,不能自己隨便停藥。但事實上成年以後牙齦是不從人體系統再得到營養的了,所以才會出現比較多的問題。補充營養其實不能解決出血問題,這應該是目前的一個誤區,不信你也可以先試一下補充一下VC。
洗牙
超音波洗牙大家都比較熟悉了,是針對清除牙齒
結石部份。因為
牙結石更容易造成牙菌班的堆積,造成牙齦炎、牙齦出血,牙周病。所以去除牙結石是醫療行為。當然在治療的同時,齒頸部,鄰接面的結石去除掉了,牙齒也會有美白的表現。洗牙的弊端在於比較痛,會出比較多的血,還有洗後牙齒表面比較粗糙,牙漬牙石的再次出現更加來得快。最後就是有可能感染疾病。
體外吸收入式治療
使用方法是口含然後刷牙漱口。使用牙齒黃金,屬於天然植物提練的生物科技產品,無色無異味,無需吃進腸胃通過消化系統,原理比較簡單,就是通過每天含漱滲透溶解牙石牙漬。對內牙齦既有消炎止痛的作用,其有效成份還能讓牙齦在口含過程中吸收到營養避免萎縮,這種形式和維C攝入方式不一樣,這種屬於通過由口腔直接吸收的一種方式,比較創新和前衛;或者利用神立康固齒藥物
牙膏,刷牙2分鐘後用口中的牙膏沫含漱2分鐘,讓止血成分作用病患,達到止血作用
危害
牙齦出血與消化系統疾病的關係:牙病患者的口腔分泌物中有大量幽門螺蝣桿菌。它們會隨著唾液進入胃中,從而引發胃炎、腸炎、胃及十二指腸潰瘍,甚至胃癌。
牙齦出血與呼吸系統疾病之間的關係:口腔位於呼吸道的上游,因此口腔感染容易導致各種上呼吸道感染和肺部疾患,如支氣管炎、咽喉炎、扁桃體炎和肺炎。
牙齦出血與內分泌系統疾病之間的關係:口腔感染能誘發糖尿病,當口腔病菌產生的毒素進入血液後,會使細胞表面的胰島素受體變得遲鈍,使胰島的作用下降,從而導致血糖升高。
牙齦出血與生殖系統疾病的關係:德國醫學漢斯里德爾對對190位男性不孕、性功能障礙患者進行了血液檢查,發現他們都有牙齦出血現象。經過系統治療有40%的患者妻子懷孕了。
里德爾認為,引起牙齦出血和口腔炎症的病菌及其毒素容易進入血液,通過血液到達身體的其它部位。包括睪丸從而損傷精子,導致不孕和性功能障礙。
美國北卡羅來納大學的史蒂文奧芬巴赫發現,有牙齦出血的婦女容易早產。他認為,牙齦疾病菌是導致早產的主要原因,至少有43%早產兒是由於其母親有牙齦出血造成的。
牙齦出血的其它危害:牙病還會引起腎炎、關節炎、敗血症、虹膜睫狀體炎、腦膜炎、胸膜炎、皮膚病等。因此,重視口腔健康,不僅是保護牙齒,更是保護了我們的整個身體。

