簡介
頭部平掃CT對確定有無腫瘤以及腫瘤定位、定量診斷相當可靠,對腫瘤的定性診斷也有幫助。檢查方法:臨床疑腦腫瘤時,常規軸位平掃加增強掃描;在觀察腦腫瘤術後是否復發和觀察有否腦轉移瘤時可直接增強掃描,需要時再加做平掃。垂體檢查常規行冠狀位掃描,根據需要可加做橫斷掃描。
常見疾病
(1)腦膠質瘤:是一類起源於神經膠質的腫瘤,為最常見的顱內腫瘤,包括星形細胞瘤、少突膠質細胞瘤、室管膜瘤等。星形細胞瘤的CT表現呈多樣化,隨部位和分級的不同而表現不同,在形態、密度、瘤周水腫、占位效應、壞死囊變、出血鈣化和強化特徵方面各有特點。
低級星形細胞瘤平掃可表現為均勻的等密度或低密度病灶,也可表現為囊性,增強掃描多不強化或僅輕度強化。
間變性星形細胞瘤屬於低度惡性,CT平掃為不規則形低密度區,邊界不清,占位效應明顯,增強掃描多呈程度不等的強化,表現為環形或類環形增強,環壁薄而均勻。
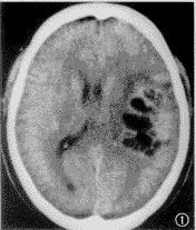
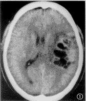
膠質母細胞瘤好發於中老年人,平掃表現為混雜密度腫塊,邊緣模糊不清,可跨越中線,瘤周水腫明顯,占位效應嚴重,增強掃描腫瘤呈花環狀強化,環壁厚薄不均,且不規則。
少突膠質細胞瘤源於少突膠質細胞,多見於大腦半球皮質或皮質下,CT平掃多為混合密度腫塊,半數以上瘤內有鈣化,呈條狀、斑點狀及彎曲條帶狀,瘤周水腫輕微或無,增強掃描腫瘤實性部分可呈輕度至中度不規則強化。當發現位於腦表麵皮層的低密度區時,應想到少枝膠質瘤的可能。
室管膜瘤:以青少年多見,其好發部位按頻率高低依次為四腦室、側腦室、三腦室和導水管。CT表現具有多樣化,平掃腫瘤呈菜花狀的等密度或混雜密度,瘤內可見鈣化及囊變,腫瘤位於第四腦室時,可見瘤周殘存的腦室,增強掃描腫瘤呈中度強化。
(2)腦膜瘤:生長緩慢,絕大多數為良性,惡性腦膜瘤很少見。CT平掃腫瘤為邊緣清楚的稍高密度腫塊,以寬基底與顱骨板或硬腦膜鄰貼,密度較高、均勻,常見鈣化,有時可見相鄰骨質增生性改變,瘤旁水腫或多或少,有明顯占位徵象。增強掃描腫瘤呈明顯均一強化。
(3)松果體區腫瘤:常見的松果體區腫瘤有松果體瘤、生殖細胞瘤、畸胎瘤等。松果體瘤表現為松果體腫塊,內有散在的鈣化或明顯團塊狀鈣化,呈明顯強化,松果體生理鈣化常受壓後移,常伴有三腦室前部及雙側側腦室的擴張。生殖細胞瘤發病年齡較低,多見於男性青少年,腫瘤偶見鈣化或低密度壞死,松果體生理鈣化常為腫瘤所包埋。畸胎瘤腫塊內可見囊變區、脂肪密度及鈣化或骨骼影。
(4)髓母細胞瘤:是一種高度惡性而預後較差的胚胎性腫瘤,好發於兒童。髓母細胞瘤絕大多數位於小腦蚓部,極少數位於小腦半球。CT平掃示位於後顱窩中線上的圓形或類圓形的高密度腫塊,邊緣較清楚,部分病例可見斑點狀高密度鈣化灶和較小的囊變區和壞死區。增強掃描腫塊呈均勻一致的中等至明顯強化,第四腦室呈弧形或“一”字形前移。多數病例伴幕上腦室的明顯擴張。
(5)垂體瘤:屬良性上皮源性腫瘤,發生於垂體前葉。根據有無激素分泌,可將其分為功能性腺瘤和無功能性腺瘤。根據腫瘤的大小又可將其分為垂體大腺瘤(直徑大於10mm)和垂體微腺瘤(直徑3-10mm)。垂體大腺瘤CT平掃見蝶鞍擴大,鞍內及鞍上池內有圓形等密度或稍高密度腫塊,邊界清晰,增強掃描腫瘤明顯強化。垂體微腺瘤CT平掃不易發現,臨床診斷常藉助於增強掃描,一般採用增強冠狀位薄層動態掃描,增強早期微腺瘤體呈局限性低密度區,邊界清晰,圓形或類圓形。此外還需參考一些間接徵象,包括鞍底局限性變薄下陷、垂體柄移位、垂體高度增加和上緣局限性隆突等。
(6)轉移瘤:最常見的原發腫瘤為肺癌,此外有乳腺癌、胃腸癌、腎癌等。常為多發,好發於腦皮質髓質交界處,呈邊界清晰的結節灶或腫塊,瘤周水腫明顯,有顯著的占位效應。增強掃描呈明顯的環形或結節狀強化。

