流行病學
幼淋巴細胞白血病本病的發生率約為CLL的10%,美國每年有600~1000例新發病例,男性發病率略高男∶女為2∶1,中位發病年齡在70歲左右本病在東方國家少見。
發病機制
幼淋巴細胞白血病細胞遺傳學, 約60%的患者有14 q+ 異常,12號染色體三體異常發現率低於CLL患者(有該異常的患者可能由CLL發展而來)6q-和累及1、12號染色體的重排偶爾可見;t(6:12)(q15;q14)異常亦見報導t(2;13)(q35;q14)是一種兒童橫紋肌肉瘤較常見的染色體改變在B-PLL中亦可見到
細胞基因學,80%的PLL為惡性B細胞起源這些細胞常有單克隆免疫球蛋白基因重排,表達同CLL細胞類似的B細胞表面抗原。同B-CLL不同PLL常表達較高濃度的表面免疫球蛋白,多為IgM(有或無IgD);不能與鼠的紅細胞形成玫瑰花環。半數PLL患者的B細胞表達CD5表面抗原。單克隆抗體SN8可把PLL的B細胞與CLL或HCL的B細胞區分開。20%的PLL為惡性T細胞,常表達CD2抗原;可與羊紅細胞形成玫瑰花環這些病例中75%的患者表達CD4,20%表達CD8抗原;約15%的病例白血病細胞同時表達CD4和CD8,說明細胞起源於較原始的T細胞T-PLL常表達CD7抗原而不表達CD1、HLA-DR或TdTT-PLL細胞α非特異性酯酶為陽性,酶型為大顆粒型。
臨床表現
本病病程可以表現為急性、亞急性和慢性以慢性居多始發症狀包括疲乏虛弱、體重下降納差,常有低熱及復發性口腔潰瘍,少數患者有骨痛及獲得性出血傾向。脾臟腫大是本病的特徵,可有巨脾肝臟呈輕到中度腫大,B-PLL很少或沒有淋巴結腫大而T-PLL淋巴結腫大常見T-PLL患者尚可有軀幹、面部手臂皮膚受累的相關表現通常在早期即已出現常表現為面部及耳周瀰漫性浸潤性紅斑無脫屑非癢性紅皮病;某些病例皮膚浸潤酷似蜂窩織炎對抗生素治療無效。極少的病例可有中樞神經系統白血病、白血病性胸腔積液或腹水一些病人可有心肺併發症。
併發症: 與其他白血病的相同可以合併感染髮熱、出血貧血肝脾淋巴結腫大、皮膚損害、肝腎功能損害心肺功能損害、中樞神經系統白血病等併發症嚴重者可危及生命。
診斷
綜合國內、外文獻PLL的診斷標準如下。
1.多見於50歲以上患者脾大明顯病程呈進展性
2.外周血白細胞明顯升高幼淋巴細胞>55%。
3.幼淋巴細胞特徵為胞體較大、質呈嗜鹼性核染色質濃密核仁清晰、核質比例低
4.免疫表型 B-PLL:SIg高表達CD19、CD79bCD7CD22陽性,CD5、CD23陰性T-PLL:CD2CD3CD4CD5CD7陽性。
5.能排除CLL。
診斷評析:老年人脾明顯腫大病程呈進展性、血白細胞數及淋巴細胞明顯升高且有核仁即可基本診斷為PLL。如核仁不典型者可行Fulgen染色證實因此臨床表現及血液形態學檢查為診斷的基本依據為了區分B-PLL和T-PLL,臨床表現可提供線索,確定需依賴於免疫表型檢測。
鑑別診斷
幼淋巴細胞白血病——表1主要應和其他淋巴細胞增生性疾病鑑別。
1.CLL 兩者均以老年人居多都有脾大及外周血淋巴細胞明顯增高。主要鑑別點:①CLL大多病情進展緩慢,病程可長達數年甚至10餘年以上,而PLL病情呈進展性,治療反應差,生存期僅1年左右②PLL的血白細胞增高幅度遠高於CLL,3/4的PLL白細胞>100×109/L。③PLL的淋巴細胞帶清晰的核仁而CLL的淋巴細胞為成熟的小淋巴細胞無核仁④免疫表型不同T-PLL是否需和占CLL中1%以下的T-CLL鑑別尚有爭議多數作者認為T-CLL實際上為T-PLL的變異型,故無鑑別價值。
