基本信息
惡性肉芽腫疾病名稱:惡性肉芽腫
疾病分類
治療方案
1、惡性肉芽腫 以放療為主,配合抗癌藥物。惡性肉芽腫對放射線敏感,可採用60鈷遠距離照射療法和分次照射法,總劑量以60Gy(6000rad)為最好,復發者可補照。對患者發熱而抗炎治療無效者,可先採用環已亞硝脲(CCNU)治療,其作用類似烷化劑,在體內可抑制核酸及蛋白質的合成,奏效快,短期治癒率高,尤以退熱效果為佳。成人每次口服120mg,隔3—5周1次,共5—6次,總劑量600—840mg,退熱後再予放療,療效較好。發熱時也可先用類固醇2、Wegener肉芽腫 則以類固醇激素類藥物和免疫掏治療為主。臨床上常用環磷醯胺、硫唑嘌呤及甲氨蝶呤等藥物治療,可單獨或聯合使用,或與類固醇激素並用;經臨床證實可以在大延長生存期,緩解症狀,並可減少腎衰的發生。此外,對晚期惡性肉芽腫病人,由於病重體弱、衰竭,應注意支持療法,如輸液、輸血,給予多種維生素,加強營養等;並須保持局部清潔引流,用雙氧水清洗鼻腔,然後用香油、液體石蠟、清魚肝油等藥物滴鼻。
疾病病因
病因未明,有腫瘤、變態反應或自身免疫和病毒感染等學說。
1、類腫瘤學說 多數學者認為本病是淋巴系統的惡性腫瘤,類似網狀細胞肉瘤或淋巴瘤,有腫瘤性增生的異形細胞及分裂相,無壞死性血管及多核巨細胞。本病限於鼻部和呼吸道,至病晚期,身體各處如內臟、淋巴結及骨髓均可顯示同樣病變,故極似惡性腫瘤之轉移,部分病人放射治療可獲痊癒,符合腫瘤學說。
2、變態反應或自身免疫 近年研究認為本病為一種過敏現象,尤為血管對細菌毒素之過敏反應,極似Arthus壞死現象。在毛細血管壁內有免疫球蛋白沉積,並在疾病活動期病人血清中出現免疫複合物,套用免疫抑制劑治療,症狀緩解時則消失。免疫螢光試驗,發現腎小球甚底膜有C3和lgG,電鏡檢查看到基底膜內有免疫複合體一樣的粗顆粒狀物,環免疫複合物升高;故有人認為鼻部惡性芽腫,結節性動脈周圍炎及Wegener肉芽腫同屬一類疾病,唯症狀不同而已,皆為自身免疫性疾病。
3、病毒感染學說 新近研究發現,在採取惡性肉芽腫組織進行細胞培養及病人血清內,均找到柯薩奇病毒小體,故認為本病與此病毒感染有關。
疾病概述
惡性肉芽腫多始於鼻部,之後漸延及面部中線,是一種以進行性壞死性潰瘍為臨床特徵的少見肉芽腫.病理檢查多為慢性非特異性肉芽組織和壞死,其中有多種成分的炎症細胞浸潤。根據臨床和病理特點推測本病為腫瘤。
病理改變可歸納為兩類:(一)頰腫瘤型 (二)變態反應型(自身免疫型)
臨床表現:分為三期:1.前軀期 2.活動期 3.終末期
診斷要點:(1)凡發生於鼻部和面中部的進行性肉芽性潰瘍壞死,均應首先考慮本病。(2)病理檢查:呈慢性非特異性肉芽腫性病變,同時看到異型網織細胞或核分裂相。(3)局部損害嚴重,但全身表現尚佳。(4)局部淋巴結一般不腫大。(5)實驗室檢查:白細胞計數偏低,紅細胞沉降率加快。(6)晚期病人常有持續性弛張熱和進行性消瘦及全身衰竭。早期診斷治療,預後較佳。臨床應注意與鼻部結核、萎縮性鼻炎、惡性腫瘤等相鑑別,唯一的方法是反覆多次活檢。
疾病描述
惡性肉芽腫是指始於鼻部,漸延及面部中線進行性壞死性潰瘍為特徵的一種少見的肉芽腫。本病病情險惡,病因示明,病理檢查多為慢性非特異性肉芽組織和壞死,其中有多種成分的炎症細胞浸潤。由於病理實體各異,故此病命名與分類繁多。諸如壞死性肉芽腫,致死性中線肉芽腫,面中部特發性肉芽腫及中線惡性網織細胞增生症等。目前多數習用惡性肉芽腫。
