原因
松果體區最常見的腫瘤是生殖細胞瘤、畸胎瘤、神經膠質瘤及上皮樣囊腫等。
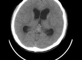
檢查
分析松果體區腫瘤的CT表現,診斷提供幫助。松果體區可見一類圓形軟組織腫塊,邊界清晰,密度均勻,其內可見點片狀鈣化影。頭顱CT掃描、核磁共振檢查可發現腫瘤並做定位診斷。
鑑別診斷
松果體區占位病變的鑑別診斷:
松果體鈣化移位:松果體鈣化常見於成人,且隨年齡增加而更易出現,約75%正常成人在CT掃描時顯示有松果體鈣化。其直徑範圍通常為3~5mm,但有時可能會更廣泛些。松果體鈣化面積大,移位,出現在小兒身上,則應考慮到是否有松果體區腫瘤的可能性。
分析松果體區腫瘤的CT表現,診斷提供幫助。松果體區可見一類圓形軟組織腫塊,邊界清晰,密度均勻,其內可見點片狀鈣化影。頭顱CT掃描、核磁共振檢查可發現腫瘤並做定位診斷。
緩解方法
松果體區腫瘤位置深在,周圍有重要的神經和血管(丘腦後部、中腦、大腦內靜脈和大腦大靜脈等),故多年來一直被神經外科醫師視為難度大的手術之一。手術入路根據腫瘤生長部位和醫師本人的習慣而異,通常用的有五種:
①頂枕部經胼胝體入路,即切開胼胝體中後部顯露腫瘤。
②右顳頂枕經側腦室入路,在側腦室三角區處切開皮層進入側腦室來顯露腫瘤。
③右枕經小腦幕入路,又稱Poppen入路,頂枕開顱抬起枕葉和切開小腦幕可顯露腫瘤。
④幕下小腦上入路,又稱Krause入路。後顱窩正中開顱向下牽拉小腦上蚓部來顯露腫瘤。
⑤右額部經側腦室入路,右額經額中回皮質切開達側腦室額角,再經室間孔或切開第三腦室頂顯露腫瘤。