此外10%的B-CLL的白血病細胞呈混合性,即以小淋巴細胞為主,但尚有10%左右的淋巴細胞為幼稚型,可有核仁有時可高達50%,稱為CLL/PLL80%的CLL/PLL,其幼稚淋巴細胞比例穩定臨床表現免疫表型病程及生存期和典型的CLL無區別,有人稱為CLL的變異型此外20%的CLL/PLL在病程中可轉化為典型的PLL,轉化後平均壽命僅9個月屬CLL變異型的CLL/PLL,根據臨床表現及免疫表型,可和PLL區分。轉化型CLL/PLL,根據轉化前存在典型的CLL臨床及免疫表型特點,也不難和PLL鑑別。
2.毛細胞白血病(HCL) HCL具脾大、外周血淋巴細胞增多的特點故也需和PLL鑑別:①HCL患者外周血以全血細胞減少居多而PLL者血白細胞必明顯增多②HCL的淋巴細胞為毛細胞(HC),PLL的淋巴細胞大多有核仁,形態上兩者明顯不同③HCL的HC耐酒石酸酸性磷酸酶染色(TRAP)陽性而PLL為陰性④免疫表型不同(表1)。⑤電鏡:HCL可見顯著的毛狀凸起及板層,核糖體複合物PLL則有明顯的核仁
3.急性淋巴細胞白血病(ALL) ALL患者血及骨髓有大量幼稚淋巴細胞有時脾也明顯腫大,也需和PLL鑑別:①ALL以兒童及青少年多見,PLL則主要見於老年人。②ALL常伴淺表淋巴結腫大而PLL少見僅見於部分T-PLL③形態學上ALL的原始、幼稚淋巴細胞染色質較PLL細核仁不如PLL清晰④免疫表型B-ALL表達較早期抗原,如CD20CDl9、CD10而B-PLL則表達較成熟抗原如SIg等。
檢查
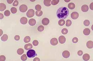
幼淋巴細胞白血病——檢查實驗室檢查: 1.血象 幾乎所有患者均有正細胞正色素性貧血,半數以上的患者有血小板減少;白細胞多明顯增高,常大於100×109/L幼淋巴細胞比例大於50%與成熟淋巴細胞相比其形態特點為:胞體稍大,胞質豐富,核/漿比例稍低,核染色質濃集呈塊狀或粗細不等排列不勻,沿核膜周邊較密集核質與核仁發育不同步即核仁明顯而核質較成熟。T-PLL患者的幼淋巴細胞核/漿比例高胞質強嗜鹼性無顆粒常有突起;核橢圓形或不規則可有摺疊、扭曲,核染色質較緻密,核仁明顯通常為一個約19%的T-PLL胞體小光鏡下核仁不明顯,電鏡下則可見核仁這組病例為小細胞變異型T-PLL。
2.骨髓象 增生明顯活躍以淋巴細胞為主,幼淋巴細胞形態特點與外周血一致。骨髓乾抽現象少見,活檢示白血病細胞呈瀰漫性或混合性浸潤
相差顯微鏡:幼淋巴細胞核仁1~2個部分細胞胞質中有粗顆粒,有時聚集在胞質一側,部分細胞胞質可見突起的小絨毛。
超微結構:幼淋巴細胞有絨毛狀小突起0.07~2.5μm長。多數細胞有大的核仁,核圓形,胞質豐富,高爾基體不發達
細胞化學:80%的患者PAS呈不同程度陽性ACP陽性TRAP、POX、SB均陰性非特異酯酶在T-PLL患者呈陽性。
3.細胞遺傳學 60%的B-PLL有14q+ 76%的T-PLL有14號染色體斷裂斷裂點為q11和q32inv(14)(q11;q32)是常見的核型53%的T-PLL有8號染色體三體
