淋巴網狀細胞肉瘤【治療措施】
骨網狀細胞比廣泛骨受累的彌散性病變預後為好。一般主張以放射治療為主,包括受累的骨骼、關節和鄰近的軟組織,並輔以化療。除腫瘤巨大,對放射治療沒有反應,一般不必採用破壞性手術。由於腦脊膜受累,也有人主張套用預防性的鞘內化療。
一、骨網狀細胞比廣泛骨受累的彌散性病變預後為好。
二、一般主張以放射治療為主,包括受累的骨骼、關節和鄰近的軟組織,並輔以化療。
三、除腫瘤巨大,對放射治療沒有反應,一般不必採用破壞性手術。
四、由於腦脊膜受累,也有人主張套用預防性的鞘內化療。[1]
【病理改變】
淋巴網狀細胞肉瘤【臨床表現】
主要症狀是局部疼痛,休息不能減輕,但有些病人僅有輕微間歇痛。臨床特點是儘管骨破壞嚴重,全身情況卻依然良好。雖本病發生病理骨折是在惡性骨腫瘤中最常見的。椎體塌陷,可引起嚴重的神經系統功能障礙。但自然史表明其預後遠比瀰漫性網狀細胞肉瘤為佳。此腫瘤傾向於轉移至其他骨骼、區域淋巴結、遠隔淋巴結、肝、脾和腎臟。肺轉移並不多見,但也確有存在。 X線表現 沒有特徵性,雖現多樣性。通常主要表現為骨的灶性破壞,無論長骨或扁平骨均系在骨髓腔或松質骨,發生穿透性、斑點狀破壞區,相互融合則呈大範圍的溶骨缺損,最後皮質受侵穿破。乾骺端病變比骨幹發生早,皮質有侵蝕或穿孔時,髓質則有更廣泛的浸潤。可見骨膜反應,但不象見於尤文氏肉瘤的明顯的洋蔥皮樣改變,有的病例唯一的X線表現是成層板樣或日光樣的骨膜反應。反應性新生骨可以很明顯,或者腫瘤呈完全破壞灶。
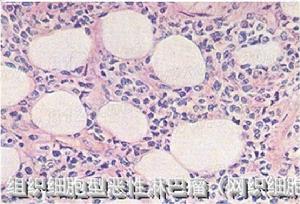
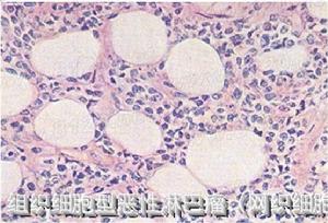
腹水中非何杰金淋巴瘤(網狀細胞肉瘤型)細胞:1.網狀肉瘤細胞,胞體大者為28.4μm×22.7μm,小者為12.8μm×9.9μm,外形不規則。漿染成藍色,著色不勻,邊緣部染色深,在大量大小不等的空泡,可見偽足狀突起,核形不規則,有者分葉狀,畸形明顯,染色質粗點網狀,有空泡,核仁隱約可見 2.塗抹細胞,為退化後的細胞痕跡。
非霍奇金淋巴瘤(淋巴肉瘤與網狀細胞肉瘤)是一組具有不同的組織學變化、起病部位和臨床所見的淋巴瘤。此組淋巴瘤在臨床症狀、病理、擴散方式和對治療的反應等方面都不同於霍奇金病,與成人的非霍奇金氏淋巴瘤在細胞分化方面也不同,多為分化極差的瘤細胞,在診斷時早期常已廣泛擴散。控制原發病的發展比較困難,療效較差。近年來由於放療和聯合化療的進展,預後已有所改善。兒童時期非霍奇金淋巴瘤較霍奇金病多見,平均年齡比急性白血病高,男性發病高於女性,約3∶1。
【診斷說明】
這類腫瘤的診斷主要根據腫瘤生長的部位、短期迅速增長的病史和病理活檢來證實。縱隔淋巴瘤用X線檢查,可見腫瘤陰影位於中央,向兩側發展,當其壓迫氣管造成呼吸道梗阻時,可立即進行放療,若腫瘤縮小,對診斷亦有幫助,胸水或腹水中檢查出瘤細胞亦有助於診斷。
未合併白血病或無骨髓侵犯者,血象一般正常。有廣泛浸潤者,血漿尿酸和乳酸脫氫酶增高。凡有條件的應做T與B細胞分型。
須與橫紋肌肉瘤、尤文骨肉瘤、成神經細胞瘤、霍奇金病以及淋巴結的其他良性或惡性腫瘤鑑別。
【治療說明】
非霍奇金淋巴瘤以化療為主,可採用治療急性淋巴細胞白血病的治療方案,如COAP方案即長春新鹼每次1~2mg/m2第1,8,15,22天靜推;強的松40~60mg/m2/d口服;環磷醯胺600mg/m2,第1天;阿黴素30~40mg/m2第1天靜注或第21天重複1次,也可將阿黴素換成柔紅黴素或去甲氧柔紅黴素(每次10mg/m2,連用2~3次)。左鏇門冬醯胺酶10.000IU/(m2·d)靜點或肌肉注射,連用10天,對Ⅲ~Ⅳ期病人,尤其合併骨髓浸潤的病例效果尤佳。此外尚可以博來黴素、6巰基嘌呤等藥交替套用。

