簡介
中樞神經系統白血病白血病細胞侵犯蛛網膜或蛛網膜鄰近神經組織而產生的臨床症狀和體徵稱為中樞神經系統白血病。1978年10月在廣西南寧召開的全國白血病防治研究協作工作會議有關中樞神經系統白
血病(CNSL)的診斷標準規定如下:
(1)有中樞神經系統症狀和體徵(尤其是顱內壓增高的症狀和體徵)。
(2)有腦脊液的改變:①壓力增高(>0.02kPa或200mm水柱),或大於60滴/min。②白細胞計數>0.01×109/L。③塗片見到白血病細胞。④蛋白>450mg/L,或潘迪試驗陽性。
(3)排除其它原因造成的中樞神經系統或腦脊液的相似改變。
附註:
A.符合③及②中任何1項者可疑中樞神經系統白血病;符合③及②中塗片見到白血病細胞或任2項者可診斷CNSL。
中樞神經系統白血病B.無症狀,但有腦脊液改變,可診斷CNSL。但如只有單項腦脊液壓
力增高,暫不確定CNSL的診斷。若腦脊液壓力持續增高,而經抗CNSL治療壓力下降,恢復正常者也可診斷CNSL,並應進行動態觀察。
C.有症狀而無腦脊液改變者,如有顱神經、脊髓或神經根受累的症狀和體徵。可排除其它原因所致,且經抗CNSL白血病治療後症狀有明顯改善者,也可診斷為CNSL。
臨床表現
中樞神經系統白血病臨床上主要表現為頭痛,噁心,嘔吐,視乳頭水腫,視力障礙,抽搐,昏迷,偏癱及腦膜刺激症狀。腦脊液檢查可有顱壓升高,蛋白質和白細胞數增多,糖和氯化物減低,可發現白血病細胞。中樞神經系統白血病可發生在急性白血病的任何時期,但多數發生在緩解期。由於多種化療藥物不
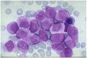
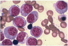
易透過血腦屏障,隱藏在中樞神經系統的白血病細胞不能有效被殺滅,成為白血病細胞的庇護所,為髓外白血病復發的首要原因。中樞神經系統白血病以急性淋巴細胞白血病最常見,兒童患者尤甚。急性淋巴細胞白血病發病率為26%~80%,急性粒細胞白血病發病率為7%~38%。
類似腦膜炎,有顱內高壓表現,如頭痛、嘔吐、視神經乳頭水腫等。腰椎穿刺腦脊液壓力增高,腦脊液中白細胞數和蛋白增高,糖降低,可檢出白血病細胞。侵犯腦神經可引起相應的症狀,如視力障礙、瞳孔改變及面神經癱瘓等,後者以ALL患者多見。
CNSL可發生於急性白血病的各個階段,既可為白血病的首發症狀,也可發生於白血病治療緩解後多年,以發病後半年左右的完全緩解期多見,ALL明顯多於AML。白細胞高於50x109/L及有肝、脾、淋巴結腫大的患者已發生CNSL。白血病細胞進入中樞神經系統可由血流播散、顱骨骨髓白血病細胞的浸潤或顱內點狀出血所致。一般化療藥物很難通過血腦屏障,以至中樞神經系統成為白血病細胞的“庇護所”,是白血病復發的原因之一。
中樞神經系統白血病中樞神經系統的白血病系由於白血病細胞浸潤至腦膜或腦實質,使患者表現出相應的神經和/或精神症狀。腦白可見於白血病病程的任何階段。 當白血病患者在病程中出現不明原因的頭痛、噁心嘔吐、視物模糊或復視、斜視、面部感覺異常、面肌麻痹、伸舌偏斜或截癱、大小便障礙或精神行為異常、意識障礙(嗜睡、昏睡、昏迷)等情況時,需警惕腦白的發生。
病因病機
(一)邪毒內盛,熱入心包
中樞神經系統白血病一般認為白血病的基本病機是正氣內虛,邪毒人侵,多因勞倦,七情、六淫邪
毒,傷及臟腑,精氣虧虛,邪毒內盛,熱盛傷陰,陰陽失調而生內風, 《中風斗銓》日:“五臟之性肝為暴,肝木橫逆則風自生,五志之極皆生火,火極生風,血虛液燥可以動風。”
(二)痰阻脈絡
