內容
胃腸道的一部分通過先天存在的或後天形成的間隙、缺損或薄弱點突出到另一部分的病理現象。經腹壁缺損或薄弱點突出者為消化道外疝或腹壁疝;經腹腔內的缺損或薄弱點突出者為消化道內疝或腹內疝。小腸長而游離,最易突出,胃和結腸突出的機會較少。消化道外疝在臨床上表現為在疝突出部位的異常包塊,平臥時可以消失,站立或用力時出現,甚至發生絞窄,有一定危險。消化道內疝遠較外疝少見。從廣義上講,疝由四部分構成:①疝環。缺損或薄弱點所在的部位,消化道外疝的疝環均位於腹壁。②疝囊。疝突出部位的腹膜所形成的袋狀結構,內疝多無疝囊。③疝內容物。經疝環突出的臟器和組織。④疝被蓋。疝囊以外各層的敷蓋組織,外疝為腹壁,內疝一般不存在疝被蓋。疝通常以疝環的部位命名,例如外疝中的腹股溝疝、臍疝、股疝等,又如內疝中的膈疝、食管裂孔疝、盲腸周圍隱窩疝等,有時腸管經粘連帶構成的孔隙突出,籠統稱為內疝。
消化道外疝根據臨床表現分為:①可復性疝。疝內容物突出後可還納回腹腔。②難復性疝。疝內容物不能還納,多由於和疝囊粘連之故,另外有些長期難復位的巨大腹股溝疝,後腹膜以及其所敷蓋的臟器如盲腸、乙狀結腸,甚至膀胱也一併脫出,成為疝囊壁的一部分,稱為滑疝。③嵌頓疝。可復性疝突然不能還納,同時出現局部劇烈疼痛和腸梗阻症狀。④絞窄疝。疝嵌頓後進而出現突出臟器的血循環障礙。里希特氏疝極易發展為絞窄疝。絞窄疝若已有腸壞死,死亡率在10%以上,所以嵌頓疝應予急診處理,以免發展為絞窄疝。一般在嵌頓後3~4小時以內,腸管尚不致發生壞死,此時可試行先給予鎮靜藥後予以手術復位,將嵌頓的腸管還納回腹腔。若嵌頓時間較長,則先是緊縮的疝環阻礙連同腸管突出的腸系膜的靜脈血流,腸管水腫逐漸加重,最終使動脈血流受阻,腸管壁由充血發展為出血,最後發生腸管壞死,此時會出現腹膜炎及全身感染中毒症狀,不宜手術復位,應急診手術,將嵌閉的疝環松解,若腸管已有壞死需將該段腸管切除,有可疑壞死時也應切除。
消化道外疝以腹股溝疝最常見(見表[常見的消化道外疝])。
腹股溝疝 腹股溝區有兩處比較薄弱,一處是腹股溝管,經此管發生疝稱斜疝,另一處是黑塞爾巴赫氏三角,經此三角區發生的疝稱直疝。在腹股溝疝中90%以上為斜疝。
①腹股溝斜疝。腹股溝管屬正常的解剖結構,是睪丸下降後在腹股溝區形成裂隙,所以斜疝90%以上發生在男性。在胚胎早期,睪丸位於腹膜後第2~3腰椎旁,以後逐漸下降,至胚胎7個月左右,下降至腹股溝區,此時緊靠睪丸的腹膜也一同下降,形成鞘膜突。睪丸在繼續下降至陰囊的過程中,方向由腹膜後轉向前下方,所以必須斜行穿過腹股溝區。先通過腹壁最內層,即腹橫筋膜,實際上並非穿透,而是頂出,猶如頂出一個袖套。腹橫筋膜上的開口稱為內環,頂出之袖套,實為腹橫筋膜的延續部分,即精索內筋膜。睪丸通過的第二層是腹內斜肌,此肌在腹股溝區開始消失。其下緣呈弓狀,睪丸即於弓狀緣處通過,連帶一部分腹內斜肌肌纖維同行,成為提睪肌。睪丸繼續向前向下向內下降,將腹外斜肌筋膜頂出一個三角形孔隙,形成外環或稱皮下環和精索外筋膜。隨同睪丸下降的除鞘膜突外還有動靜脈,連同精索筋膜和提睪肌,構成精索。