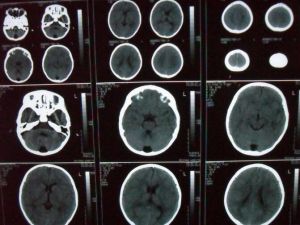
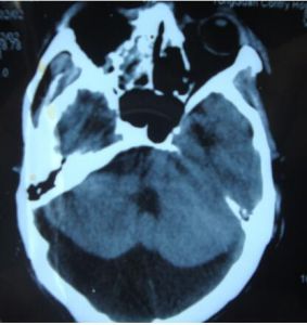
發病部位
枕大池(又稱小腦延髓池),位於顱後窩的後下部,小腦下面、延髓背側面與枕鱗下部三者之間。 向前經小腦溪通第四腦室;向前外經延髓側面通延髓池。三維斷面均可顯示。
病理分析
枕大池囊腫專家建議
1、顱內囊腫形成的原因都是基因導致的,也就是天注定的,目前還無法有效控制。
2、囊腫大小不是絕對的危險因素,出現症狀是需要治療的信號。
3、一旦出現顱內壓增高、小腦共濟失調的症狀應當及時就診。具體來說:行走障礙、站立不能(包括閉目站立不能)、噁心、嘔吐都是早期症狀,過高的顱內壓甚至可以引起昏迷。
4、這種情況目前無法使用藥物控制,最好的結果是終生攜帶而無症狀,也就是沒有長大,而且沒有影響腦脊液回流;如果說需要注意什麼,應該還是健康的生活方式。
5、出現症狀時需要治療,一般治療分兩種:分流手術和切除手術,根治性的還是切除手術,手術從腦頸聯合區域後方進入,打開顱骨,分離並取出囊腫,對腦組織沒有影響,一般來說很少復發,這就是徹底根治手術。