脾胃虛弱,脾失健運,聚濕生痰,痰郁化熱,引動肝風,夾痰上擾,蒙塞心竅而發病。
(三)氣機失調
對於中風發病,東垣有“正氣自虛”之說,蓋氣虛既可生痰,氣虛運行無力使血行阻滯,而氣鬱則化火,火盛風動。故凡氣虛、氣鬱、氣逆與痰濁、瘀血莫不相關,為發病之主要病機。
(四)血液瘀滯
阻塞脈絡,氣不能行,血不能濡,故肢體廢而不用。總之本病多屬正虛標實夾雜等症候同時出現,邪毒內盛,肝腎陰虛,痰熱瘀阻導致氣血逆亂,脈道不通為基本病變。
常見類型
(一)邪熱內感型
中樞神經系統白血病1.主症:壯熱,煩躁,頭痛,眩暈,嘔吐,項背強直抽搐,或衄
血,便血,舌紅,苔黃褐,脈虛大而數等。
2.證候分析:多因勞倦、七情、六淫邪毒傷及臟腑,精氣虧虛,濕熱毒邪乘虛而人,邪毒內盛,熱人心包,出現頭痛,壯熱煩躁,神昏譫語;熱極生風,項背強直抽搐,眩暈,嘔吐;熱迫血妄行可見衄血,便血;苔黃褐,脈虛大而數為熱象。
(二)肝腎陰應型
1.主症:頭痛,頭暈、耳鳴、視物昏花,腰酸膝軟,口眼咼斜,抽搐,或肢體麻木,舌淡紅,少苔,脈弦等。
2.證候分析,由於肝腎陰虛,精血衰耗,水不涵木,導致肝陽偏亢,故見頭暈,頭痛,耳鳴目眩,腰酸膝軟;陽亢而肝風動,若肝風挾痰上擾,風痰流竄經絡,則脈道瘀阻,氣不往來,則見視物不清,或口眼咼斜,抽搐,失語等症;舌淡紅,少苔,脈弦為肝腎陰虛之象。
(三)痰濁中阻型
1.主症:頭暈,頭重如裹,胸脘痞悶,嘔吐痰涎,少食多寐,舌淡,苔白厚膩,脈滑數等。
2.證候分析:由於肝陽偏亢,加之飲食不節,損傷脾胃,脾虛生痰,痰郁化熱,阻於脈絡,或邪毒犯胃或痰濕中阻,故見頭暈,頭重如裹,胸脘痞悶,嘔吐痰涎,少食多寐;舌淡,苔白厚膩,脈滑數等均為濕熱之象。
診斷鑑別
診斷
1.診斷標準和依據 國內標準如下。
(1)有CNS的症狀和體徵,尤其是顱內壓增高的症狀和體徵。
(2)CSF改變:
①顱內壓增高>200mmH2O。
②白細胞>0.01×109/L。
③塗片有白血病細胞。
④蛋白質>0.45g/L,或定性試驗陽性。
(3)排除其他原因造成的CNS或CSF的相似改變。
總之,符合上述第(3)及第(2)條中的任何一項者,為可疑CSN-L;符合上述第(3)及第(2)條中的③,或任意其他2項者,可診斷為CNS-L。
需注意:
①無臨床表現,僅有CSF符合標準者,也可診斷。
②單純顱內壓增高者,暫不診斷,但應按CNS-L治療,如治療後短期顱內壓恢復正常者,也可診斷。
③有前述CNS-L的臨床症狀和體徵,而無CSF改變者,在排除其他原因及按CNS-L治療後明顯改善者,也可診斷。
2.診斷評析
(1)白血病患者,主要是AL,應時時想到合併CNS-L的可能,即使無任何症狀和體徵,也應在AL診斷明確後立即行腰椎穿刺及CSF,檢查,以了解有無CNS-L的存在,並常規注射預防性藥物。
(2)腰椎穿刺測定顱內壓及CSF檢查是診斷CNS-L的關鍵:CSF中找到白血病細胞固然是確診的依據,但白血病患者無CNS-L的臨床表現,只要有顱壓升高,或CSF檢查中任何一項異常者,均要高度警惕CNS-L的存在,並開始治療及動態觀察,總之,掌握標準要有靈活性,處理要及時果斷。
(3)出現CNS症狀及體徵者:雖無顱內壓及CSF異常,絕大多數最後仍能明確為CNS-L。
①白血病患者:主要是AL,應時時想到合併CNS-L的可能,即使無任何症狀和體徵,也應在AL診斷明確後立即行腰椎穿刺及CSF檢查,以了解有無CNS-L的存在,並常規注射預防性藥物。