鞘膜突在出生後除陰囊部分成為睪丸固有鞘膜外,精索內的鞘膜閉鎖,遺留一纖維帶,若不閉鎖或近端閉鎖不全,即成為先天性疝囊,即使完全閉鎖,內環處也是先天性的薄弱點,容易形成新的疝囊。在內環與外環之間的裂隙即為腹股溝管。斜疝的形成和發展與睪丸下降過程相同。在女性圓韌帶由子宮角處向下內方通過內環,走行途徑與睪丸相似,最後分散為扇狀附著於恥骨前方,形成的腹股溝管遠較男性窄小,故女性斜疝很少見。
腹股溝管是正常的解剖薄弱點,本身具有形成疝的條件,但人體有生理防衛功能。在內環內下方的腹橫筋膜有半環形的增厚部分,形成凹間韌帶,另外腹內斜肌的弓形緣在內環的上緣經過。當腹內壓突然增高或用力時,腹壁肌肉收縮,凹間韌帶被牽扯向上,弓形緣肌纖維向下移位,內環得以關閉,防止疝的發生。
腹股溝斜疝的臨床表現為腹股溝可復性腫物,站立、行走或用力時出現,平臥後消失,除感局部不適外,多無明顯症狀,診斷也不困難,但需與睪丸或精索鞘膜積液、隱睪、腫大的淋巴結和脂肪瘤等鑑別。因內環構成的疝環較小,有10%左右的嵌頓發生率,故應進行手術治療。1歲以下的兒童,因經常啼哭和腹部用力,發生嵌頓的機會更大,但由於腹部肌肉筋膜組織隨著小兒的發育變得更為強壯有力,斜疝有可能自行痊癒,故可暫不手術,用繃帶及軟墊包紮腹股溝部,防止疝突出。1歲以後仍不自愈則需手術治療。成人使用的彈性壓迫裝置,稱為疝帶。長期使用後可因局部壓迫,致使局部肌肉腱膜組織更為薄弱,並造成局部組織粘連,故只適用於全身情況不佳、衰老及患有其他重症病人的可復性疝,作為一種姑息療法。病人若有咳嗽、排尿困難、習慣性便秘及腹水等導致腹壓經常增高的情況,應在治療好轉後再手術。手術均採用疝修補術,手術的方法甚多,選用何種手術方法應視局部病理解剖的情況而定。手術成功的要點是解剖層次清楚,止血完善,縫合無張力,避免傷口感染等。
②腹股溝直疝。疝內容物由腹股溝管內側的黑塞爾巴赫氏三角突出,此三角的外側邊是腹壁下動脈,內側邊是腹直肌外緣,底邊是腹股溝韌帶,無完整的腹壁肌肉敷蓋,且該處腹橫筋膜又較薄,所以直疝更多見於年老體弱患者。
直疝的臨床表現與斜疝相似,檢查時壓迫腹壁的內環投影部位,囑咐病人咳嗽或用力,若疝塊仍出現,便說明疝內容物未經過腹股溝管,可診斷為直疝。極少數病人直疝和斜疝可同時存在,疝囊騎跨腹壁下動脈,稱騎跨疝。
直疝因疝環寬大,呈半球狀突出,故很少發生嵌頓,在發生絞窄的消化道外疝中,直疝只占1%左右。若疝塊較大,影響行動,也可手術修補。手術後復發率較高,可達30%以上,這與腹壁薄弱區廣泛有關。
股疝 經股管發生的疝。股管上端為股環,前上界為腹股溝韌帶,內界為陷窩韌帶,後緣為恥骨梳韌帶,外側為骨靜脈,正常直徑僅 1.2cm左右。股管略呈漏斗狀,長約2~3cm,下口為卵圓窩。女性的骨盆較寬,股管較松大,再加上妊娠分娩等因素,故多見於中年女性,較男性的發病高4~6倍。
臨床表現為腹股溝韌帶下方出現腫塊,一般不大,因疝囊外常有脂肪一併突出,故常不能完全還納,咳嗽衝動感亦不明顯。需與斜疝、脂肪瘤、腫大的淋巴結、大隱靜脈曲張的靜脈瘤樣隆起以及髂腰部結核性膿腫相鑑別。
