海綿狀淋巴管瘤海綿狀淋巴管瘤(cavernous,lymphangioma)是由原始淋巴管發育增生形成的腫物,是一種先天性發育畸形,屬於錯構瘤性質,是腫瘤和畸形之間交界性病變。故本病多見於兒童,一般不自行消退,但病程緩慢。發生部位以頭頸部為多,主要表現為可壓縮性的皮內或皮下的囊性腫物。臨床以手術治療為主,亦可採用冷凍、雷射和壞死療法等治療。
病因
胚胎期靜脈叢中的中胚層在形成原始淋巴囊時 出現錯構,使原始淋巴囊未能與靜脈系統相連通,或未能與淋巴系統主幹相通,或少量的淋巴囊在淋巴系統形成時被分隔,從而導致淋巴系統的循環障礙。
發病機制
在胚胎期靜脈叢中的中胚層別隙融合形成大的原始淋巴囊、引流進入中心靜脈系統,以後淋巴囊逐漸退化或發展成與靜脈平行的淋巴管系統。若原始淋巴囊與淋巴系統主幹不相通,可發生海綿狀淋巴管瘤。淋巴管瘤和血管瘤大多數在出生時已存在。它們實際上是一種先天性發育畸形,屬於錯構瘤性質,是腫瘤和畸形之間交界性病變。
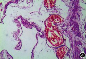
組織病理:可見海綿狀淋巴管瘤呈多房性囊腔,囊壁較厚,其內充滿淋巴液,並有豐富的結締組織間質,壓之有伸縮感。
臨床表現
海綿狀淋巴管瘤位於真皮或皮下組織內,好發於頭頸及下肢。尤其是唇、舌、頰等處。病變界限不清,柔軟而有壓縮性,但不隨體位變化而變化。體積可大可小,大者,局部組織明顯腫脹變形,並影響功能,如巨唇、巨舌等。瘤體表麵皮膚正常,或呈淡紅色,刺穿可抽出淡黃色透明液體。
併發症
1、窒息,巨大的面頰部海綿狀淋巴管瘤有時同時侵犯口腔、舌、咽下部等造成進食和說話困難或引起呼吸困難甚至窒息。
2、肺炎,口、舌、咽下部海綿狀淋巴管瘤可影響進食,致食物誤吸入呼吸道內產生肺部感染。
診斷
根據臨床特徵和輔助檢查,一般不難診斷。
鑑別診斷
海綿狀淋巴管瘤需與海綿狀血管瘤相鑑別。前者質地稍較實韌,其壓縮性和隨體位變動的大小形態改變等,均不如血管瘤明顯,血管瘤還有時可以觸知有靜脈石的存在。淋巴管瘤的表麵皮膚多較正常,而血管瘤則常可見有纖曲擴張的血管,致使該部微現藍色,穿刺檢查,所得液體顏色不同,自可涇渭分明。
檢查
治療
1、手術切除,手術切除是主要的治療手段。對巨大而深部的海綿狀淋巴管瘤手術切除比較困難,為了整形目的或解除腫瘤對鄰近器官的壓迫,有時僅能施行腫瘤部分切除。
2、壞死療法,適用於頸部、口腔、舌、深部範圍廣泛的海綿狀淋巴管瘤。因頸面部內手術易造成損容及面神經損傷,且出血多,復發率高。而壞死療法操作簡單,療效超過手術治療效果,復發率低,併發症少。
治療方法:局部消毒後,用細針經皮穿刺到瘤內注射腫瘤靈藥液,如腫瘤範圍大,可分幾個穿刺點注射藥物,使藥液在瘤內均勻分布,並超過腫瘤邊緣0.5cm 口腔黏膜下海綿狀淋巴管瘤,用細針穿刺到黏膜下腫瘤內注射腫瘤靈藥液,以使黏膜水腫蒼白為準。
3、冷凍、雷射、硬化劑等,但治療效果均不理想,海綿狀淋巴管瘤對放射線不敏感。
預後
淋巴管瘤絕大多數為良性,但具有不斷生長和浸潤周圍組織的特徵,手術切除不徹底,可以復發。