②腰椎穿刺測定顱內壓及CSF檢查是診斷CNS-L的關鍵:CSF中找到白血病細胞固然是確診的依據,但白血病患者無CNS-L的臨床表現,只要有顱壓升高,或CSF檢查中任何一項異常者,均要高度警惕CNS-L的存在,並開始治療及動態觀察,總之,掌握標準要有靈活性,處理要及時果斷。
③出現CNS症狀及體徵者:雖無顱內壓及CSF異常,絕大多數最後仍能明確為CNS-L。
鑑別診斷
1.最需要鑑別的是以CNS-L為白血病首發表現者誤,漏診的比例很高,引起顱內壓升高及CSF類似於CNS-L改變的疾病,主要有病毒性腦膜炎或腦炎,結核性腦膜炎,腦豬囊尾蚴病(囊蟲病)及腦轉移瘤等,鑑別點:
①發現白血病的陽性體徵,外周血或骨髓檢查證實白血病存在。
②只要想到白血病的可能,CSF應做細胞學檢查,但大多數情況下極易忽略而漏查。
③病毒血清學檢出相關抗體,CSF中找到抗酸桿菌,囊蟲皮膚試驗陽性及血清抗體檢出及原發腫瘤的發現等均有利於非CNS-L的診斷,此外,結核性腦膜炎時,常伴肺粟粒性結核,影像學檢查可輔助診斷,已明確為白血病的患者,在病程中出現CNS的臨床表現及CSF異常改變,偶然還需和結核性或真菌性腦膜炎鑑別:
①結核或真菌感染時,CSF中蛋白增高及糖降低的幅度遠大於CNS-L。
②病原學檢查,感染者有時可找到真菌,少數情況下還可發現抗酸桿菌,而CNS-L則可檢出白血病細胞。
③鞘內注入抗白血病藥物後,CNS-L常迅速好轉,而感染者則無效。
2.大劑量阿糖胞苷治療後,可產生神經毒性,尤其是小腦損害的臨床表現,根據用藥及CSF檢查不難鑑別,此外,反覆鞘內注藥引起化學性蛛網膜炎,以及頭顱放療後並發的白質腦病,有時需和CNS-L鑑別,且不易區分,反覆CSF檢測白血病細胞陰性,則CNS-L復發的可能較小,停止鞘內注藥後逐漸好轉,也可基本排除CNS-L復發。
辯證治療
辯證要點
該病應辨為內傷頭痛,其痛反覆發作,時輕時重,應有氣虛、血虛、腎虛、肝陽上亢、痰濁、瘀血之分。氣虛者脈大,血虛者脈芤,腎虛者腰膝疲軟,肝陽亢者筋惕肢麻,痰濁者頭眩噁心,瘀血者痛如椎刺。中風之發生,總不外乎在本為陰陽偏性,氣血逆亂;在標為風火交煽,痰濁變塞,瘀血內阻,形成本虛標實,上盛下虛的證候。
治療原則
按其急則治其標的原則,治用平肝熄風,化痰通腑,活血通絡,清熱滌痰諸法。
確診依據
(1)具有相應的中樞神經系統受累的症狀和體徵;
(2)腦脊液:壓力增高>200毫米水柱;腦脊液中白細胞數>0.01×109/L;腦脊液蛋白定性實驗為陽性或蛋白定量>45mg/dl;腦脊液中可找到白血病細胞;
(3)排除了其他原因造成的神經系統疾病。在上述諸條中,以腦脊液中找到白血病細胞最具診斷意義。
疾病治療
治療概述
就診科室:腫瘤內科 腫瘤綜合科 腫瘤科 血液科 內科 中醫學 中醫血液科
治療方式:藥物治療 支持性治療
治療周期:3-6月
治癒率:30%
常用藥品:硫唑嘌呤片 烏苯美司膠囊
治療費用:根據不同醫院,收費標準不一致,市三甲醫院約(5000——10000元)
原則上,一旦確診CNS-L即應立即治療,其治療方案類似於CNS-L預防治療,但其治療頻度和預防治療不同。對未用CNS-L預防放療的病人可按與CNS-L預防治療相同的方式和劑量做全顱 脊髓放療。對CNS-L病人也可採用鞘內注射甲氨蝶呤(MTX)治療,然後維持治療或全顱照射的方法進行治療。一般以鞘內注射甲氨蝶呤(MTX )8~12mg/(m2·次),每周2次,直至腦脊液細胞學及生化指標達到正常。然後每4~6周鞘內注射1次,直到全身化療結束或者立即予以全顱照射24~30Gy,分14~18次,在3周內完成,脊髓照射12~18Gy,分6~12次完成。
預防調護
(1)做好患者的思想工作,消除精神緊張,讓病人安靜臥床休息,避免探視。
