簡介
急性播散性腦脊髓炎多發生於兒童疾病分類
ADEM分為單相型、復髮型和多相型,詳見診斷部分。發病率
ADEM是少見病,年發病率為0.2-0.8/10萬,80%的患者發生在10歲以下的兒童,成人可發生,但罕見。70-93%的患者發病數周前有感染或疫苗接種史。Torisu等報導15歲以下的兒童發病率為0.64/10萬,平均發病年齡5.7歲,男:女為2.3:1。Tselis等報導疫苗接種後的發病率為:post-measlesADEM1:1000到1:20,000,麻疹疫苗接種後發病率最高。流行病學
ADEM的發生是年齡相關的,兒童更多見,原因不明,可能與兒童CNS髓鞘發育不成熟或免疫應答與成人不同有關。醫源性因素也可導致ADEM的發生,如腎移植、套用腦組織提取物、試驗治療AD的Aβ42疫苗,在Aβ42疫苗試驗過程中,6%的患者出現ADEM,而安慰劑組未出現。病理變化
ADEM的主要病理改變為大腦、腦幹、小腦、脊髓有播散性的脫髓鞘改變,腦室周圍的白質、顳葉、視神經較著,脫髓鞘改變往往以小靜脈為中心,小靜脈有炎性細胞浸潤,其外層有以單個核細胞為主的圍管性浸潤,即血管袖套,靜脈周圍白質髓鞘脫失,並有散在膠質細胞增生。ADEM與MS病理上的區別:ADEM的炎性病灶從小血管周圍放射狀延伸,而MS的病灶多為不連續性;其次ADEM的吞噬細胞圍繞在小血管周圍,而MS的吞噬細胞圍繞在斑塊周圍;再次,MS病灶的邊界多清晰,而ADEM者病灶邊界模糊。到疾病後期MS者出現星型細胞反應伴有纖維膠質增生,而ADEM無此表現。發病機制
目前的證據表明ADEM是自身T細胞激活導致針對髓鞘或其它自身抗原的一過性自身免疫反應。具體有可能與以下機制相關:一是分子模擬假說,病前常有病毒感染和疫苗接種支持這一理論,分子模擬假說認為病原和宿主結構的部分相似誘導T細胞激活,但不足以使其耐受;動物試驗發現給健康動物注射髓鞘蛋白成分可誘發急性、慢性或復發緩解型的腦脊髓炎(EAE)。二是中樞感染作為觸發因素的假說,中樞神經系統感染後繼發自身免疫反應,感染造成血腦屏障破壞,導致中樞相關的自身抗原釋放入血,經淋巴器官加工處理,打破T細胞的耐受,導致針對中樞的變態反應。
三是細胞因子的影響,在ADEM患者的腦脊液中發現IL-4、IL-10、TNF-α升高,外周血中髓鞘反應性T細胞數比正常人增高十倍以上,產生IFN-γ的CD3+的T細胞數量增加,而產生IL-17的CD4+的T細胞數並不升高,後者在MS患者中可顯著升高。
四是抗體的作用,在ADEM患者血清中可檢測到髓鞘鹼性蛋白(MBP)抗體和髓鞘少突膠質細胞糖蛋白(MOG)抗體,後者在兒童更多見,經治療後MOG抗體多消失,若持續存在,患者最終多轉變為MS。
臨床表現
1.大多數病例為兒童和青壯年,在感染或疫苗接種後1~2周急性起病,多為散發,無季節性,病情嚴重,有些病例病情兇險。疹病後腦脊髓炎常見於皮疹後2~4天,患者常在疹斑正消退、症狀改善時突然出現高熱、癇性發作昏睡和深昏迷等。
2.腦炎型首發症狀為頭痛發熱及意識模糊,嚴重者迅速昏迷和去腦強直發作,可有癇性發作,腦膜受累出現頭痛、嘔吐和腦膜刺激征等。脊髓炎型常見部分或完全性弛緩性截癱或四肢癱、傳導束型或下肢感覺障礙、病理征和尿瀦留等。可見視神經大腦半球、腦幹或小腦受累的神經體徵。發病時背部中線疼痛可為突出症狀。
3.急性壞死性出血性腦脊髓炎(acute necrotic hemorrhagic encephalomyelitis) 又稱為急性出血性白質腦炎認為是ADE暴髮型。起病急驟,病情兇險,病死率高。表現高熱、意識模糊或昏迷進行性加深、煩躁不安癇性發作、偏癱或四肢癱;CSF壓力增高、細胞數增多,EEG瀰漫慢活動,CT見大腦、腦幹和小腦白質不規則低密度區。
診斷檢查
診斷依據:根據感染或疫苗接種後急性起病的腦實質瀰漫性損害腦膜受累和脊髓炎症狀CSF-MNC增多、EEG廣泛中度異常、CT或MRI顯示腦和脊髓內多發散在病灶等可做出臨床診斷。