症狀體徵
Stewart將惡性肉芽腫的臨床表現分為3期:
惡性肉芽腫1、前驅期 為一般傷風或鼻竇炎表現。間歇性鼻阻塞,伴水樣或帶血性分泌物。亦可表現為鼻內乾燥結痂。局部檢查為一般炎症表現,鼻中隔可出現肉芽腫性潰瘍。此期持續4—6周。
2、活動期 鼻通氣不暢或完全阻塞,有膿涕,常有臭味。全身情況尚可,出虛汗,食慾較差,常有低熱,少數有高熱,用一般抗生素治療無效。局部檢查見鼻黏膜腫脹,糜爛以至潰瘍,呈肉芽狀,表面有灰白色壞死。多先累及下鼻甲或鼻中隔,明顯者可致鼻外部膨脹隆起,病變發展可造成鼻中隔穿孔或齶部穿孔。此期持續數周至數月。
3、終末期 病人衰弱,惡病質,局部毀容。鼻腔黏膜、軟骨、骨質及周圍組織如面部、眼眶、額部甚至顱底可嚴重廣泛破壞,眼瞼及結膜腫脹,眼球突出,視力減退。最後因衰竭、出血或並發腦膜炎而死亡。
病理生理
據病變特點及病理改變,可歸納為兩類。
1、類腫瘤型 病變多起於鼻部,亦有首發於上齶、咽部,然後累及鼻部。病變主要位於面中線部位及上呼吸道,以進行性肉芽性潰瘍壞死為主,其破壞性甚為廣泛,可侵及骨和軟骨,以致毀容。晚期病人多死於大出血或衰竭,屍檢材料中無動脈周圍炎現象。本病病理變化差異性較大,主要見於以下4種類型:
(1)非特異性炎性肉芽組織含多種形態的炎性細胞;
(2)非特異性炎性肉芽組織含有大量組織細胞;
(3)非特異性炎性肉芽組織有明顯壞死;
(4)非特異性炎性肉芽組織含許多巨細胞。上述4種類型,多呈混合存在,且常以淋巴細胞為主,混有相當多的漿細胞和數量不一的組織細胞。這些細胞有明顯的以血管為中心,圍繞血管而浸潤的傾向。雖然這些細胞中有中等度的異型性,但仍不能診斷為惡性腫瘤。Wegener肉芽腫的病理變化雖然也是非特異性肉芽腫,但其特徵是有多核巨細胞和壞死性血管炎,這是惡性肉芽腫與Wegener肉芽腫的病理變化雖然也是非特異性肉芽腫,但其特徵是有多核巨細胞和壞死性血管炎,這是惡性肉芽腫與Wegener肉芽腫的鑑別診斷標準。
2、變態反應型(自身免疫型) Wegener肉芽腫即屬此型,可分為局限性和全身性兩種。主要是血管過敏性炎症所致,除有多發性肉芽腫外,多呈頑固性進行潰瘍壞死。可局限為上呼吸道,亦可累及肺和全身各臟器。侵犯肺則呈現多發性結節,常有空洞形成;累及腎則表現局灶性壞死,腎小球腎炎;病變可引起全身性血管損害,在血管中層有纖維滲出物及肉芽組織。Wegener肉芽腫的潰瘍坯煞費苦心在體內進行,並累及鼻、上齶、咽、喉、氣管、腎、脾、腎上腺和肺等器官,可死於全身衰竭和尿毒症。
診斷檢查
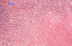
1、病理切片檢查呈現慢性非特異性肉芽腫性病變,若出現異型網織細胞或核分裂相即可診斷本病。
2、實驗室檢查:白細胞計數偏低,紅細胞沉降率加快;免疫球蛋白水平偏高,細菌、真菌和病毒培養多無特殊發現。
3、斷層X線射片幾CT掃描。
安全提示
1、此病始發於面部中線器官,尤以鼻部多見,從而毀損面容,並向下累及咽、喉,但不累及舌頭;亦有少數病例始發於咽、喉,而無損於外貌;
2、個別病例雖可暫時自行緩解,但一般均於數月或數年後死於大出血、膿毒血症、尿毒症或全身衰竭,預後惡劣。