(2)病房要清潔消毒,禁止吸菸,飲食要清淡、潔淨,保持大便通暢。
(3)注意病人的精神狀態及神志變化,密切觀察體溫、脈搏、呼吸及血壓的變化。
預防:治療急性白血病特別是急性淋巴細胞白血病誘導緩解的同時,即應做鞘內化療,甲氨喋呤10mg加地塞米松5mg鞘內注射,可同時進行頭顱放射治療,總量2400cGY,2~3周內分次照射。
護理
一、病情觀察
密切觀察體溫、脈搏、呼吸、血壓、面色、皮膚、甲床的變化,了解貧血有無改善。觀察尿色的變化及有無出血情況,做好預防出血的各項護理措施。
二、藥物不良反應的觀察
1、硫酸亞鐵此藥和維生素C合用可促進鐵的吸收,有胃腸道反應,飯後服用。服用鐵劑的過程中要禁喝濃茶,以免影響鐵吸收。
2、羥基脲經常查血常規,觀察血小板及白細胞計數。觀察有無胃腸道反應及中樞神經系統症狀。
3、強的松觀察有無消化道症狀:如腹痛、反酸、噯氣、噁心、嘔吐和黑便。皮質醇增多症:如滿月臉、水牛背。減量後有腎上腺皮質減退表現:如食慾減退、疲勞、頭昏、皮膚色素沉著等。
三、加強基礎護理
1、體溫若超過39攝氏度,應給予物理降溫,如冰袋冷敷,物理降溫後半小時注意測量體溫。禁擦浴。
2、保持皮膚清潔,勤更換內衣,勤擦澡。保持床鋪清潔、乾燥。
3、保持口腔清潔,每晚及飯前、飯後用0.9%氯化鈉溶液漱口。
4、囑病人養成良好的衛生習慣,不挖耳朵,不摳鼻子,不揉眼睛。
5、給予高熱量、高蛋白、高維生素易消化的流食,禁食辛辣、刺激性食物。
四、心理護理
患者因貧血較重,加之經濟困難,心理負擔較重,通過細心觀察病人的心理需求,護士耐心開導、鼓勵病人克服消極情緒,積極配合醫生治療,通過護理操作細心、認真,加之生活上的熱情關懷,儘量減少其痛苦,取得病人的信任,使其戰勝疾病。
總之,中樞神經系統白血病的護理是非常重要的,科學的護理可以輔助治療疾病,讓患者朋友們更早的擁有健康,所以人們要對此引起重視。對於中樞神經系統白血病,中醫認為中樞神經系統白血病發生髮展與痰、疲密切相關,多同時出現,常相互影響。因此,臨床治療中樞神經系統白血病常須配伍套用化痰散結、活血化癖的藥物,比如白血扶正散,方可取效。
飲食護理
白血病患者都會出現貧血和食慾不佳等症狀,同時在飲食方面也有很多忌口,因此白血病患者該吃什麼、不能吃什麼都需要格外注意。那么,對白血病患者的飲食護理要做到哪些呢?
一、多攝入含鐵質豐富的食物白血病的主要表現之一是貧血,所以在藥物治療的同時,鼓勵病人經常食用一些富含鐵的食物,如動豌豆、黑豆、綠色蔬菜、大棗、紅糖、黑木耳、芝麻醬、蛋黃等。
二、少食多餐,容易消化白血病患者,尤其在治療過程中,消化系統往往會出現諸多反應如噁心、嘔吐、腹脹、腹瀉等症狀,此時可採取少食多餐的進食方法,或在三餐之外,增加一些體積小、熱量高、營養豐富的食品,如糕點、朱古力、麵包、獼猴桃、鮮蔬汁等。消化系統的不良反應,病人要多攝入鹼性食物,以減輕消化道的不適,
三、根據病情對症調理飲食病人如有食納不佳、消化不良時,可供給半流質或軟飯,如二米粥、蒸蛋羹、優酪乳、豆腐腦、小籠包子等,同時可佐以山楂、蘿蔔等消導性食物。
四、高蛋白白血病是血細胞發生了病理改變所致,這類病人機體內蛋白質的消耗量遠遠大於正常人,只有補充量多質優的蛋白質,才能維持各組織器官的功能。蛋白質另一功能是構成抗體,具有保護機體免受細菌和病毒的侵害,提高機體抵抗力的作用。所以,白血病患者應攝人高蛋白飲食,特別是多選用一些質量好、消化與吸收率高的植物性蛋白和豆類蛋白質,如、豆腐、豆腐腦、豆腐於、腐竹、豆漿等。以補充身體對蛋白質的需要。

