病因學
椎管狹窄症
椎管狹窄症外傷性椎管狹窄,當脊椎受到外傷時,尤其是當外傷較重引起脊柱骨折或脫位時常引起椎管狹窄,壓迫或刺激馬尾或神經根,引起椎管狹窄症。其他骨病所致之椎管狹窄症,如畸形性骨症和氟骨症等,均可因椎體、椎板、和軟組織增厚而使椎管內容減小,壓迫或刺激神經根引起椎管狹窄症。
1、後天繼發性椎管狹窄是由於椎間盤突出、椎體增生、椎體滑脫以及後縱韌帶、黃韌帶增生肥厚、鈣化或骨化等,刺激脊髓、神經及周圍血管造成神經血管發生炎症粘連,充血水腫"脹大",從而造成椎管狹窄症的發生。
2、先天性(原發性或發育性)椎管狹窄是由於在脊柱的生長形成中,包括營養、外傷等因素造成椎管發育的先天性狹窄而致此病。大部分患者開始可能不出現症狀,人到中年以後由於脊柱的一些退行性病變或損傷,從而導致椎管狹窄症的症狀及體徵出現。
症狀
椎管狹窄症胸椎管狹窄症大多數胸椎管狹窄症患者年齡在40歲以上,隱匿起症,逐漸加重,早期僅感覺行走一段距離後下肢無力、發僵、發沉、不靈活等,休息片刻又可繼續行走,脊髓源性間歇性跛行,這與腰椎管狹窄症中常見的以疼痛、麻木為主要特徵的神經源性間歇性跛行顯著不同。隨著病情進展,出現踩棉花感、行走困難,軀幹及下肢麻木與束帶感大小便困難、尿瀦留或失禁性功能障礙等.
腰椎管狹窄症早期表現為腰痛、腰脹、腰緊束感。隨著疾病的發展,腰部的症狀減輕甚至消失。並出現下肢麻木、疼痛、無力、發涼、皮膚感覺減退、甚至肌肉萎縮。典型的腰椎管狹窄症患者出現間歇性跛行(行走一段路50-100米後必須下蹲或彎腰休息一會方能繼續行走,行走一段路又出現跛行)。後期出現下肢、腿部肌肉萎縮、癱瘓、大小便失禁等症狀。
椎間盤突出症可以發生在各個年齡階段,一般以中老年為發病高發期,是因急性損傷或慢性勞損引起纖維環破裂、髓核溢出而壓迫、刺激神經、血管、脊髓等產生的臨床綜合症。
腰椎滑脫症是因各種原因引起的椎體位置改變而引起的臨床綜合症,可以分為真性滑脫和假性滑脫兩種,前者也可稱為先天性滑脫,是因椎弓根發育不全、峽部不連線引起的滑脫。後者常因外傷勞損椎間盤突出造成的椎體不穩。
治療措施
椎管狹窄症對不典型的病例首先應採用非手術療法,如臥床休息、牽引、按摩、理療及藥物治療等。同時應避免著涼與過勞,以促進神經刺激之症狀恢復。經非手術療法治療無效的典型病例,應考慮手術治療。
手術以全椎板截除,徹底減壓為主。所謂徹底減壓是指在截除椎板時不但要夠高夠寬,而且要解除椎體後部(椎管前部)和側隱窩的增生骨質,以便徹底解除馬尾及神經根的一切壓迫。
椎管狹窄和腰椎突出是有手術和中藥保守兩種方法,手術可以微創是比較好的,保守治療中藥健骨椎康方,如果身體體質不適合手術,或者害怕風險,可以選擇中藥安全可靠。
微創治療
椎管狹窄症的微創治療方法有:
1)Joimax椎間孔內鏡下椎間孔減壓術;
2)顯微內鏡(MED)輔助下的椎間孔減壓術;
3)顯微內鏡(MED)輔助下的單側入路雙側椎管狹窄減壓術。
臨床表現
椎管狹窄症1803年Portal最先注意到椎管前後徑縮小,可壓迫椎管內神經。1858年Charcot認為下肢血管病變導致骨骼肌供血不足也能引起間歇性跛行,故間歇性跛行又分為神經性間歇性跛行和血管性間歇性跛行兩大類。1949年Boyd指出血管性間歇性破行症僅在行走後才發生大腿或小腿肌肉痙攣性疼痛,經休息後臨床症狀即可減輕。而因椎管狹窄症使腰骶神經根受壓所引起的間歇性跛行又稱神經源性間歇性跛行症。
可由於體位的改變引起下肢放射性神經痛, 尤其是每當腰椎過伸時,腰腿疼痛症狀加重。因為當腰椎過伸時,腰