輔助檢查
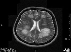
腦脊液正常或表現為細胞、蛋白增多,病毒PCR檢測陰性,OB多為陰性,或一過性陽性,24小時鞘內IgG合成率增高。影像學特點:MRI是最重要的診斷工具,T2和FLAIR相表現為片狀的邊界不清的高信號,多發、雙側不對稱。病灶累及廣泛,包括皮層下、半卵圓中心、雙側半球的灰白交界、小腦、腦幹和脊髓。丘腦和基底節常受累,病灶多不對稱。胼胝體和腦室旁白質較少受累,這些部位病變更易出現在MS。11-30%的患者可出現強化病灶。
ADEM的頭顱MRI病灶有四種形式:多發小病灶(<5mm),瀰漫性大病灶可類似腫瘤樣伴有周邊水腫和占位效應,雙側丘腦病變,出血性病變,四種形式可單獨出現,也可合併出現。有脊髓症狀的患者80%脊髓MRI可發現病灶,可為局灶或節段性,但多數為較長脊髓節段(>3)甚至為全脊髓。隨訪MRI發現37-75%的患者病灶消失,25-53%的患者病灶改善,IPMSSG建議ADEM患者發病5年內應至少進行2次隨訪以排除MS和其他疾病。
臨床檢查
由於缺乏特異性的生物標記,ADEM的診斷建立在臨床和影像學特點上。在臨床上,雙側視神經受累、皮層症狀和體徵、周圍神經受累、意識狀態改變、認知功能障礙,腦脊液細胞數增多、OB陰性或陽性後很快轉陰,均支持ADEM的診斷。國際兒童多發性硬化研究組在2007年制定了新的診斷標準如下,臨床符合:首次發生的急性或亞急性起病的多灶受累的脫髓鞘性疾病,表現為多症狀並伴有腦病(行為異常或意識改變),激素治療後症狀或MRI多數有好轉,也可有殘存症狀,之前沒有脫髓鞘特徵的臨床事件,排除其他原因,3個月內出現的新症狀或原有症狀波動應列為本次發病的一部分。
影像檢查
神經影像:局灶或多灶累及腦白質為主的表現,且沒有提示陳舊白質損害,腦MRI表現為大的(1-2厘米)、多灶位於幕上或幕下白質、灰質尤其基底節和丘腦,少數患者表現為單發孤立大病灶,脊髓可表現為瀰漫性髓內異常信號伴有不同程度強化。另外IPMSSG對復髮型和多相型ADEM進行了概念規範:復髮型ADEM:在第1次ADEM事件3個月之後或完整的激素治療1個月之後,出現新的ADEM事件,但是新事件只是時間上的復發,沒有空聞的多發,症狀和體徵與第1次相同,影像學發現僅有舊病灶的擴大,沒有新的病灶出現。多相型DEM(MDEM):在第1次ADEM事件3個月之後或完整的激素治療1個月之後,出現了新的ADEM事件,而且新的事件不管在時間上,還是在空間上都與第1次不同,因此症狀、體徵以及影像學檢查都有新的病灶出現。
鑑別診斷
依據不同的MRI特點,將ADEM的鑑別診斷進行分類,若為多灶腦實質損害,需與MS、NMO譜病、原發中樞神經系統血管炎、紅斑狼瘡、白塞病、神經結節病、橋本氏腦病、線粒體腦病、病毒性腦炎相鑑別;若為雙側丘腦或紋狀體病灶,需與靜脈竇血栓、急性壞死性腦病、雙側丘腦膠質瘤、Leigh病、西尼羅河病毒腦炎、EB病毒腦炎、日本腦炎等鑑別;若為雙側瀰漫性白質病灶,需與腦白質營養不良、中毒性白質腦病、膠質瘤病等鑑別;若伴有瘤樣脫髓鞘病變需與星形細胞瘤鑑別。下面重點介紹與病毒性腦炎、MS、NMO、原發中樞神經系統血管炎的鑑別。
ADEM與病毒性腦炎
二者均可出現發熱、頭痛、意識障礙和精神行為異常,但病毒性腦炎為病毒侵犯腦實質,腦實質損傷的症狀更重更突出,腦脊液檢查病毒抗體滴度增高或病毒PCR陽性,腦MRI表現以皮層損害為主,而ADEM除腦損害外可出現視神經、脊髓和周圍神經的損害,腦MRI表現為瀰漫性的長T1、長T2異常信號,以白質損害為主。二者對藥物治療反應不同,病毒性腦炎治療周期長、且易殘留認知障礙,而ADEM對激素反應多良好,預後較好。
ADEM和MS
