疾病概述
急性失血性貧血是因外傷或疾病致血管破裂,或凝血、止血障礙等原因使大量血液在短期內丟失,不僅影響血容量而且引起急性失血後貧血,其發生初期貯鐵並不減少。
疾病病因
大出血後輸血2、食道或胃底靜脈破裂、胃或十二指腸潰瘍等疾病引起的消化道大出血;
3、宮外孕、前置胎盤或分娩時的各種婦產科大出血;
4、內臟特別是脾、肝等臟器破裂時的出血;
5、大量肺或支氣管咯血;
6、炎症、腫瘤等侵蝕血管壁引起的突然大出血;
7、各種止血機制有缺陷的疾病,特別是血友病、血管性血友病、血小板功能障礙時的出血等。
疾病病理
動脈臨床表現
心血管大多數年輕健康者,失血量在500毫升以下,特別是幾小時以上的逐漸失血,很少引起症狀,事後也不致發生貧血。約5%的患者特別是精神緊張、內心恐懼或突然起坐時,可有血管迷走神經反應,表現為軟弱、出汗、噁心、心律緩慢及血壓下降;隨後有頭暈,甚至短暫的昏厥。如失血量達1000毫升(約總血量的20%),休息時可無症狀,但稍事活動有輕度心臟血管症狀。
當出血量增加至1500-2000毫升(約總血量的40%左右),即使出血前患者很健康,出血後臥床休息,仍不免有口渴、噁心、氣促、極度頭暈甚至短暫意志喪失。由於血循環的重新分布,患者手足厥冷,面色蒼白,尿量減少。血壓、心輸出量及中心靜脈壓均降低,脈搏快而無力,患者主訴頭痛,逐漸出現休克症狀,如煩躁不安、呼吸困難、脈搏細數、皮膚濕冷、噁心嘔吐,最後昏迷。如沒有採取有效的搶救措施,因缺氧明顯,腎小管壞死、心肌梗死,可以導致死亡。
大量而迅速出血(達2500毫升左右,約占全血容量50%),由於循環血容量突然降低,代償功能不能充分發揮作用,很快出現嚴重休克,而致死亡。原有慢性疾病、感染、營養不良、失水或本來已有貧血的病人,即使失血比上述量要少,也可導致休克或死亡。
疾病診斷
貧血急性失血後貧血診斷無統一的標準,臨床診斷主要依賴於急性失血病史和於失血後一定時間內發生的貧血證據。建議需符合以下幾點方可診斷。
(1)有明確的急性失血病史和臨床表現。
(2)貧血發生於急性失血後較短時間內。
(3)達到貧血的診斷標準。
(4)如果患者原來即有其他原因引起的貧血則短時間內大量失血導致較基礎水平下降20g/L方可診斷存在急性失血後貧血。
(5)急性失血停止2-3天后,貧血不再進一步加重,甚至可自行恢復。
2.診斷步驟診斷一般按是否有近期發生的貧血、有無近期失血及失血部位,按步驟進行。
急性失血後貧血診斷過程中干擾因素較多,貧血發展需經歷幾天而骨髓增生則要更晚才會出現。早期血容量下降血液濃縮,治療過程中補充血容量造成血液稀釋,輸血補充血容量同時減輕了貧血的嚴重程度。對於急性失血後貧血,血象檢查診斷價值有限。突發的、無法解釋的貧血需懷疑潛在的出血。出現造血增生證據如網織紅細胞增加及找不到紅細胞過度破壞的證據則更要高度懷疑。最終診斷需找到出血部位。
出血可從分析病史、體檢影像學檢查得到確認。大量外出血引起的明顯貧血通常容易辨認消化道或女性產道大出血也有明顯的症狀和體徵。內出血如動脈瘤破裂可無明顯外部表現,但出現突發的休克、低血壓、心動過速要懷疑有內出血的可能。腹膜後、體腔內、囊腫內出血診斷比較困難,B超檢查對明確有無出血及出血部位有幫助。
鑑別診斷
肝臟小膽管內可見黃綠色球狀物,其為膽紅素1.急性溶血性貧血 急性失血後出現造血增生如網織紅細胞增加時易與急性溶血性貧血混淆但前者多無紅細胞破壞證據如膽紅素升高等。少部分急性失血位於體腔或組織間隙失血同時伴有紅細胞破壞,也可出現黃疸,但其紅細胞數及血紅蛋白量下降程度與黃疸深度不平行,且黃疸一般比溶血時為輕也無血紅蛋白尿出現,據此可與急性溶血性貧血鑑別.
2.貧血伴急性感染 急性失血後貧血有時可因出血吸收產生吸收熱而表現為中等程度發熱,若伴有白細胞總數增加則需與急性感染鑑別,貧血徵象逐漸明顯而感染灶缺如可作為鑑別依據。
疾病檢查
實驗室檢查:
幼粒細胞僅有血容量急劇減少,而血紅蛋白和血細胞比容可仍在正常範圍內該時不能用後者來估計失血量其後隨著血液稀釋,血紅蛋白量和血細胞比容才逐漸下降,出血後2-3天最為顯著貧血是正常細胞和正常色素貧血。網織紅細胞在急性失血後2-3天內開始升高,6-11天達高峰但一般不會超過15%~30%。白細胞也迅速增高可達(10~20)×109/L,最高可達35×109/L,主要是中性粒細胞增多,核左移,甚至出現幼粒細胞。血小板開始升高,個別可達1000×109/L。白細胞和血小板多在3~5天恢復正常白細胞血小板和網織紅細胞持續升高者,必須排除潛在出血的可能。
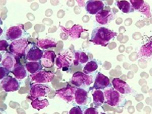
2.骨髓象骨髓可呈增生象主要是幼紅細胞增生,呈正常幼紅細胞型。
3.游離膽紅素和血清乳酸脫氫酶升高結合珠蛋白降低加上網織紅細胞增多。
其它輔助檢查:
根據臨床表現、症狀體徵、選擇做X線、CT、MRI、B超、心電圖生化等檢查。
疾病治療
血漿預後預防
預後:
經過積極治療後,一般預後較好。
預防:
避免外傷發生有出凝血病者應早期給予積極治療。