椎椎間隙前部增寬,後方變窄常使腰椎間盤及纖維環向椎管內突出,使椎管進一步變窄,刺激或壓迫神經根。也由於腰椎過伸神經根變短變粗,容易受壓而產生神經根或馬尾刺激症狀。在背伸的同時,腰椎的黃韌帶也鬆弛形成皺襞增厚使椎間孔變小也壓迫或刺激馬尾及神經根引起馬尾及神經根的刺激症狀。
上述臨床症狀當腰椎前彎時,可因椎管後方的組織拉長椎管內容減小,脫出的間盤迴縮等而減輕,也可於略蹲,稍坐或臥床休息而減輕。因此患腰椎管狹窄症者,往往自覺症狀較多,較重,而陽性體徵則較少。因為病人於臥床檢查時其臨床體徵或已緩解,或已消失之故。臨床常見的體徵除腰部前屈時症狀減輕,與腰椎背伸時腰腿痛症狀加重外,還常有直腿抬高陽性或陰性,往往兩側相同,下肢知覺異常或減退。兩腿無力,膝跟腱反射不正常及括約肌無力,二便障礙等。
椎管的測量:1975~1977年Verbiest根據椎管中央矢狀徑(m-s徑)和椎管椣徑的測量將椎管狹窄分為三型:
1、絕對型 即椎管的中央矢狀徑小於或等於10mm者,為絕對型椎管狹窄(m-s≤10mm)。
2、相對型 即椎管的中央矢狀徑小於或等於10~12mm者(m-s為10~12mm)較多。
3、混合型。
總之中央矢狀徑(m-s徑)小於11.5mm由肯定為病理現象。如腰椎管的頭側或尾側的中央矢狀徑比值大於1則為異常現象(頭尾正常時m-s徑之比值小於)。
橫徑:即椎弓根最大距離,平均值為23mm。其正常值下限為13mm(X線照片為15mm)。
輔助檢查
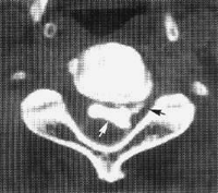
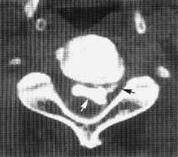
椎管狹窄症正位X線片常顯示腰椎輕度側彎,關節突間關節間距離變小,有退行性改變。側位X線片顯示椎管中央矢狀徑常小,小於15mm就說明有狹窄的可能。必要時可進行腰椎穿刺,奎肯試驗,腦脊液化驗,及脊髓造影。脊髓造影是診斷本症的可靠方法。正位片可清楚顯示硬脊膜腔的大小,如出現有條紋狀或鬚根狀陰影,表示馬尾神經根有受壓現象,或全梗阻,如影柱呈節段性狹窄或中斷,表示為多發性或全梗阻。
CT、MRI檢查:鞘膜囊和骨性椎二者大小比例改變,鞘膜囊和神經根受壓,硬膜外脂肪消失或減少,關節突肥大使側隱窩和椎管變窄,三葉狀椎管,弓間韌帶、後縱韌帶肥厚。
危害
一、患上腰椎狹窄會壓迫神經根危害神經神經根管的狹窄就會是其神經根管受到一定的壓迫,從而出現神經根受到其相應的刺激,從而出現其症狀體徵。神經根就會出現局部的不適,常常會出現異常的疼痛感,而且會根據疼痛的感覺不同而體現病情的程度。
二、腰椎狹窄會出現腰腿疼痛
腰椎狹窄會出現腰腿疼痛這是大部分的患者都會出現的症狀,而且相應的常識應該了解,如果是向前屈不會受到影響,但是如果向後就會受到一定的限制,從而出現疼痛感等症狀。
三、腰椎狹窄會出現間歇性跛行危害腿部肌肉
腰椎狹窄會出現間歇性跛行。由於腰椎狹窄難免會出現腿部的疼痛,長期下去會使疼痛加重便會出現行走變慢,然而患者會選擇自己疼痛比較輕的姿勢來走路,長期下去便會出現跛行的現象。
四、腰椎狹窄會引起腰椎間盤突出
由於腰椎狹窄會出現壓迫神經的現象直至危害神經,從而使神經受到刺激便容易導致腰椎間盤突出的現象,或者是跟嚴重的後果。
相關專家
賀石生,原第二軍醫大學附屬長海醫院骨科副教授、副主任醫師,專門從事脊柱外科臨床和科研工作十餘年,對脊柱各類常規及疑難疾病有深入的研究,積累了豐富的臨床經驗,至今已參加及完成各類脊柱手術3000餘例,範圍涵蓋了脊柱外科各類常規及疑難疾病,手術優良率達到99%以上,至今無一例患者因手術操作失誤導致的併發症發生。