首次發病的MS和ADEM需要鑑別,國際小兒多發性硬化研究組發表了ADEM和MS的鑑別診斷共識:ADEM發病年齡較小,男女性別無差異,MS發病年齡多在少年以後,女性多於男性;ADEM多有前驅感染或疫苗接種,MS不一定有;ADEM多有腦病症狀,可有癲癇發作,MS很少有;ADEM多為單相病程,MS多次發作;ADEM的MRI表現可見到灰白質大片病灶,好轉後病變可消失或顯著減小,MS隨時間進展多有復發和新發病灶出現;ADEM腦脊液白細胞常有不同程度增多,OB陰性;MS腦脊液白細胞很少超過50,OB陽性者多;對糖皮質激素的反應ADEM優於MS。
復髮型和多相型ADEM與MS有本質的不同,ADEM在復發間期沒有慢性脫髓鞘發生,而MS患者即使沒有臨床可見的發作,病理上也存在慢性炎性脫髓鞘。復髮型和多相型ADEM的核磁特點與MS不同,ADEM患者的MRI病灶最終會完全消失或顯著好轉,而MS的患者會不斷出現無症狀的病灶,累積到一定程度又出現症狀;MS的病理和影像均表現為邊緣清晰的斑塊。Mikaeloff等通過對132名兒童患者隨訪5年余發現復發(相同或不同部位均可)與以下因素相關:視神經受累、脫髓鞘病家族史、核磁符合Barkhof多發性硬化的標準,以及首次發作後未遺留後遺症。
ADEM與NMO譜病
NMO的腦損害包括丘腦、間腦、三四腦室及側腦室旁,累及間腦和丘腦時可出現意識障礙和認知障礙,因此首次發病的NMOSD伴有間腦或丘腦損害、或瀰漫性腦白質損害者,很難與ADEM鑑別,ADEM更易累及皮層灰質、灰白交界,病灶散在、多發,而NMO多累及水通道蛋白周圍腦室-導水管-中央管旁組織;另外,NMOSD患者AQP-4Ab多陽性,而ADEM者多為陰性。近來有以ADEM的臨床和影像表現首發的NMOSD的報導,說明密切隨訪的重要性。
ADEM與原發中樞神經系統血管炎
原發中樞神經系統血管炎的特點包括:間斷或持續的頭痛,伴有局灶或多灶的神經功能缺損,是慢性復發性疾病,可累及灰白質,由於是小血管炎血管造影多正常,腦活檢有助於診斷。
治療措施
目前沒有關於ADEM藥物治療的大規模、多中心、隨機、安慰劑對照試驗。糖皮質激素被廣泛認為是一線治療(classⅣ)。激素套用的藥物選擇、劑量和減量方法尚未統一,一項回顧性研究發現靜點甲強龍優於地塞米松。甲強龍的使用方法:20-30mg/kg(最大劑量不超過1g)/d,靜點3-5天,繼之以強的松1-2mg/kg/d口服1-2個星期,隨後逐漸減量,4-6周停用,若激素減量時間小於3周,將增加復發的風險。Dale等研究發現,復發的患者激素使用的平均時間為3.2周,而未復發者的激素使用時間為6.3周。若激素不耐受或有使用禁忌,或效果不佳,IVIG是二線治療藥物,IVIG的使用方法:2g/kg(總量),分2-5天靜點。血漿交換:主要是對體液免疫產生調節作用,可清除病理性抗體、補體和細胞因子,用於對激素無反應的急性暴發性CNS脫髓鞘疾病,隔日進行5-7次交換,副作用有貧血,低血壓、免疫抑制和感染等。其他免疫抑制劑,如環磷醯胺,僅有用於成人激素無反應的ADEM患者。具體用量:500-1000mg/m2,一次靜點,或在第1,2,4,6和8天分次給予。嚴重副作用有繼發惡性腫瘤、不育、出血性膀胱炎、充血性心力衰竭、免疫抑制、感染、stevens-Johnson綜合徵、肺間質纖維化等。
預後預防
預後:
ADE為單相病程,歷時數周急性期通常為2周,多數患者可以恢復。據報導病死率為5%~30%存活者常遺留明顯的功能障礙,兒童恢復後常伴精神發育遲滯或癲癇發作等。
在兒童患者預後良好,成人研究少。幾項有關兒童ADEM的研究表明57-94%的患者完全康復,死亡罕見,死亡者多為病灶伴有出血或高顱壓。無論在臨床上以何種形式發生,來勢兇猛的播散性腦脊髓炎因病死率高倖存者遺留永久的神經功能缺失而備受重視。兒童患者從急性期恢復後可出現持久的行為異常、精神智慧型遲滯、癲癇。多數成年患者一般恢復良好小腦炎為良性,一般在幾個月內完全恢復。
預防:
自身免疫性疾病尚無有效的預防方法,防止感染、感冒以及寒冷或炎熱等誘發因素,是防治的重點;防治併發症也是臨床醫療護理的重要內容。