4.免疫表型 T-PLL:CDla- YdT- CD2+ CD3+ CD5+ CD7+ CD25-/+ ,CD38+/- ;CD4+ 、CD8-者占65%CD4+ CD8+ 者占2l%CD4- CD8- 者占13%。
B-PLL:CD5-/+ CDl0-/+ CD11c-,CD25- CD23-/+ ,CD24+ ,B-1y7- FMC7+ ,slg++ (μ或δ+μ)。
5.生化檢查 血清鈣正常。
其它輔助檢查: 根據臨床表現症狀體徵,選擇X線CT、MRIB超心電圖等檢查。
相關檢查: 丙酮酸 總磷脂 淋巴細胞 蘇丹黑B染色 血小板 過氧化物酶染色 酸性磷酸酶
治療
幼淋巴細胞白血病——治療本病目前尚缺乏有效的治療方法
1.B-PLL的治療 B-PLL就診時,病人通常已是進展期大多數病人有明顯脾大白細胞增多,診斷後不久病情發展迅速。治療主要為烷化劑如氧芬胂(苯丙酸氮芥)或環磷醯胺聯合套用和(或)長春新鹼治療,但有效率低於20%。用大劑量糖皮質激素治療B-PLL的療效明顯低於CLL約半數病人接受強化聯合化療方案,如CHOF,可獲部分或完全緩解,但是緩解持續時間短長期生存率仍很低。
在結構上與去氧腺苷類似的一些藥物對B-PLL有效。氟達拉濱0.1mg/(kg·d),注射7天,28~35天為一療程可使50% B-PLL病人達到完全和部分緩解同樣氟達拉濱30mg/m2,5天每4周重複1次,可使40%的病人達到完全或部分緩解。另一研究發現用氟達拉濱治療B-PLL與B-CLL療效相似但套用氟達拉濱時可能並發腫瘤溶解綜合徵在治療過程中應予注意
噴司他丁也有效,但療效明顯低於氟達拉濱B-PLL患者,用噴司他丁4mg/m2,靜脈給藥,每周1次,共3周然後,每隔l周1次。雖然45%病人可達到部分緩解但是沒有病人達到完全緩解緩解的中位時間為9個月。噴司他丁對T-tll也有一定療效但低於B-PLL。該藥有引起血小板減少的副作用。
脾切除可減輕症狀但僅是暫時的脾區放療可能有效,尤其適用於不能選用化療和脾切除的患者。有學者採用脾區照射治療12例PLL,7例有效,3例療效顯著。但有學者建議將脾區照射作為治療PLL的首選有報告提示IFN-α對B-PLL有效可使白血病細胞減少。脾放療後用IFN-α治療完全緩解的病人生存期達5年。然而一般來說IFN-α的療效明顯低於化療。且目前尚缺乏大宗病例的報導。
2.T-PLL的治療 T-PLL套用傳統的烷化劑治療療效不佳中位生存期約為7.5個月用脫氧腺苷類似物治療有效率高是否能提高生存率尚不清楚。噴司他丁4mg/m2靜脈給藥,每周1次共4周然後再每2周給藥1次直到完全緩解或部分緩解此方案可使50%病人緩解皮膚受累及患者局部可用皮質類固醇氮芥卡莫司汀(卡氮芥)紫外線B、PUVA或全身TSEB治療。但T-PLL以全身治療為主通常不做局部治療
一項研究顯示15例T-PLL患者套用抗CD52特異性單克隆抗體CAMPATH-IH治療,13例(73%)獲得不同程度緩解而噴司他丁的患者緩解率為40%完全緩解率為12%,用CAMPATH-IH治療使其中9例(60%)患者達完全緩解用噴司他丁+CAMPATH-IH療法對伴有巨大局部腫塊及高白細胞計數的T-PLL患者亦有效大劑量化療及同種異基因乾細胞移植治療T-PLL已初步獲得成功。
預後
本病預後差,B-PLL的中位生存期為1~2年,T-PLL的中位生存期為7.5個月,性別、脾大皮損淋巴細胞數等對預後均無影響。淋巴結腫大年齡小於50歲無肝脾腫大者預後較好。