股疝因疝環狹小,形成股環的韌帶硬韌難以鬆弛,很容易發生嵌頓和絞窄。絞窄發生率在25%以上,絞窄性股疝中25~30%為里希特氏疝,故診斷明確後應手術治療,封閉股環。
臍疝 疝環是臍部的先天性缺損,稱為臍環,多見於1歲以下的嬰兒,因臍環閉鎖不全或閉鎖後瘢痕組織薄弱,嬰兒又經常啼哭或大便時過度用力,致使內臟主要是小腸由臍環突出。新生兒臍帶內的腸曲未完全進入腹腔,其被蓋僅有腹膜和羊膜而無皮膚,稱為臍膨出,這與臍疝是兩種不同的疾病概念。
嬰兒的臍疝可先採用非手術治療,用繃帶包紮壓迫,半年後可望自愈。3歲以上的幼兒不太可能自愈,應行手術治療,因有可能發生嵌頓和絞窄。
成人臍疝可以是嬰兒臍疝的持續或復發,也見於衰弱、多次妊娠、過度肥胖以及長期頑固性腹水的患者。若無禁忌症,也應手術。手術原則是切除疝囊,縫閉臍環。
切口疝 腹部手術後在切口處形成的疝。在消化道外疝中,切口疝的發病率僅次於腹股溝疝。發生的原因主要是關閉腹部切口時縫合不當,或切口張力過大造成肌肉腱組織裂開。此外術後切口感染,癒合後瘢痕組織薄弱也是發病原因。
臨床表現為腹部用力或站立時切口處膨出,平臥後可觸及腹壁缺損的邊緣。一般不會發生嵌頓。治療方法可用腹帶壓迫包紮,但徹底治療仍需手術修補。
罕見的消化道外疝 腹壁存在不少薄弱的區域,均可成為外疝突出的部位,總計占外疝中的2%左右。其中白線疝略為多見,發生於腹壁正中的白線。白線是由左右兩側腹直肌鞘的筋膜纖維交錯構成,若交錯的纖維發育異常,遺有較大的孔隙,可成為疝環。疝塊很小,多無明顯症狀,很少發生嵌頓。若有腹膜外脂肪突出或大網膜與疝囊粘連,局部會感到疼痛,可手術縫合白線的缺損。多發生在中年以後,男性更多見。
消化道內疝 多見於腹腔內有先天性或後天性粘連帶存在的病人。通常是小腸由粘連帶形成的孔隙中突出。但腹腔內還有其他缺損或薄弱區存在,也可以發生內疝。
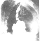
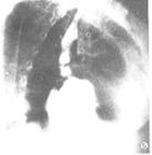
①膈疝。因膈肌有缺損或薄弱,腹腔內臟器向胸腔突出而形成。膈肌發生缺損的原因有兩類,一為先天性缺損,最常發生疝的缺損部位是食管穿過橫膈處的食管裂孔,這種疝稱為食管裂孔疝,占各種膈疝的70%,在橫膈的其他部位,如胸骨旁和腰椎旁,可因該處膈肌纖維短缺而薄弱。二為後天性缺損,如胸部或上腹部閉合性和開放性損傷可傷及橫膈,膈下膿瘍或膿胸可穿透橫膈,愈後均可在橫膈遺有弱區。
膈疝的疝內容多為胃底和賁門部,可出現胸骨後者上腹部灼熱樣疼痛,為食管炎或胃炎的症狀,有時有吞咽困難,還可壓迫心肺並造成縱隔移位。膈疝可發生絞窄。 X射線平片和上消化道造影有助於診斷。治療需手術將腹內臟器復位,並修補膈肌缺損。
②腸系膜裂孔疝。小腸系膜偶爾有先天性缺損或裂孔存在,腹部手術時也可能在橫結腸系膜或胃結腸韌帶遺留裂孔,這些均可造成疝的發生。
配圖

所屬分類
消化系統疾病消化系統疾病的診斷和處理

